
INC巴教授·2025示范手术
鞍区脑膜瘤
北京时间11月11日,随着疑难神经外科示范手术的顺利展开,INC巴特朗菲教授中国行正紧锣密鼓、有序进行中。这位来自德国的大咖以匆忙的步伐再次踏入了他熟悉的医院。冬之伊始,阳光明媚。来自五湖四海的患者,因他的到来,汇聚在这里,留下了生命的希望与轨迹。
人,都害怕生病;生病了,更害怕手术。
因为,一旦生病,就意味着生命的长度与质量都可能悄然折损;做手术,那意味着生命安全将暂时不再由自己掌控,不做手术就可能面临着肿瘤压迫带来的未知风险……
但如果,能遇到一位真正有把握的术者呢?如果,身后还有全力支持的家人呢?
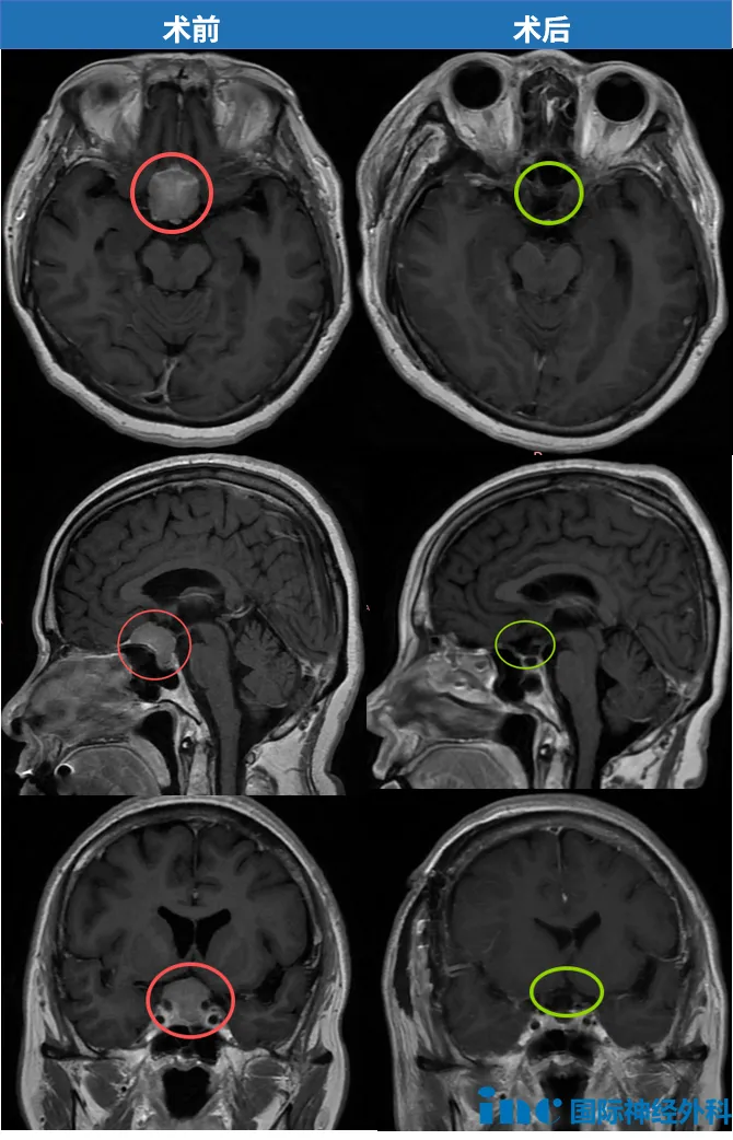
这是一场与时间的赛跑:58岁的陈女士罹患鞍区脑膜瘤,不仅位置险要,更已导致视力显著下降。危急关头,为了保住剩余的视力,一家人当机立断,迅速选择手术;巴教授更是精准出击,顺利切除肿瘤,从失明的边缘为她夺回了光明。

当眼睛里的光,正被脑瘤一寸寸偷走……
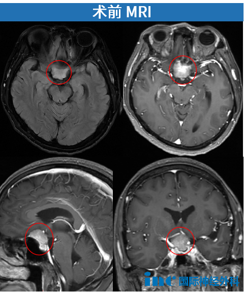
2024年12月17日,远在异国的陈女士因面瘫、视物模糊被确诊为鞍区脑膜瘤。病情不等人——短短4天后,她已紧急飞回国内。进一步检查显示,肿瘤匍匐于鞍底,约2.6cm×2.5cm。

