日常生活的繁琐,常使人感到“头痛欲裂”。尽管很多时候这四个字仅仅是情绪上的表达,但头痛,也可能存在另一个“幕后黑手”——椎动脉夹层动脉瘤(vertebral arterydissecting aneurysm,VADA),一个堪称高破裂率、高死残率的“不定时炸弹”。
夹层动脉瘤的动脉壁就像一个被吹鼓的“气球”,此时的动脉血就如一根根银针,一不下心就会导致动脉壁破裂出血,是造成蛛网膜下腔出血的首位病因,且存在二次出血的风险,严重时可引起昏迷,甚至产生生命危险。
夹层动脉瘤可表现为突发剧烈疼痛、休克、虚脱、血压变化,以及其他系统损害。疼痛是突出而有特征性的症状,通常被描述为撕裂样或扯开样疼痛。
据研究显示,较常见的主动脉夹层患者若未及时治疗,24小时内,每小时的死亡率会增加1%-2%,发病一周内病死率可超过70%。
而椎动脉夹层动脉瘤因靠近脑干关键要害,除了致残、致死率高,治疗挑战更是巨大。
INC国际神经外科专家团致力于疑难神外案例研究与治疗,其中,INC国际神经外科医生集团旗下世界神经外科顾问团(WANG)成员巴特朗菲教授,与国际脑血管搭桥手术大师、INC国际神经外科医生集团旗下世界神经外科专家团(WNEG)成员Akitsugu Kawashima(川岛明次)教授尤其擅长动脉瘤的搭桥手术治疗。
VADA:为何总是喜欢“成双成对”?
VADA又称动脉剥离,实质是椎动脉三层膜之间剥离而发生的病理性夹层,导致动脉壁膨出,从而表现为动脉瘤样扩张。形成的主要原因是动脉血管壁撕裂伤,或中膜本身的供养血管缺血,引起出血而形成壁内血肿。
VADA是一类较罕见且特殊的疾病,每年发病率为1/10万~1.5/10万人,且总是喜欢“成双成对”出现。VADA约有3/4到4/5发生在椎动脉的V4段,颅外段以V3段较为常见。单纯局限于基底动脉的夹层动脉瘤较少见,多由一侧椎动脉夹层动脉瘤发展而来。
大多数的夹层动脉瘤具有伴发性,局限于单侧椎动脉或基底动脉的只占夹层动脉瘤的32%左右。
双侧VADA是一种导致严重中风的罕见疾病。然而,由于其病理复杂且每种情况不同,相应的治疗策略目前还存在争议。
临床表现&常见症状
VADA的病因至今尚不明确,目前认为有两个方面,即先天性和后天性。先天性一般与遗传因素及血管壁结构发育异常有关,而后天性多与头颈部外伤及过度活动有关。
VADA临床表现&症状:
出血、头疼、行走不稳
一侧枕部及后颈部疼痛:是较为常见的症状。
后循环缺血、梗死:表现为Wallenberq综合征或一侧延髓病变,如眩晕、行走不稳、向病侧跌倒、吞咽困难以及对侧痛、温觉丧失等。偶尔这种脑卒中的临床初期表现并不典型,可能只表现为口吃等不典型症状。
破裂出血:主要表现为蛛网膜下腔出血或脑室内出血。
占位效应:主要表现在巨大VADA上,但是比较少见。
轻微头痛、眩晕、耳鸣:也存在一定数量的患者没有任何临床症状或仅有极其轻微的非典型的临床症状。
诊断方式
VADA的临床诊断主要依靠影像学检查,包括DSA、MRI等。根据肿瘤大小及生长位置,进行针对性的影像检查。
DSA:
诊断VADA的“金标准”
DSA可显示病变的直接征象,如双腔征、双向血流等,也可显示间接征象,如“串珠”状、“线”样征等。如果仅有间接征象,有时还需结合CT、MRI,甚至手术或病理进行诊断。
根据病变部位、严重程度和累及血管壁层次不同,主要表现为:
1、“串珠”状:动脉瘤样扩张,形成同部膨大,并且伴有膨大部位的近端和(或)远端动脉管腔变窄。
2、“线”样征:动脉管腔狭窄甚至闭塞,或血流被阻断。
3、“双腔”征:壁内血肿与血管管腔交通,对比剂在血管管腔(真腔)与壁内血肿(假腔)内同时显影,在DSA造影晚期,动脉夹层(假腔)内多有对比剂滞留。
4、“玫瑰花”征:部分夹层动脉瘤形状不规则,造影时可表现为局部分叶状膨大。
MRI:
VADA的细节显示
MRI能显示螺旋状毗邻血管腔的新月形血管壁血肿。通过脂肪抑制成像技术可区分血管壁小血肿与周围软组织,也可用于随访和监护。高场强(1.5T以上)成像接近DSA,对VADA的细节显示具有优势。MRA图像和DSA图像高度一致,但较小的病灶检出率较低,假阳性率较高,一般适合于直径>3mm的VADA。
INC国际专家团疑难手术案例
INC国际神经外科医生集团旗下世界神经外科顾问团(WANG)成员、世界神经外科联合会(WFNS)教育与技术委员会前主席巴特朗菲教授擅长大脑半球病变、脑干病变、脑血管疾病、脑内深层区胶质瘤、颅颈交界处的病变等的肿瘤切除术、神经吻合术以及各种椎管内肿瘤等。对世界神经外科学科做出重大贡献,特别是颅底外科和显微外科血管病变的脑和脊髓治疗。

