(爱恩希)INC国际-国内中文
(爱恩希)INC国际
联系INC
寻求咨询意见
(爱恩希)INC国际咨询电话400-029-0925

脊索瘤

INC为您呈现神经外科前沿资讯

INC > 脊索瘤 >
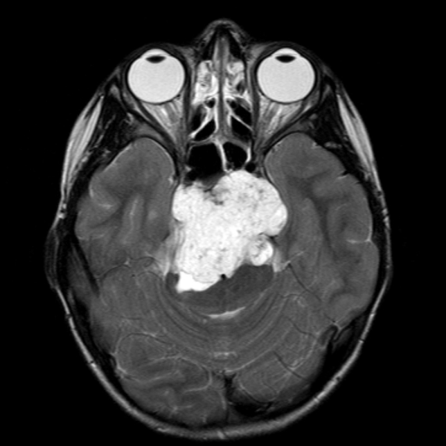
脊索瘤的较新治疗方法是什么?经鼻入路内镜手术成功案例一则

脊索瘤的较新治疗方法是什么?经鼻入路内镜手

  “感谢给我这个机会来演讲,并交流我们在脊索瘤方面的经验,很高兴来到中国进行讨论。在我们医院,我们有很多很多年的颅底脊索瘤治疗的经验;它始于Bernard George,就是我在...

2022-01-17 23:33:39
问:脊索瘤能完全治愈吗?

问:脊索瘤能完全治愈吗?

  问:脊索瘤能完全治愈吗? 答:脊索瘤是发生在头盖骨和脊椎上的恶性肿瘤。这是一种少见的肿瘤,每年每100万人中就有1人会得,在颅底肿瘤中也很难治疗。肿瘤从头盖骨到神经...

2020-10-05 16:35:06
头部脊索瘤手术痛苦吗?

头部脊索瘤手术痛苦吗?

  头部 脊索瘤手术 痛苦吗?脊索瘤起源于脊索组织内的脊索细胞,约 30% 的脊索瘤发生于头部的中心,即颅底区域,也被称为颅内脊索瘤、脑脊索瘤。而头部脊索瘤的治疗一般都是优选手...

2019-12-13 10:41:55
脊索瘤质子治疗后能活多久?

脊索瘤质子治疗后能活多久?

  脊索瘤 是一种起源于胚胎脊索残余的局部侵袭性肿瘤。使用监测、流行病学和较终结果数据库的基于人群的研究表明,每106人脊索瘤发病率为8.4。尽管斜坡脊索瘤占全部脊索瘤的三分之...

2019-12-11 16:27:05
恶性脑脊索瘤怎么治疗?

恶性脑脊索瘤怎么治疗?

  脊索瘤 是少见的缓慢生长的恶性肿瘤,来源于脊索残余。它们出现在轴向骨骼的任何地方,但比较常见于骶尾部和枕骨区,脊索瘤是局部侵袭性的,具有低转移潜能;手术切除很少,解...

2019-08-29 18:12:45
颅内脊索瘤早期症状,能治吗?

颅内脊索瘤早期症状,能治吗?

  问:颅内脊索瘤早期症状,能治吗? 答:颅内脊索瘤早期症状 取决于肿瘤的大小和位置。肿瘤可引起麻木,背痛,头痛和视力问题等症状。 颅底的脊索瘤,也称为脊索瘤,可以影响面...

2019-08-28 16:36:35
脊索瘤复发的评估因子有哪些?

脊索瘤复发的评估因子有哪些?

  问:脊索瘤复发的评估因子有哪些? 答: 脊索瘤是脊索性起源的恶性肿瘤,通常出现在骶尾部,斜坡或脊柱中。颅底脊索瘤的处理特别具有挑战性,因为它们位于重要的解剖结构附近...

2019-08-27 16:31:34
脊索瘤治疗新方法有哪些?

脊索瘤治疗新方法有哪些?

  问:脊索瘤治疗新方法有哪些? 答: 脊索瘤是一种少见的癌症,发生在颅底和脊柱的骨骼中。脊索瘤占全部骨肿瘤的约3%,占原发性脊柱肿瘤的约20%。它们是骶骨和颈椎较常见的肿...

2019-08-27 15:56:32
脊索瘤好发部位在哪里?

脊索瘤好发部位在哪里?

  问:脊索瘤好发部位在哪里? 答 :脊索瘤是一种少见的癌性肿瘤的,可以在任何地方发生。沿脊柱,从头骨到尾骨发展。脊索瘤缓慢生长,逐渐延伸到周围的骨骼和软组织中。它们经...

2019-08-26 14:47:15
脊索瘤术后能活多久

脊索瘤术后能活多久

  脊索瘤 是一种局部侵袭性肿瘤,起源于胚胎脊索残余。使用监测,流行病学和较终结果数据库进行的基于人群的研究表明,脊索瘤发病率为每1000000人8.4例,中位生存期为7.7年。虽然斜...

2019-08-26 11:48:56