垂体瘤是脑下垂体组织内的异常增生,几乎全部垂体瘤都是良性的。垂体瘤的病因是什么?垂体瘤的病因目前尚未完全阐明。近年来对有功能性垂体瘤的发病机理学说主要有二:

1.垂体瘤是来自垂体细胞的原发缺陷。如肢端肥大症患者对促甲状腺激素释放激素(TRH)兴奋或促性腺激素释放激素(GnRH)刺激有异常的生长激素(GH)升高反应,提示腺瘤细胞上有非特异下丘脑激素受体的存在。这说明生长激素腺瘤细胞失去了正常的自稳机制,则提示腺瘤细胞受体及受体后功能异常。部份生长激素瘤的GHRH受体的Gs蛋白变异,导致GH分泌过多,也支持原发性缺陷。
2.继发于中枢神经及/或下丘脑对垂体分泌功能的控制失调:如在部分原发性甲状腺机能减退中,由于甲状腺合成和分泌甲状腺激素不足,反馈控制下丘脑分泌TRH功能减弱,从而使垂体促甲状腺激素细胞发生增生,久至形成肿瘤,且常可伴有高泌乳素血症。
垂体瘤死亡率是多少?
垂体瘤死亡率是多少?由于垂体瘤基本为良性肿瘤,只要及时治疗,便很大可能治愈,其死亡率并不高。但是严重的垂体瘤是会导致患者死亡的,垂体瘤还会引起很多并发症。比如成年人出现鼻子变大,嘴唇变厚,容貌变丑,视力下降;儿童出现视力下降或生长发育迟缓;男性阳痿,女性月经紊乱,不孕不育等,这些都可能是脑内长了垂体瘤所致。而且如果垂体瘤没有及时治疗,垂体瘤会越来越大,垂体瘤患者会出现持续性的头痛,会影响到呼吸,甚至威胁到生命。
患了垂体瘤怎么治疗好?
患了垂体瘤怎么治疗好?由于垂体瘤是良性肿瘤,患了垂体瘤的患者也不要过于惊慌,及时治疗是可以得到治愈的。目前国内外对于垂体瘤的治疗主要包括手术治疗、药物治疗、放射治疗三种方案。在国外,一般会根据患者垂体瘤的大小、激素分泌的情况、并发症及共患疾病的情况、患者的年龄、是否有生育要求以及患者的经济情况制定个体化的治疗方案。放疗和药物治疗一般都是作为手术后的辅助治疗,手术是治疗垂体瘤合适的方法,手术可以取得病理诊断,快速、完全地解决患者的相关症状,疗效。只要医生经验丰富,手术技术高超,一般可以一次性将肿瘤完全或大部分切除。
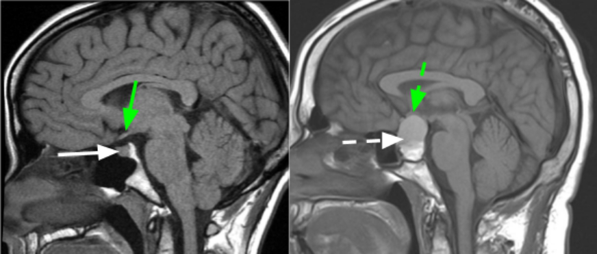
神经内镜手术是治疗垂体瘤的首要选择
在西方发达国家,垂体腺瘤的优选手术治疗是神经内镜手术下经鼻入路(EEA),切除肿瘤。这种创新的、微创的技术利用鼻子和鼻腔作为自然通道,进入难以触及或以前无法手术的肿瘤。EEA具有创伤小、美观性好、等优点。但是神经内镜手术也存在的挑战,神经内镜手术一般是需要两个医生配合,很考验医生的默契,一不小心,便会造成失误。
国际上,对于垂体瘤神经内镜手术,国际神经外科学会联合会(WFNS)内镜委员会前主席Henry W.S. Schroeder教授是擅长的,他拥有20余年的神经外科疾病咨询经验,擅长神经内镜下单鼻孔垂体瘤的微创手术治疗。经其神经内镜手术治疗的垂体瘤、脑膜瘤病例切除率高、治愈率高、复发率较低。他的主要研究领域便包括垂体瘤、脑膜瘤以及其他颅内肿瘤的神经内镜手术、显微神经外科手术和显微颅底手术。且与德国其他神经外科专家一起合著、编纂了《神经内镜手术》和《神经外科实用手册》等丛书,对于神经外科医生具有较大的临床实践指导意义。

另一位擅长垂体瘤神经内镜手术的便是目前国际神经外科界年轻一代中教授Sebastien Froelich教授,他同时担任国际神经外联合会(WFNS)颅底手术委员会主席,法国巴黎 Lariboisière 大学医院神经外科教授兼主席的Froelich教授。Sebastien Froelich教授作为国际神经外科内镜手术专家,他对于脊索瘤、脑膜瘤、垂体瘤、颅咽管瘤等都有大量的临床治疗经验,其发明内镜手术“筷子手法”,通过类似于吃饭握住筷子的方式同时握住两个仪器进行操作,可以一人合适手术。经Sebastien Froelich教授的垂体瘤神经内镜手术,不仅成功率高,而且切除率更高甚至全切,患者也有着更好的预后。

筷子手法演示
Henry W.S. Schroeder教授和Sebastien Froelich教授均是专注于神经外科领域的专家学术交流的医生集团, INC国际神经外科医生集团旗下组织顾问团成员。国内患者如想寻求Henry W.S. Schroeder教授、Sebastien Froelich教授及其医院的国际前沿治疗,可通过INC国际神经外科医生集团获得国际远程咨询及出国治疗的相关帮助。
12月21日,Sebastien Froelich教授将来华参加2019中国颅底大会,同时还将面向患者开启5个面对面咨询名额,为国内患者提供相关病情国际前沿治疗资讯及国际水平手术方案,可通过INC进行咨询报名。
- 文章标题:垂体瘤病因是什么?垂体瘤死亡率
- 更新时间:2019-12-09 17:36:18
400-029-0925


