“你想当一个活着的怪物,还是做一个死去的好人?”
大家有没有看过《禁闭岛》这部电影?
电影中惨无人道的额叶切除术你又了解多少?
小岛上的封闭式病院内,为了对危险的精神病患者进行监禁式治疗,额叶切除术作为治疗方式之一。这种极端不人道的方式,当年手术的创始人却因此获得了1949年的诺贝尔医学奖。医生将患者电晕后,用利器直接刺进大脑进行切除。稍不留神,患者就会因大出血而死,即使手术顺利,也有极大概率染上后遗症。
电影中额叶切除手术被形容成,人为制造“zombie”僵尸的行为。额叶切除手术英文为Lobotomy。大脑每个半球分为四个叶,额叶大约占三分之一体积。
这在诺贝尓奖历史上备受争议,许多人在手术中或手术后死亡,其他人则遭受了严重的人格改变。让病人精神病症状有所减轻的同时也岀现了严重的后遗症:这些病人高级思维活动被破坏,变得像行尸走肉一般,温顺、昏睡、沉闷、冷漠、无精打采、六神无主、神情呆滞、任人摆布,从此一生就生活在无尽的虚无之中,且手术的一切后果不可逆。
一位母亲甚至这样描述她接受过额叶切除术的女儿:“我的女儿完全变成了另一个人,她的身体还在我身边但她的灵魂却消失了。”
所幸,额叶切除手术现在已经被禁。
对于追求更高生活质量的额叶肿瘤患者来说即使是切除肿瘤后带来的额叶损伤也是无法接受的。如果想要回归正常生活,安全全切+功能保全才是最终目标。
到底什么是额叶?

额叶位于我们的前额,即从额头到大脑中央脑沟(中央沟)之间的区域。额叶是由中央沟与额骨之间的颅骨所包围的。额叶是大脑皮层的一部分,它在人类大脑的发展和功能中扮演着核心角色。其在认知功能、情绪处理和运动控制中起着核心作用。
额叶的重要功能区
前额叶皮质:
这是大脑最前部的区域,负责高级认知功能,如思维、计划、决策和自我控制。
运动皮层:
位于中央沟前的区域,主要负责控制自愿肌肉的运动。
布罗卡区(Broca):
这是一个位于左侧额叶的特定区域(对大多数人来说),与言语的产生有关。
额叶有哪些功能?
1执行功能:
-计划与决策:额叶参与复杂决策的过程,帮助个体规划未来行动和解决问题。
-抑制控制:额叶对抑制不适当的行为或冲动至关重要,是自我控制的一个关键区域。
-注意力调节:额叶参与持续和选择性注意力的调节,影响我们对环境刺激的响应。
2运动功能:
-主动运动控制:额叶的前运动皮层和运动皮层负责规划和执行自愿运动,如行走、抓握等。
-语言运动控制:左侧额叶的布罗卡区负责语言的发音和口语表达的运动组织。
3语言和沟通:
-语言生成:对于大多数人,左侧额叶的布罗卡区是语言表达的关键区域,其损伤会导致布罗卡失语症,表现为言语产生困难。
-社交认知:额叶参与理解社会规范、决策的社会后果以及管理社交行为。
4情绪和人格:
-情绪表达和调节:额叶对情绪反应和表达的调节起着关键作用,尤其是在抑制负面情绪和不适当的情绪表现方面。
-人格特质:额叶对个体的人格和行为模式有深刻影响,损伤可能导致人格改变,如社会行为不当或判断力下降。
5认知灵活性和创造力:
-思维灵活性:额叶帮助个体在不同思维模式和策略之间切换,增加解决问题的灵活性。
-创新和创造:额叶在创造性思维和将新奇概念融入决策中起着重要作用。
额叶的这些功能是通过与大脑中的其他区域,如顶叶、颞叶和枕叶等广泛连接实现的。这些连接确保了复杂的认知任务可以协调和高效地执行。额叶的损伤或疾病,如额叶痴呆、脑外伤或肿瘤,都会严重影响这些功能,导致显著的认知和行为障碍。
巴教授额叶胶质瘤经典案例分享
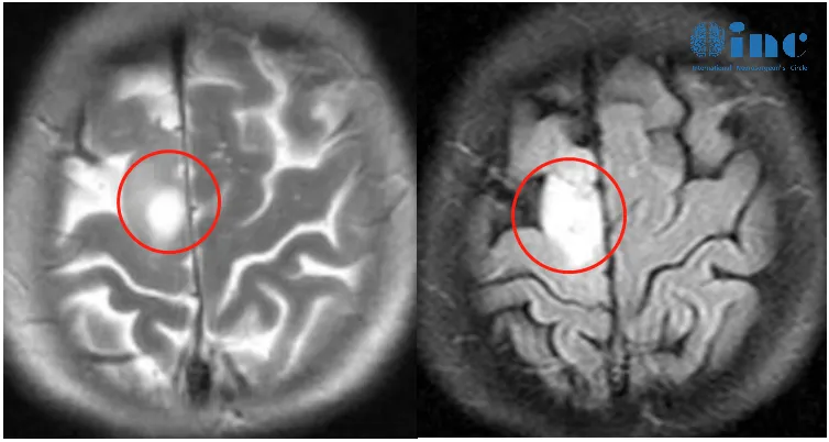
额叶,常以胶质瘤为居多,其次是脑膜瘤,另外癫痫、先天性肿瘤、转移瘤等,也常在此部位发生,以及海绵状血管瘤、动静脉畸形等。以额叶胶质瘤为例,如何实现安全全切?
41岁精英高管仅1月解决额叶胶质瘤

