(爱恩希)INC国际-国内中文
(爱恩希)INC国际
联系INC
寻求咨询意见
(爱恩希)INC国际咨询电话400-029-0925

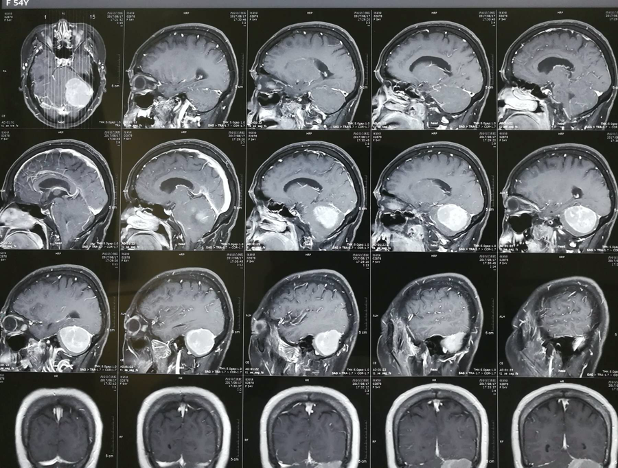
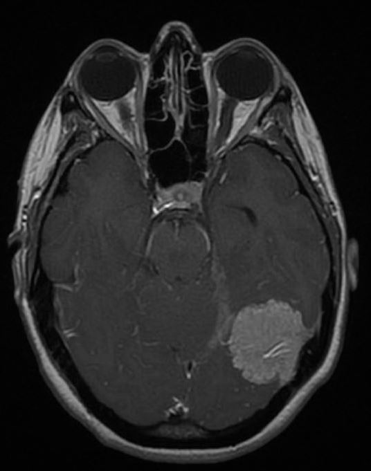
脑膜瘤

INC为您呈现神经外科前沿资讯

INC > 脑膜瘤 >
问:脑膜瘤放疗有用吗?

问:脑膜瘤放疗有用吗?

  脑膜瘤放疗有用吗?虽然完全手术切除是治疗脑膜瘤患者的较终目标,但这并不总是可能的,发病率也是可以接受的。当选择次全切除术来降低发病率,或在较高级别肿瘤复发的情况下...

2021-08-30 14:21:23
问:为什么脑膜瘤手术很成功,但各项指标还是会下降,直到较终心跳停止?

问:为什么脑膜瘤手术很成功,但各项指标还是

  二是医生对自己的手术成功过于自信或存在误判或刻意引导,这种情况临床还是不少见的,明明没有全切的肿瘤说全切,还有的只管肿瘤全切了、也不管病人神经功能是否损伤,有的病...

2021-04-19 11:20:36
脊髓脑膜瘤术后后遗症有哪些?

脊髓脑膜瘤术后后遗症有哪些?

  问:脊髓脑膜瘤术后后遗症有哪些? 答:脊髓脑膜瘤较颅内室的发病率相对少见,约占中枢神经系统脑膜瘤的1.2%。脊髓脑膜瘤一般是硬膜内和髓外的。脊髓的慢性压迫是其主要病理机...

2020-10-03 22:32:39
脑膜瘤是怎么长出来的?脑膜瘤会遗传吗?

脑膜瘤是怎么长出来的?脑膜瘤会遗传吗?

  问:脑膜瘤是怎么长出来的?脑膜瘤会遗传吗? 答:脑膜瘤约占全部原发性脑瘤的30%,是全部颅内肿瘤中较大的亚群。它们可能发生在任何年龄,但较常见的是在中年。尽管人们普遍同...

2020-10-01 21:18:48
脑膜瘤严重吗?脑膜瘤应该如何治疗?

脑膜瘤严重吗?脑膜瘤应该如何治疗?

  脑膜瘤严重吗?脑膜瘤起源于蛛网膜细胞,它们是覆盖大脑和脊髓的薄蜘蛛网状膜内的细胞,是常见的颅脑肿瘤...

2020-09-23 18:09:08
脑膜瘤严重吗?良性脑膜瘤能活多久?

脑膜瘤严重吗?良性脑膜瘤能活多久?

  脑膜瘤严重吗?虽然其多呈良性,但如不加以治疗,脑膜瘤会给脑部施加压力,并导致并发症。良性脑膜瘤能活多久?这取决于患者的具体治疗情况...

2020-09-18 10:14:56
脑膜瘤如何治疗不易复发?

脑膜瘤如何治疗不易复发?

  脑膜瘤 如何治疗不易复发?2016年美国脑肿瘤注册中心(Central Brain Tumor Registry of the United States,CBTRUS)统计,脑膜瘤约占颅内肿瘤的36.6%。根据国际卫生组织(World Health Organization,WHO)...

2020-02-13 20:31:46
镰旁脑膜瘤是病吗?手术难度大吗?

镰旁脑膜瘤是病吗?手术难度大吗?

  镰旁脑膜瘤 是病吗?首先来了解一下脑膜瘤。脑膜瘤是起源于脑膜及脑膜间隙的衍生物,脑膜瘤可以发生在任何有蛛网膜细胞的部位,大多数和硬脑膜相粘连。人群中约每 10 万人...

2020-02-12 21:53:02
问:脑膜瘤三级生存期是多少?

问:脑膜瘤三级生存期是多少?

  问:脑膜瘤三级生存期是多少? 答: 脑膜瘤 由国际卫生组织(WHO)分级计划在形态上分为三类。尽管大多数脑膜瘤是良性或I级的,但某些亚型在治疗后复发的倾向会导致病理过程,从...

2019-12-25 17:04:26
脑膜瘤伽玛刀与质子治疗哪个好?

脑膜瘤伽玛刀与质子治疗哪个好?

  最近一段时间,已经65岁的李先生经常感到头痛,很多时候还感到眼花,以为是自己上了年龄出现的正常状况,家人催他去医院看医生,他却总是拖,直到头痛实在无法忍受了,方才在...

2019-11-12 18:23:18