时间一天天流逝,光明也一点一点被吞噬。儿子一边安抚着害怕的母亲,一边全力奔走。2025年1月3日,他们终于拿到巴教授的关键评估:“手术非常紧急!”因为此时陈女士双眼视力正在持续下降,检查显示双眼视力0.2(正常1.0),双眼视野严重缺损。
由于这个肿瘤位于前颅底,从两条视神经之间生长,并随着其增大逐渐压迫了视神经。此外,肿瘤的位置十分险要,还波及到了垂体及垂体柄。
这不仅仅是肿瘤的问题,肿瘤还会压迫供应视神经和视交叉的血管,损伤视神经的血液供应,这很容易导致肿瘤和视神经的梗塞,患者可能会完全失明。
“手术非常紧急!”一场与失明的赛跑
面对这突如其来的重病,陈女士心中满是恐惧。她想起近几年视力逐渐模糊,一直以为是老花,却不知是脑内的“不速之客”已悄然生长到如此地步。
母亲愈发害怕,儿子就越要冷静。他清楚,每一步犹豫都在消耗母亲剩余的视力。
“非常晚了,视力已经不是特别好……”教授的话回荡耳边,却也坚定了儿子为母亲争取手术的决心。
丈夫与儿子始终守在陈女士身边,给予她无尽的勇气和支持。终于,在他们的全力支撑下,陈女士决定勇敢面对这次手术。
“一切顺利”!巴教授救下这“岌岌可危”的视力

2025年1月9日,手术当天,一家人焦急等候在手术室外。“一切都好!”当听到巴教授说出这个好消息时,家属也激动得连连道谢:“太感谢您了!”
术后当天,陈女士在ICU已能与教授自如交流,视力有所恢复,并于当日转入普通病房。这场与时间的赛跑,他们跑赢了。
站在时间的长河岸边回望,总有人为“为何没有早一点手术解决问题”而懊悔。但我们也看到,通过中外专家的共同努力,能够让爱与希望的光芒穿越时空,照亮前行的道路。巴教授来华行程紧凑,陈女士抢下了关键的一局。目前,巴教授示范手术继续中,愿更多家庭迎来转机。
鞍区手术风险大?可以伽马刀治疗吗?

鞍区在哪里?
我们可以想象一下:从眉心再往里大概四五厘米的位置,这是颅中窝中央部的蝶鞍及其周围区域。因为形似马鞍,因此被称为鞍区。
地方虽然不大,只有大约5.5平方厘米,却是众多关乎生命结构的汇集地——如颈动脉、基底动脉、海绵窦、垂体、下丘脑、视神经等多组颅神经等......
视神经与视力息息相关,垂体柄则影响着内分泌功能,下丘脑则决定着患者的认知能力和术后的内分泌状态。
在这样的“弹丸之地”,颅咽管瘤像一条狡猾的虫子,它钻进患者的鞍区,在大脑核心、深入部位“为非作歹”。
这个手术区域非常精细,一旦出现误差,就可能导致不可逆的神经损伤,这就要求医生在切除肿瘤的过程中,要再三权衡风险,及时做出取舍。
鞍区脑膜瘤可以选择伽马刀吗?
巴教授在为陈女士评估时表示:有时候医生担心失明的风险,会让患者接受伽马刀治疗,但这通常会使情况更糟,因为伽马刀也可能引起失明,并且会使后续的手术变得更加复杂。肿瘤和视神经会变得非常粘连,这会使手术更加困难。因此,伽马刀对她来说并不是一个好的选择。
国内外指南:手术仍是脑膜瘤治疗一线方案
目前,手术仍然是应对大多数脑膜瘤的首选方式——尤其当肿瘤体积较大、生长较快,或者已经引发症状时,医生通常会建议手术,目标是尽可能地彻底切除。

图:现国际通行的Simpson分级预测脑膜瘤复发的关系
2004-2014年美国国家癌症数据库(National Cancer Database,NCDB)中所有被诊断为脑膜瘤的患者数据。分析了201,765例病例,平均年龄为64岁。患者占比为I级(24.9%)、II级(5.0%)、III级(0.7%)或未知的WHO等级(69.4%)。中位生存期为12.6年。接受手术切除的患者5年生存率高于未接受治疗的患者。放射治疗仅可用于不可切除的肿瘤,以及在回顾性分析已证明其有益的老年人群中。


具体研究分享,点击阅读:脑膜瘤一般能活几年?超20万名脑膜瘤患者研究数据,揭示生存真相究竟如何
当查出脑膜瘤,是该积极手术,还是继续观察?这个决定的背后,牵扯太多——肿瘤的位置危不危险、什么时候做手术最合适、如何最大程度保护功能、术后生活质量如何保障……这一切,没有标准答案,每一步,都是医生与患者并肩做出的重大抉择,最终都是为了更好的预后。
400-029-0925


