要点
—少见,非肿瘤性的先天性畸形,常发生于灰结节。
—可能为下丘脑旁(有蒂)或下丘脑内(无蒂)。
—表现:促性腺激素释放激素(GnRH)导致的性早熟,癫病发作【通常以痴笑性癫痴发作(简短的无故发笑)开始】,发育迟缓。
—治疗:促性腺激素释放激素(GnRH)类似物治疗性早熟。侧方入路切除有蒂病变,经胼胝体穹隆间入路切除下丘脑内病变,内镜手术切除直径≤1.5cm的病变,也可使用立体定向放射外科。
孩子的笑容天真无邪,活泼可爱的他们总能为家人带来欢乐,然而在这一种情况下,却让父母发愁,这是怎么回事呢?
当孩子出现笑容无法控制,莫名频繁发笑、怪笑、并且伴随面部抽搐的情况,那就要小心了,也许并不是他们淘气或者想要博得大人的关注,而有可能是脑子里出了“问题”。
四岁女童患下丘脑错构瘤致痴笑发作
INC教授LITT治疗成功消融病灶
INC国际神经外科顾问团成员、国际神经外科杂志《Journal of Neurosurgery》主编、加拿大多伦多大学儿童医院(SickKids)脑瘤研究中心主席James T.Rutka教授在其来华参加INC二届国际神经外科顾问团年会时的学术演讲中介绍了一例LITT治疗下丘脑错构瘤癫痫的成功真实案例,以下是他对介绍此案例的原文摘录:
4岁小患者,脑内较大的丘脑错构瘤,呈痴笑样癫痫发作,激光间质热疗对他来说是更佳的策略。痴笑样就是以痴笑表现出来的癫痫发作,这是癫痫种类之一。以前,我们试图用神经内镜治疗,但是成功率不高,所以,我们决定行激光间质热疗,在底部左侧和右侧的图上能看到。她的效果好。痴笑样癫痫发作得到了的好转。


以前,她一天内会出现200次以上的痴笑性发作。现在,这个数量很大水平的下降了,但她仍然会出现发作。这是这个激光烧灼的视频,可以看得到,烧灼时间长了很多,快进下就能看到黄色逐渐变成蓝色的。这个系统包含温度记录法,所以在这个过程之中能看到激光烧灼在哪里出现。我们会设定靶点和边界,到我们想达到的程度。这个方案顺利。

这是激光烧灼三个月后。如果等待足够的时间,等待六个月,能更加清楚地观察激光烧灼的区域。右侧还没完全切断。所以我们决定,在七个月以后重新进行激光消融,来切断右侧大脑神经的关联,我们后来是这么做的。结果就是这样,现在右侧切断了关联,但是左侧还没切断。每天的几百个痴笑性发作下降到几个,但是仍然有痴笑性发作。

然后,我们从左侧施行过激光烧灼,我们选择从对侧进入了。可以看到我们所选择的入路和FLAIR信号的改变,现在已经做好了左侧消融。这是她生命中一开始没有癫痫发作,以后再也没有出现过。这个案例的关键是,有些情况下,对于丘脑错构瘤需要再一次甚至多次做激光间质热疗。
下丘脑错构瘤
下丘脑错构瘤(hypothalamic hamartomas,HH)是一种少见的先天性脑组织发育异常病变,以痴笑性癫痫、性早熟为主要临床症状,通常与难治性癫痫和脑病相关。由下丘脑下部或灰结节(漏斗柄和乳头体之间的三脑室底面)引起的少见的非肿瘤性先天性畸形。脑成像技术的进步可以进行早期甚至产前检测。遗传学研究表明GLI3和其他模式基因的突变与HH发病机制有关。大约50%~80%的HH儿童有严重的愤怒和攻击性,神经心理学、睡眠和内分泌方面的问题是典型的症状,大多数患者表现出外化行为障碍,且行为障碍和智力障碍往往早于癫痫。

