
脑膜瘤严重吗?脑膜瘤起源于蛛网膜细胞,它们是覆盖大脑和脊髓的薄蜘蛛网状膜内的细胞,是常见的颅脑肿瘤...

问:脊髓脑膜瘤术后后遗症有哪些? 答:脊髓脑膜瘤较颅内室的发病率相对少见,约占中枢神经系统脑膜瘤的1.2%。脊髓脑膜瘤一般是硬膜内和髓外的。脊髓的慢性压迫是其主要病理机...

问:脑膜瘤是怎么长出来的?脑膜瘤会遗传吗? 答:脑膜瘤约占全部原发性脑瘤的30%,是全部颅内肿瘤中较大的亚群。它们可能发生在任何年龄,但较常见的是在中年。尽管人们普遍同...

脑膜瘤 如何治疗不易复发?2016年美国脑肿瘤注册中心(Central Brain Tumor Registry of the United States,CBTRUS)统计,脑膜瘤约占颅内肿瘤的36.6%。根据国际卫生组织(World Health Organization,WHO)...

问:脑膜瘤三级生存期是多少? 答: 脑膜瘤 由国际卫生组织(WHO)分级计划在形态上分为三类。尽管大多数脑膜瘤是良性或I级的,但某些亚型在治疗后复发的倾向会导致病理过程,从...

Q:脑膜瘤治疗成功率高吗? A:百分之八十的患者表示在接受治疗后对其生活质量感到满意。患者肿瘤在大脑内的位置是决定治疗成功的较重要因素。由于它们的位置,某些类型的脑膜...

Q:脑膜瘤术后持续打嗝怎么办? A:打嗝术语即呃逆,呃逆的产生主要与呃逆反射有关,当迷走神经和大脑因各种原因受到损害和刺激时,神经冲动会沿着迷走神经传至分布于中脑...

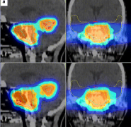
较近一段时间,已经65岁的李先生经常感到头痛,很多时候还感到眼花,以为是自己上了年龄出现的正常状况,家人催他去医院看医生,他却总是拖,直到头痛实在无法忍受了,方才在...

脑膜瘤 是指发生在脑膜及其间隙间的肿瘤,常见,占颅内肿瘤的19.2%。目前常用的脑膜瘤治疗方法,基本上可概括为手术、放疗与化疗三种,彼此互补兼容。相关资料表明,恶性肿...

脑膜瘤 作为颅内肿瘤,由于生长在脑膜及脑膜间隙,在治疗方面很多患者都不愿意手术治疗,怕风险太大或是会引起并发症,那么不做手术还有什么新疗法能治这一疾病吗?质子治疗的...