
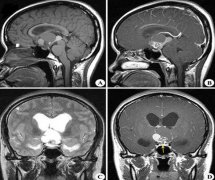
颅咽管瘤是比较常见的良性肿瘤,占颅内肿瘤的2%~5%,在儿童中尤为常见,位居儿童颅内肿瘤的2位,约占儿童颅内肿瘤的5.6%~15%,占儿童鞍区肿瘤的54%。颅咽管瘤主要有2个发病高峰...

颅咽管瘤全切复发概率?颅咽管瘤是比较常见的良性神经系统肿瘤,起源于蝶鞍的前缘,主要累及蝶鞍和鞍上间隙。它们很少转移,但具有局部侵袭性(通常是下丘脑)。 随着颅咽管瘤的生...

颅咽管瘤是恶性肿瘤吗?一般来说,颅咽管瘤占颅内肿瘤的 6% ~9%,占儿童鞍区肿瘤的54%。 颅咽管瘤不但不是少见疾病,而且是一种儿童较为常见的颅内肿瘤。 颅咽管瘤是恶性肿瘤吗?...

颅咽管瘤专家如何?颅咽管瘤是儿童时期常见的累及下丘脑-垂体区的良性组织肿瘤,在成人中比较少见。囊性颅咽管瘤占肿瘤的90%以上。囊性颅咽管瘤的较佳治疗方法仍有争议...

颅咽管瘤 遗传给子女吗?颅咽管瘤是一种良性的脑肿瘤,约占儿童中枢神经系统肿瘤的3-9%。颅咽管瘤可发生于儿童和成人,在9至14岁时发病率较高。在美国,每年大约有120例年龄在19岁...

Q:我家孩子10岁,刚查出得了颅咽管瘤,这种颅咽管瘤能活多久?怎么治疗比较好?后期能回归正常生活吗? A:颅咽管瘤能活多久? 首先需要来了解下什么是颅咽管瘤。颅咽管瘤是由...

垂体瘤 是脑下垂体组织内的异常增生,几乎全部垂体瘤都是良性的。垂体瘤的病因是什么?垂体瘤的病因目前尚未完全阐明。近年来对有功能性垂体瘤的发病机理学说主要有二: 1.垂体...

颅咽管瘤 有不复发的吗?颅咽管瘤是一种生长缓慢的良性脑瘤,发生在脑下垂体(脑下垂体是位于大脑底部的一个小的内分泌腺,它产生几种重要的激素)和下丘脑(一个控制脑下垂体释放...

国外有好的 治疗脑垂体瘤 的方案吗?垂体瘤作为对生命威胁性较小的脑肿瘤,却深受患者重视,特别是女性。这是由于垂体瘤会使人肢体变肥大,容貌变丑等,严重影响了女性的容貌。...

垂体瘤 ,畸形,在你的开发生长脑垂体 -具备几种症状。这些症状通常逐渐发展,但较终可能导致其他内分泌失调,例如库欣氏病和肢端肥大症。 垂体瘤的某些症状是微妙的,例如疲劳...