德国Helmut Bertalanffy教授
世界神经外科联合会(WFNS)教育与技术委员会前主席
世界神经外科联合会(WFNS)提名委员会前主席
欧洲神经外科知名杂志《Neurosurgical Review》主编,2004-2016年
INC旗下世界神经外科顾问团(WANG)成员
血管搭桥术切除动脉瘤
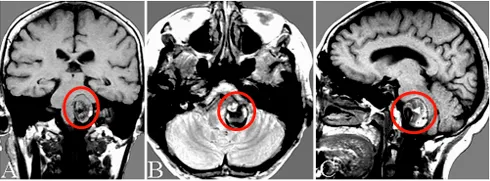
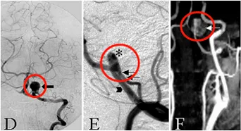
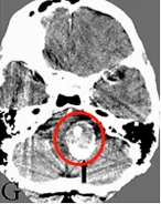
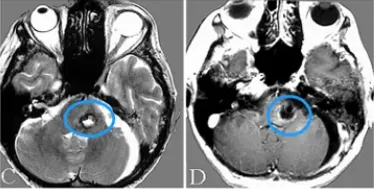
65岁女士,有左侧面部神经瘫痪和头晕1月,随后出现吞咽障碍和声带麻痹,影像检查显示3厘米大小的占位,考虑主要是血栓形成的VA椎动脉瘤,包括PICA(图1)。巴特朗菲教授为其进行血管搭桥术,术后动脉瘤血栓形成的部分几乎完全切除,无因手术造成的神经功能缺损。

图1A-C:术前磁共振扫描显示部分血栓形成的VA-PICA动脉瘤,并压迫脑干。

图1D:术前左侧VA造影显示大量血栓形成的VA-PICA动脉瘤的灌注部分(箭头);图1E:术前左侧VA血管造影,VA-PICA动脉瘤合并巨大血栓形成,显示动脉瘤灌注部分(星形)和不同直径的左侧VA(箭头)和PICA(双箭头);图1F:磁共振血管造影显示VA-PICA动脉瘤部分血栓形成(箭头)。

图1G:CT显示动脉瘤的血栓形成及部分钙化。
术后情况:病人在手术当天即神志清楚,没有出现新发的神经功能缺损。在术后第一天的检查中,未发现局部或远端梗死和吻合口再出血(图2A-B)。MR显示脑干压迫效应解除(图2C-和D),术后血管造影显示吻合的PICA充盈良好、血流通畅(图2E-F)。术后恢复顺利,无术后并发症。经过7年的随访,声带麻痹已痊愈,生活正常。