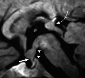
图:3岁女童,中枢性尿崩症。矢状位增强T1加权磁共振成像显示一个清晰的、分叶的、均匀增强的肿块(生殖细胞瘤),累及垂体柄近端(直箭头)和下丘脑底部(箭头)。还可见松果体相关的生殖细胞瘤(弯箭头)。术后诊断下丘脑和松果体异体生殖细胞瘤
临床表现
特异性的癫痫
1)痴笑性癫病(短暂无故发笑)是较具特征性、较早的癫痫表现,约见于92%的病人。对药物治疗反应不佳,并可导致认知和行为障碍,并非特征性表现,可能来源于新皮质
2)癫痫性脑病:痴笑性癫痴发作逐渐增加进而进展为复杂部分性癫痫、强直性癫病、强直阵挛癫痫和继发性多方位性癫痫,严重的认知和行为障碍见于52%的病人,平均年龄为7岁。
性早熟
由于错构瘤细胞分泌GnRH引起。HH是较常见的导致性早熟的颅内病变,其他疾病包括星形细胞瘤、室管膜瘤、松果体区肿瘤、视神经胶质瘤、中枢神经系统放疗后、脑积水、中枢神经系统炎症、视隔发育不良以及慢性甲状腺功能减退。
发育迟缓
主要见于癫痫病人(严重程度与癫痫持续时间相关)。46%的病人智力水平可达正常低限(智力迟滞)。
行为异常
攻击性行为、愤怒发作等。
影像学检查
MRI:T1等信号,无增强;T2等信号或稍高信号。
病理
HH的两种亚型
有蒂型或下丘脑旁型:通过窄的基底部附着于下丘脑底(非下丘脑起源)。三脑室无变化,病人多表现为性早熟,痴笑性癫痫较少。
无蒂型或下丘脑内型:位于下丘脑内(使三脑室扭曲变形)或宽基底附着于下丘脑。病人更多表现为痴笑性癫痫。66%出现智力障碍,50%有性早熟。
显微镜下表现:小神经元细胞簇状分布,周围为锥体细胞样神经元及星形胶质细胞(正常下丘脑表现为正常神经节细胞,周围为少突胶质细胞)。
治疗
GnRH类似物(持续刺激垂体使促性腺激素分泌减少)治疗性早熟疗效往往很好。
手术指征
1.药物(GnRH类似物)治疗无效的性早熟
2.药物难治性癫痫,癫痫治疗效果与切除程度有关。
3.肿瘤的占位效应造成神经功能障碍。
治疗选择
手术治疗
显微外科手术包括了胼胝体穹隆间入路、额底终板入路及翼点入路下丘脑错构瘤切除术,或者内镜下切除。有证据表明,下丘脑错构瘤的完整切除对控制发(痴)笑发作是合适的。针对丘脑内型下丘脑错构瘤,手术切除的并发症风险显然更大。
术前行腰椎穿刺术或放置腰大池引流管可以为术中操作提供空间,从而在全部手术入路过程中减少对脑组织的牵拉。术中的影像学导航是有利的辅助措施,针对较小的肿瘤。
1)有蒂病变:入路包括颞下、额下、翼点、额眶颧(较常)入路,并发症包括脑神经症状、卒中。
2)无蒂病变伴脑室成分:经胼胝体穹隆间入路。并发症:记忆力障碍(穹隆损伤)、内分泌障碍、体重增加。
3)应用神经内镜治疗:HH小于等于1.5cm。并发症:25%的病人出现丘脑血管损伤。
不开颅治疗
MRI技术引导的激光间质热疗(LITT):激光间质热治疗(LITT)是一种微创手术,利用激光的非电离辐射对组织产生热效应,导致细胞死亡。随着激光和成像技术的进步,LITT在颅内疾病的治疗中越来越受欢迎,包括儿童神经肿瘤和癫痫。虽然LITT在20世纪90年代一次用于治疗脑肿瘤,但LITT在儿童脑肿瘤中的一次报道要追溯到2011年,当时治疗了一名10岁儿童幕上原始神经外胚层肿瘤。从那时起,这种方式已被用于治疗各种其他儿童肿瘤特异性病理,包括室管膜下巨细胞星形细胞瘤、毛细胞星形细胞瘤、室管膜瘤、成神经管细胞瘤、脉络膜丛黄色肉芽肿和神经节胶质瘤,除了致癫痫灶,如下丘脑错构瘤(HHs)和皮质结节。LITT通过其微创性、治疗合适性,缩短住院时间,减少并发症,减少放疗或化疗需求,较大限度地减少对儿童生活的心理社会影响,在治疗儿童患者方面具有优势。
立体定向放射治疗
适用于小的无蒂病变、部分切除的病变、或患者不适宜手术,在一些小规模研究中,表现出类似于手术的治疗效果、且神经及内分泌障碍风险较低。预后大多数患者的自然病史,都是不利的。患者通常在生命的初期几年里,会经历痴笑性癫痫发作。更严重的患者,会在接下来的几年中,发展为耐药性的癫痫性脑病、各种类型的全身性癫痫发作(包括跌倒发作)、认知能力下降和严重的精神共患病。因为存在着行为症状,特别是攻击性行为和智力下降,这些都是癫痫发作的直接后果。
- 文章标题:【INC脑博士少见神外疾病必知系列八】下丘脑错构瘤
- 更新时间:2024-05-06 14:55:15
400-029-0925


