中枢神经系统生殖细胞瘤(CNS)是一种少见的原发性脑肿瘤。在西方国家和,它们分别占全部原发性中枢神经系统癌的0.5%和2.0%。生殖细胞瘤占CNS-GCT的65%。受影响的主要是儿童和20岁以下的年轻人(即90%的病例)。肿瘤几乎只发生在中线区域(即松果体和鞍上区域)。与其他原发中枢神经系统恶性肿瘤相比,生殖细胞瘤的预后相当好,单独放疗患者的5年生存率优于90%。在生殖细胞瘤患者中,年龄大于12岁及胸部位置与预后不良有关。在颅内生殖细胞瘤患者中,手术期间软脑膜播撒或溢出预示着较差的预后。我们在此报告一例不典型的基底神经节异位生殖细胞瘤,并无脑萎缩。
患者案例
21岁男性,无个人或家族病史,因孤立性进行性左偏瘫而就诊。他没有慢性药物治疗,也没有过敏。临床检查发现孤立性左侧偏瘫。根据医学研究委员会(Medical Research Council)的分级,分段强度评估为4/5。检测相关锥体综合征。未发现颅内压升高综合征的证据。其Karnofsky性能状态指数为90%,体重指数为26 kg/m2。一开始脑部MRI显示右侧额叶、胼胝体和基底节多发增强病灶,并伴有瘤周水肿。全身CT扫描、HIV血清学检查、眼底检查和PET扫描均为阴性,未见异常。患者接受了立体定向肿瘤活检。

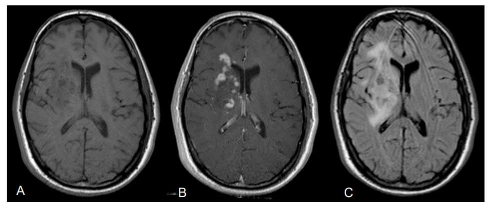
图A:轴向t1加权磁共振成像(MRI)。图B:轴位t1加权图像,钆增强,右侧基底节病变增强。图C:轴向液体衰减反转恢复(FLAIR)图像显示右侧基底神经节高信号和瘤周水肿
神经病理学检查发现多个肉芽肿性病变,由上皮样细胞和小淋巴细胞组成。肉芽肿性炎症反应中,可见少量大细胞,核圆,核仁明显,胞浆苍白,嗜酸性。血管周围小淋巴细胞CD20免疫染色阳性,大肿瘤细胞阴性,排除了弥漫性大b细胞淋巴瘤的诊断。这是通过大脑核磁共振得到的一个诊断。胎盘碱性磷酸酶(PALP)在大肿瘤细胞表面和高尔基体上表达。这些细胞也是CD117和Ki67阳性。原位杂交未检测到eb。明确的神经病理学诊断为纯粹的生殖细胞瘤。血液和脑脊液(CSF)样本未显示甲胎蛋白(AFP)、β人绒毛膜促性腺激素(bHCG)或PLAP异常水平。脑脊液标本未检出肿瘤细胞。脊髓MRI正常。患者接受颅脑脊髓放射治疗,主要病灶增加24 Gy和16 Gy,总剂量为40 Gy。
研究发现
CNS- gct占CNS肿瘤的0.5%。中枢神经系统GCT的性别比例为三分之二(f/m)。GCT的风险因素很少,主要是遗传(如克氏综合征、斯怀尔综合征和唐氏综合征)。临床症状与肿瘤部位有关。MRI表现不特异性,T1和T2加权等/高信号,不恒定增强,但强且均匀。有时钙化被检测到。病理诊断有时具有挑战性。事实上,肉芽肿性炎症和小淋巴细胞提示多种鉴别诊断(如弥漫性大b细胞淋巴瘤、结节病、结核病、白塞氏病或脑转移)并不少见。CD20、PLAP、CD117/C-kit、OCT4、角蛋白、上皮膜抗原、bHCG和AFP免疫染色对正确诊断有帮助。颅内生殖细胞瘤占CNS-GCT的65%,主要影响儿童。事实上,90%的病例发生在20岁之前。发病高峰为10 ~ 19岁(68%)。与其他原发性脑癌相比,生殖细胞瘤有相当好的预后。
生殖细胞瘤的脑区几乎只位于中线区域(即松果体区域和鞍上区域)。基底神经节是生殖细胞瘤较常见的异位部位。基底神经节生殖细胞瘤主要报道在和日本的病人管理。他们几乎只影响年轻的男性。只有9例报告为女性。基底神经节生殖细胞瘤患者的中位年龄从10.9(7.9-13.6)到13.5(8-28),小于全部中枢神经系统生殖细胞瘤。基底节区生殖细胞瘤的MRI表现不明显。然而,12/29例患者存在同侧半球脑萎缩(41%)。放射学研究表明,实质萎缩是由于Wallerian变性。中枢神经系统转移很少见。很少病例是双侧的。
3例累及胼胝体,1例位于视交叉。幕下病例很少见。位于桥小脑角3例,位于四脑室1例。Shigeo Hisa等于1985年报道了首例脊髓生殖细胞瘤。到目前为止,报告的病例不到50例,其中颅内生殖细胞瘤脊髓转移的病例较少。Baussart在2007年报告了一例海绵窦内,延伸至Meckel洞,由于五颅神经的路径,在22岁的男子遭受三叉神经感觉减退。
有趣的是,有两例未出现实质萎缩的半球性生殖细胞瘤被发表。一例位于右颞叶,由Utsuki于2005年在一名13岁男孩中报道。二篇报道是由纪万昌在2011年发表的。它位于额顶叶凸面,有硬脑膜侵犯,类似脑膜瘤。基底神经节生殖细胞瘤中枢神经系统转移的发生率尚不清楚,但Jennings报道11%的颅内生殖细胞瘤患者出现中枢神经系统转移。中枢神经系统生殖细胞瘤的中枢神经系统外转移是异常观察,并与不良预后密切相关。
相关参考资料来源:DOI:10.1016/j.wneu.2016.05.041
- 文章标题:基底节生殖细胞瘤能不能手术?
- 更新时间:2021-06-07 11:33:19
400-029-0925