图2A-B:CT显示动脉瘤囊切除和VA-PICA吻合术后,远外侧入路的骨磨除部分。

图2C-D:术后MR显示动脉瘤体切除。

图2E-F:术后血管造影显示成功的VA-PICA吻合术,不同直径的VA(星号)和PICA(双箭头)以及远端VA上的永久夹闭(单箭头)。
国际脑血管搭桥手术大师、INC国际神经外科医生集团旗下世界神经外科专家团(WNEG)成员Akitsugu Kawashima(川岛明次)教授在脑血管搭桥、脑动脉瘤方面有非常丰富的神经外科临床手术经验。在其研究中,曾报道过一例双侧VADA病例,该病例通过分期双侧VADA闭塞和低流量旁路成功治疗。

Akitsugu Kawashima(川岛明次)教授
世界知名脑血管搭桥手术专家
烟雾病国际手术专家
世界知名脑血管搭桥手术专家
日本知名脑血管病手术专家
日本东京女子医科大学八千代医疗中心神经外科主席
日本神经外科学会委员
日本脑卒中协会委员
日本脑卒中外科学会委员
日本急诊医学会委员
动脉旁路术夹闭双侧VADA
40多岁日本男性,出现轻微头疼并持续2天,但并无任何其他神经系统缺陷,CTA显示双侧VADA并蛛网膜下腔出血(图3a)。随后入院进行第一次手术,Kawashima(川岛明次)教授通过左侧枕下外侧入路手术成功夹断左侧破裂的VADA(图3b),小脑后下动脉(PICA)未参与VADA,无任何术中并发症。

图3a:术前CTA显示双侧椎夹层动脉瘤(箭头)。

图3b:术后3天CTA显示左侧VADA切除(箭头)。
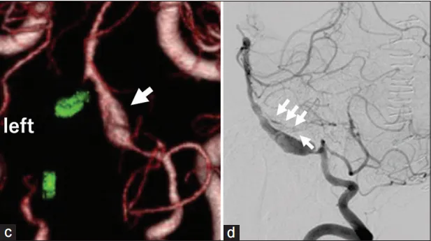
然而,术后第11天,随访CTA显示对侧VADA无症状扩大(图3c-d)。教授通过外侧枕下入路近端夹断右侧VADA(图4)。同时,通过颞下入路进行颞浅动脉-小脑上动脉旁路术,以保持后循环中的脑血流(图5)。术后双侧VADA被切除,康复后约1个月出院且术后1年随访期间病情平稳。

图3c-d:(c)术后第11天CTA显示右侧VADA迅速增大(箭头);(d)右侧椎血管造影侧视图显示右侧VADA远端延髓动脉穿孔(箭头)和大脑后动脉的前交通段发育不良。

图4a:右侧颞浅动脉-小脑上动脉(SCA)旁路和右侧椎体夹层动脉瘤近端夹闭的皮肤切口线。

图4b:术中右侧颞浅动脉(箭头)-SCA(箭头)旁路术的表现。旁路中断时间为28 min。

图4c:术中小脑后下动脉近端夹闭(箭头)。

图4d:术中右侧椎夹层动脉瘤及远端至脑干穿支(箭头)。

图5:CTA显示双侧椎体夹层动脉瘤闭塞,颞浅动脉-小脑上动脉搭桥术未闭(箭头)。
研究发现:低流量旁路足以维持基底动脉和小脑动脉的循环。基于侧支血流,低流量旁路可能是双侧VADA闭塞的一种潜在的治疗选择,因为它往往比高流量旁路的侵袭性更小。
注:以上案例供学术交流,不作为个别患者的医学诊疗意见。
参考资料:Yokoyama T,Nomura S,Ishiguro T,Hodotsuka K,Kuwano A,Tanaka Y,Murakami M,Kawamata T,Kawashima A.A case of bilateral vertebral artery dissection treated by bilateral surgical occlusion and low-flow bypass.Surg Neurol Int.2024 Apr 5;15:121.
- 文章标题:椎动脉瘤头痛炸裂、死残率高!INC国际脑血管专家们如何“搭”救?
- 更新时间:2024-12-04 17:48:25
400-029-0925


