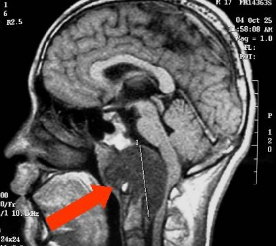
头部脊索瘤手术痛苦吗?脊索瘤起源于脊索组织内的脊索细胞,约 30% 的脊索瘤发生于头部的中心,即颅底区域,也被称为颅内脊索瘤、脑脊索瘤。而头部脊索瘤的治疗一般都是优选手术切除,但是许多人一听到要在大脑做手术,就恐惧,觉得会危险、痛苦。

头部脊索瘤手术痛苦吗?首先,随着医学的不断发展,即使是颅内手术,虽然手术中依然存在着风险,但是风险并不算高,手术成功率是高的。另外,做头部脊索瘤手术时,会对患者进行麻醉,在手术过程中,患者是感受不到疼痛的。
虽然在手术过程中患者不会感受到痛苦,但是患者在手术后还是会感受到痛苦的。手术后的痛苦程度主要是取决于患者选择的是手术方式、创伤大小、手术医生。目前,头部脊索瘤手术切除主要有显微外科手术切除和神经内镜手术切除:
1、显微外科手术:显微外科手术是已经在颅内肿瘤切除上应用了很多年,是成熟、经典的手术。外科医生借助于手术显微镜的放大,使用细致的显微手术器械及缝合材料,对细小的组织进行细致手术。手术显微镜下做手术,组织被放大,不仅能看清手术中肉眼看不清的细小组织,而且还有立体感,因而有利于外科医生精确地解剖、切开和缝合各种组织。也是目前国际上治疗脊索瘤的前沿技术,头部脊索瘤手术,在手术显微镜下,其视野清晰,显露范围广泛,能够近距离观察病变,可以让医生操作精确、细致,大大减轻了手术损伤,减少了并发症,提高了手术疗效。但是显微外科手术属于开颅手术,创伤还是比较大的,患者在术后恢复中,痛苦也会比较明显。
另外,对于头部脊索瘤显微外科手术,可以选择一个更合适的手术入路来进行手术,可以合适减小手术创伤,也利于更大的切除率,同时患者术后痛苦也会小很多。但是,迄今没有一种手术入路适用于全部脊索瘤,一些脊索瘤还需多种手术入路的联合应用。在选择手术入路时应考虑下列因素:肿瘤部位、术者对各种可供选择入路的掌握程度、手术组的经验和配合、颅颈稳定性等。大多数脊索瘤位于硬膜外,少数可损害硬膜,长入蛛网膜下腔。因此,位居中线的脊索瘤可选用中线手术入路,如经口-硬腭入路、经蝶窦入路、扩大额下硬膜外入路、经上颌或经颜面入路等。偏侧生长脊索瘤可用前外侧硬膜外入路、后外侧(经髁)入路等。一个合适的入路是重要的,合适的入路可以减小医生手术中的难度,提高手术成功率,患者预后也会更好。
2、神经内镜手术:神经内镜手术是国际上治疗脊索瘤的优选,早在1806年,Philipp Bozzini就发明了内镜,是近十几年逐渐愈发流行的手术。与显微外科手术规模较大的不同便是,神经内镜手术是属于微创治疗,不需要开颅,可以经鼻入路进行手术。神经内镜手术借助细巧的内镜,可以让景深更近、视角更宽广,不论再偏僻的位置,都让肿瘤无所遁形,在内镜下,脊索瘤手术完全可以在直视下操作,在确定切除率的基础上,又能保护正常组织,减少手术的创伤!由于神经内镜手术一般创伤较小,患者在术后也不会感到太多痛苦。但是神经内镜手术技术由于属于新手术方式,流行时间不长,精通的医生并不多,而且需要两个医生配合,一般医生的神经内镜手术,其手术风险是较高的。
头部脊索瘤手术痛苦吗?头部脊索瘤手术除了选择一个较合适自己的手术,手术医生是更重要的。手术医生才是决定手术成功率、创伤大小的关键。目前国际上,擅长脊索瘤手术的医生要数INC国际神经外科医生集团旗下组织顾问团成员、国际神经外科年轻一代教授Sebastien Froelich教授了,他不仅擅长脊索瘤显微外科手术,可以从多种手术入路来切除脊索瘤,而且对于神经内镜手术也是擅长。其发明内镜手术“筷子手法”,可以一人进行脊索瘤神经内镜手术,不仅手术风险小,还较大的提高了手术效率和切除率,在他细致的手术下,患者的创伤进一步被减小。

12月21日,这位国际水平的神经外科专家、国际神经外科年轻一代的教授Sebastien Froelich教授将来华参加2019中国颅底大会,进行中外神经外科学术交流,届时,还将面向国内脊索瘤、垂体瘤、胶质瘤等患者开放五个面对面咨询名额,国内神经外科患者不出国门便能得到这位海外神经外科教授的咨询意见。
- 文章标题:头部脊索瘤手术痛苦吗?
- 更新时间:2021-03-18 13:51:15
400-029-0925




