
动静脉畸形(AVM),可以说是较复杂和较危险的脑血管病变,我们将考虑。Spetzler-Martin分级系统较初被认为是一种外科风险评估工具,它为AVM大小、位置和静脉引流模式分配分数,通常用于...

动静脉畸形是什么病?小脑动静脉畸形可以治愈吗?动脉将富氧的血液从心脏输送到大脑,静脉则将耗氧完毕的血液送返肺部和心脏,脑动脉畸形严重影响这一闭环...

动静脉畸形 是绕过毛细血管系统的动脉和静脉之间的异常连接。这种血管异常因在中枢神经系统(通常是大脑AVM)中发生而广为人知,但可以出现在任何位置。尽管许多AVM无症状,但它...

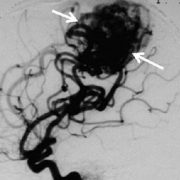
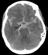
脑动静脉畸形 (AVMs)是一种少见的脑血管病变,其特征是大量异常扩张的动静脉和直接动静脉分流。它们通常在青年期发现,并可伴有头痛、癫痫,或较常见的颅内出血,后者可导致...

动脉瘤 是血管中有破裂危险的脆弱区域。当动脉瘤位于大脑时,我们称之为脑动脉瘤,脑内动脉瘤,或颅内动脉瘤。脑动脉瘤的形成往往需要很长一段时间,在破裂或破裂之前可能不会...

脑动脉瘤 破裂属于疾病吗?中国大约有4000万脑动脉瘤患者,每年大约1%有破裂风险,也就是说每年大概会新增40万脑动脉瘤破裂患者,而破裂出血可能导致脑损伤,甚至有40%的死亡风...

问: 脑动脉瘤破裂 后会发生什么? 答:脑动脉瘤表明血管中的薄弱区域,经常变大并暗示相应血管的膨胀。相关阅读: 脑动脉瘤破裂出血怎么办? saccular aneurysm 囊状动脉瘤 fusiform an...

颅内动脉瘤,又称脑动脉瘤,是一种脑血管疾病,由于大脑动脉或静脉管壁薄弱,导致血管局部扩张或膨胀。后循环(基底动脉、椎动脉和后交通动脉)的动脉瘤有较高的破裂风险。基底...

问:妊娠和产褥期会增加脑动静脉畸形破裂的风险吗? 答:研究表明妊娠和产褥期脑动静脉畸形患者未发现出血风险增加。因此,我们不建议患有颅内AVM的女性避免怀孕。 脑动静脉畸...

问: 脑动静脉畸形 都是在什么情况下破裂的? 答:脑动静脉畸形是先天性的,是畸形的动脉和静脉簇彼此直接相连。由于它是先天性畸形,医生不知道它会多久破裂。 脑动静脉畸形都...