
在神经外科领域,海绵窦一度被视为“手术禁区”。这个位置深不可测,密布着错综的神经与血管,解剖结构极为复杂——多条颅神经、颈内动脉、巨大静脉丛与脑干在此交汇。在这里,每一步操作都如履薄冰,一旦失误,便可能造成失明等不可逆的严重后果。
而在这一个无人之地,在某些情况下竟然还可以不开颅就可以清除病灶?究竟是什么情况?
海绵窦区手术、不用开颅?
这个患者是什么情况
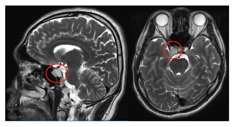
29岁的张先生可能从未想过,一次普通的鼻炎检查,竟会意外发现颅底深处的隐患——“鞍旁表皮样囊肿”。尽管最初的头痛、头晕已逐渐消失,但身体仍不时发出警报:莫名的平衡感下降、轻微的眩晕,提示着问题并未真正消失。
这个位置刁钻的囊肿,已经压迫到海绵窦内密布的多条颅神经(第三、四、五、六对)。是做手术主动干预,还是继续观察保守治疗?在辗转求医的过程中,他了解到INC的福教授,一位专擅颅底手术的大咖。
面对张先生的疑虑,福教授将给出怎样的答案?

Q、福教授视频咨询答:关于手术时机,有什么建议?
“如果是我,我会(在出现症状之前)进行手术。手术并不是急诊手术,但病灶在持续长大。
我接诊的一位(类似的)患者,他逐渐出现了动眼神经麻,并伴有上睑下垂和复视。由于进展缓慢,同时又有代偿作用,所以术后并没有完全恢复。”
Q、福教授视频咨询答:手术方案是什么样的?
“内镜手术,经鼻入路,单鼻孔,(病灶)对侧入路。
我将从病灶对侧进入,患者病灶在右侧,所以我从左侧进入,这是一个很常规(不复杂)的手术。病变是一个可抽吸的病灶,我们很容易能将它吸出。
经鼻入路,手术副作用的概率很低,因为我不会切除鼻腔内的任何结构,所有结构都完好无损,手术并不复杂。”
海绵窦手术开拓者
勇闯“无人之地”
海绵窦因其复杂的结构和密集的神经、血管窦而令人畏惧。在神经外科界,流传着这样一个故事:
显微神经外科之父Yasargil教授(1925-2025)有一次为一个累及海绵窦的肿瘤进行手术,在到达海绵窦区域时却停了下来。这时,有一位青年在旁问他为何不进行下去,Yasargil教授回答道:“我的能力到此为止了,也许将来你可以做到。”没想到,这个青年没多久就交出了满意的答卷,最终将这个“无人区”变成了自己的主阵地。
他就是Dolenc入路创始者、海绵窦手术开拓者Vinko Dolenc教授(1940-2025)。

Dolenc教授勇闯“无人之地”海绵窦
17岁那年,凯莉的右眼失去了光明,一个海绵窦区的肿瘤让她无可奈何。这个坚强的菇凉一直过着常人的生活,学习、工作,也成为了妻子和母亲。
直到多年后,这个肿瘤在悄悄生长下开始吞噬她左眼仅存的光明,视力一天比一天模煳……

术前影像
怎么办?
伽马刀?射波刀?还是什么都不做?
Dolenc教授对于Kaylee的情况,表示必须切除肿瘤,同时帮助她保全左侧视力,但是由于右眼失明17年,已经无法再恢复。
Dolenc教授曾这样形容:“在海绵窦区域手术,就如同在鸡蛋壳上打磨——既要精准地清除病变,又不能损伤蛋壳之下无比脆弱的神经和血管。”
他强调,在处理视神经管内的视神经时,必须极度轻柔、谨慎。
就连磨除骨质这样的操作,也“不能像钻头那样粗暴地钻孔”,而应该像“刷牙一般”,将磨头在骨面轻柔地来回移动,以此控制温度,避免热损伤对视神经造成不可逆的伤害。

Dolenc教授术中操作形象图
当最后一丝肿瘤被清除,左眼的视神经终于松弛下来。光明,保住了。
没有新的神经功能损伤,没有后遗症。凯莉的世界依然狭窄,却足够照亮孩子的笑脸和未来的每一天。“我看不见右边的一切,”她说,“但只要左边还有光,我就能一直走下去。”

术后动眼动图
高难海绵窦区手术
开颅还是经鼻内镜?
鞍旁区域是一个复杂的解剖学区域,位于蝶鞍侧方蝶鞍的双两侧;它包含相关的神经血管结构。在大多数医生看来,鞍旁区域包括蝶鞍周围的所有区域,被海绵窦环绕,位于蝶鞍、蝶窦和鞍上池结构的海绵窦侧方。
海绵窦是鞍旁区域极其重要的结构;1980年以前,该区域几乎被视为“手术禁区”,手术伴有极高的死亡率和致残率。海绵窦及其周围病变一直令人畏惧,可谓神经外科“技术难度最高”手术之一。
该区域位置深,神经、血管交错,解剖高度复杂,涉及多个颅神经、重要脑动脉、巨大静脉丛和脑干。它包含第III(动眼神经),IV(滑车神经),V1(三叉神经的眼支),V2(三叉神经的上颌支)和VI(外展肌)对颅神经。它也包括颈内动脉的海绵窦段。鞍上池包括视交叉和视神经,第三脑室前部,下丘脑,垂体漏斗部和第三脑室的漏斗部和视交叉上凹处——而成为神经外科手术难题。
任何失误都可能造成失明等灾难性后果。造成困难的核心问题就是海绵窦的特征-颈内动脉和海绵窦内的一系列血管,对血管和各个壁之间关系的了解是非常重要的。如何切除这巨大的肿瘤,且不伤害到周围密集的重要血管神经!
INC旗下世界神经外科顾问团(WANG)的专家成员、Sebastien Froelich教授、Takeshi kawase教授、Henry W.S.Schroeder教授等共同撰写了《海绵窦脑膜瘤的处理:EANS(欧洲神经外科学会年会)颅底分会的共识声明Management of ca vernous sinus meningiomas:Consensus statement on behalf of the EANS skull base section》(doi:10.1016/j.bas.2022.100864.)。共识讨论了关于海绵窦脑膜瘤的一系列问题,并提出对海绵窦脑膜瘤的管理建议,对于开颅还是内镜也做出分析。

三种生长模式的海绵窦脑膜瘤

1):肿瘤局限于海绵窦,海绵窦未变形,静脉血流部分维持。这种情况不利于手术。肿瘤长入海绵窦,包绕经过的颅神经,勒闭颈内动脉的海绵窦段。海绵窦窦扭曲闭塞。这种情况不利于手术。
2):肿瘤向海绵窦外侧生长,神经血管结构内侧游离。这种情况有利于开颅手术。
3)肿瘤向颅神经内侧生长,将颅神经推向外侧进入外侧囊。海绵窦变形和侧向扩大。这种情况有利于经鼻内镜手术。
- 文章标题:这个海绵窦占位,不开颅就可以从脑子里“吸”出来?
- 更新时间:2025-08-30 19:13:34
400-029-0925


