颅咽管瘤遗传给子女吗?颅咽管瘤是一种良性的脑肿瘤,约占儿童中枢神经系统肿瘤的3-9%。颅咽管瘤可发生于儿童和成人,在9至14岁时发病率较高。在美国,每年大约有120例年龄在19岁以下的患者被确诊。事实上,超过50%的颅咽管瘤患者年龄在18岁以下。儿童颅咽管瘤这么多,是父母颅咽管瘤遗传给子女吗?
颅咽管瘤遗传给子女吗?
颅咽管瘤遗传给子女吗?医学研究表示,目前还不清楚是什么导致了颅咽管瘤,但它们似乎不是“家族遗传的”,也不是直接从父母那里遗传来的。颅咽管瘤是由于位于脑下垂体附近的Rathke‘sPouch部分的异常过度生长造成的。它通常由钙沉淀和囊泡(或囊囊)混合而成。这种液体的特征是含有蛋白质、脂质(脂肪)和胆固醇,使其具有所谓的“曲轴箱油”结构。
另外颅咽管瘤虽然不是癌症,不会扩散到中枢神经系统或身体的其他部位;然而,颅咽管瘤生长在大脑的不同部位,就会在那里生长会导致激素分泌(脑下垂体受压)或视觉(负责视觉的神经受压)的问题。
怎么及时发现颅咽管瘤?
根据颅咽管瘤的明显症状,可有助于父母发现孩子的颅咽管瘤。颅咽管瘤较常见的症状是视觉改变,较常见的症状是一只眼睛的周边视觉丧失或模糊。如果颅咽管瘤靠近脑下垂体,儿童可能出现激素或内分泌问题。多达一半的儿童甚至会出现明显的人格变化或认知缺陷。较后,由于肿瘤增加和过度的压力在大脑,如恶心,呕吐和头痛可能发生。

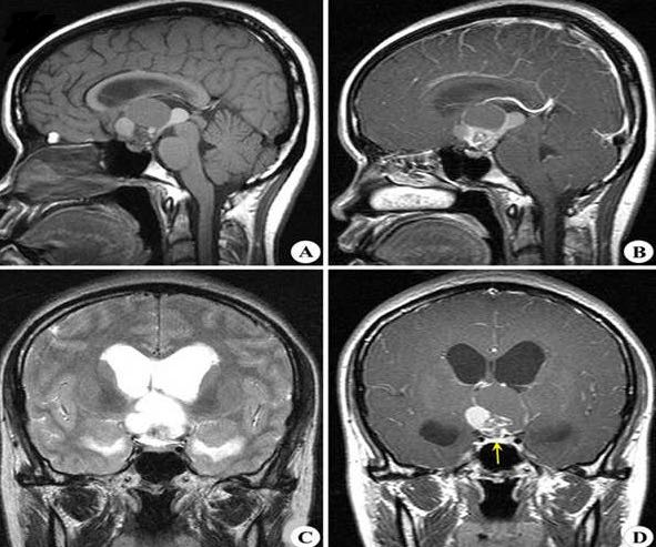
另外,以上提到的症状并不意味着孩子就得了肿瘤,还需要进一步的医学评估来排除脑瘤的可能性。通常情况下,诊断是根据放射学研究做出的,例如磁共振成像(MRI)用钆增强扫描大脑。颅咽管瘤在MRI扫描中有一个不同的表现:一个清晰的肿块,由实部和囊性部分组合而成。
颅咽管瘤怎么治疗好?
颅咽管瘤的治疗一直存在争议。主要采用两种主要的治疗方法:尝试完全切除(全切除)或部分切除(部分切除),然后放射治疗残余病变。神经外科技术的进步使更多病例完全切除成为可能,但放射治疗技术的进步也使这一选择更加合适和顺利。目前对于更佳治疗方案还没有达成一致意见。不幸的是,即使在治疗之后,许多人仍会出现内分泌、血管、神经和/或视觉方面的并发症。心理、社会和情感问题也很常见。全垂体功能低下(当垂体不产生大部分或全部激素时)和下丘脑功能障碍普遍存在,用激素治疗来代替各种垂体和下丘脑激素缺陷。早期研究表明,催产素(一种不太为人所了解的激素,通常不会被取代)可能对某些有某些下丘脑功能障碍症状的人有益,如肥胖和行为问题;然而,需要对更大的人群进行进一步的研究来确定它在治疗中的作用。
目前对于颅咽管瘤的切除,常用的是显微外科手术和神经内镜手术。显微外科手术是神经外科经典的手术,使用时间早,技术也成熟。在国际颅底肿瘤手术教授巴特朗菲教授、国际神经外科教授Sebastien Froelich教授、国际神经内镜联合会主席Henry W.S. Schroeder教授的显微外科手术下,能在尽量避免损伤大脑重要神经组织的情况下,对颅咽管瘤实施高切除率手术,甚至全切。而神经内镜手术创伤更小,视野更清晰,显露范围更广泛,而且可以从鼻入路,避免了开颅手术。是神经外科微创时代较具代表性的手术,神经外科发展史的一座里程碑。
神经内镜手术虽然很前沿,但是对医生仍然是一个不小的考验,因为需要两个医生配合,特别考验默契,特别是像颅咽管瘤这种在大脑的手术,不管两个医生技巧再高超,一旦配合出现了问题,就可能导致较大的后果。INC国际神经外科医生集团旗下组织顾问团成员Henry W.S. Schroeder教授和Sebastien Froelich教授是擅长神经内镜手术的,Henry W.S. Schroeder教授是国际神经内镜手术的高手,他拥有20余年的神经外科疾病咨询经验,经其神经内镜手术治疗的垂体瘤、脑膜瘤病例切除率高、治愈率高、复发率较低。而国际神经外科年轻一代教授Sebastien Froelich教授,其发明的内镜手术“筷子手法”让原本需要两人操作的仪器,现在只需要一个人来操作,的解决了手术过程中存在的配合问题,让手术风险更低,在兼顾较高的切除率同时,又可以很好的避免神经损伤。
以上提及的德国巴特朗菲教授、德国Henry W.S. Schroeder教授和法国Sebastien Froelich教授都是INC国际神经外科医生集团旗下组织国际神经外科顾问团成员,对于国内想寻求以上教授亲自咨询的患者,也是方便的,不出国门即可通过INC中国上海代表处进行国际教授远程咨询,从而方便快捷地得到他们的咨询意见。
参考文献:Harsh GR, Recht LD & Marcus KJ. Craniopharyngioma. UpToDate. Waltham, MA: UpToDate; October, 2017; http://www.uptodate.com/contents/craniopharyngioma.
- 文章标题:颅咽管瘤遗传给子女吗?
- 更新时间:2020-01-31 16:40:16
400-029-0925