▼患者术前情况:对待工作精益求精的她,对于手术后的工作强度、工作思维有着极高的要求。莫女士明白只有将这颗脑瘤安全全切,她才能回归正常生活,以及最大限度降低复发的机率。因此,莫女士为自己寻求更好的治疗。
“当地医生建议是保守治疗。如果不进行保守治疗呢,如果是手术治疗呢,医生讲的最大的风险就在于一个是瘫痪致残,就是这样的一个情况,就是让我觉得看不到的未来。”
▼治疗过程:2022年12月4日,中国行中,巴教授主刀,在术中导航、术中核磁及术中神经电生理监测技术辅助下,最终将肿瘤顺利取出。
“动一下腿,动动手……手术做的非常好!肿瘤全切……”术后第一天ICU查房时,莫女士意识清醒,对答如流,手部和腿部都可以正常活动。…”
▼术后情况自述:“出了手术室,当我清醒了以后,转入到普通病房。甚至比教授评估的预期的结果和效果还要好。然后,思维等各方面都是非常清晰,完全已经达到,或者是超出了当时的一个评估结论。我当时手术在苏州做的,术后一个月左右,完全正常的一个工作学习。后面还带着带着家人去了很多的地方进行游玩,就是基本上已经达到了一个正常人的一个标准。经历过这场手术,这场疾病以后,我觉得重新定义了生命的意义。然后就是让自己更加的自信和独立,也让我觉得现在的生活更加的美好,生命更加有意义。所以现在的状态可以说比原来还要好。”
▼术后1年,胶质瘤患者莫女士随访视频中,四肢灵活、行动自如、充满活力。

60岁额叶胶质瘤安全全切,安享晚年

▼患者术前情况:2023年1月底罗女士突然左腿失去知觉摔倒,后面又类似情况发生几次。3月份,他们来到当地医院进行检查,颅脑MR+增强显示:右侧额叶异常信号灶,考虑低级别胶质瘤。当地医生建议:目前肿瘤比较小,手术怕伤到运动神经,也怕切不干净,先保守治疗,等腿和手的功能都出现障碍了,为了保命延长生存期不得已时再做手术。此时正恰逢巴教授中国行期间,他们便立马通过INC紧急整理资料咨询巴教授。

▼治疗过程:4月2日,罗女士和家人一致决定找巴教授手术,这时距离罗女士咨询巴教授仅过去了2天。
最终,INC德国巴特朗菲教授为额叶胶质瘤合并癫痫发作患者——66岁的罗女士顺利行肿瘤切除,在术中导航、术中核磁、术中神经电生理监测下,肿瘤取出的同时也保护了大脑正常功能。


▼术后情况:术后4周时,罗女士术后因水肿引起的暂时性左侧肢体无力情况已完全恢复,肢体活动正常,准备出院回家好好享受生活。罗女士家人分享了罗女士最新的康复锻炼视频,罗女士恢复良好,行走自如。
三个月,在术后常规随访中,我们看到视频中的她已经可以正常走路行动,语言表达正常。

胶质瘤手术的目标是在最大限度地切除肿瘤的同时,保护患者脑功能的完整性。目前,额叶肿瘤切除术中,患者执行功能(executive functions,EFs)以及生活质量损害的风险仍然很大,但大多可以实现手术目标。手术切除的优势还体现在避免单纯活检可能造成的取样误差、控制癫痫发作,减轻占位效应导致的症状,在低级别胶质瘤中细胞减灭术可以降低未来恶性变的几率,切除范围与肿瘤进展及总生存期相关。
随着研究进展,逐渐认为认知功能障碍是胶质瘤最常见的症状,约90%的额叶胶质瘤患者存在至少一项认知功能障碍。执行功能是最为脆弱的认知功能之一,且已有研究证实执行功能的保留与胶质瘤患者的预后密切相关。额叶具有重要的功能,手术切除时的功能保护显得尤为重要。
切除程度与功能保护是决定额叶胶质瘤手术疗效的关键,两者缺一不可。接触过过很多治疗不理想的患者家属前来咨询,通常是两种情况:(1)切除不当,功能毁损。术后磁共振检查见肿瘤切除的“非常”彻底,但患者及家属都非常绝望,说患者术后三个月都讲不了话,下不了床;(2)功能保全,切除不足。有些患者咨询时,神经功能状态还算不错,但也不满意。看过影像学资料后发现,额叶胶质瘤只切除了很小一部分,还有较多的残留,并没有达到手术治疗的目的,也大大削弱了后续放化疗的作用。原手术医生因担心影响功能,而仅行“部分切除”。由于切除程度不足,患者还须再行手术切除。
“切除满意,保全功能”,这需要手术医生对胶质瘤的生物学特性,额叶的功能与解剖有深刻的认识,具有较高的显微外科技术,以及在手术中娴熟使用神经电生理监测、术中神经导航等现代设备进行辅助。
注:以上案例供学术交流,不作为个别患者的医学诊疗意见。
- 文章标题:被禁的额叶切除术竟然如此可怕!如何在额叶进行安全手术?
- 更新时间:2024-11-29 18:37:37
400-029-0925


