
INC国际神经外科医生集团旗下世界神经外科顾问团(WANG)成员,世界神经外科联合会(WFNS)颅底手术委员会前主席Sebastien Froelich教授(塞巴斯蒂安福洛里希,福教授)等发表研究《DNA methylat...

嵴索瘤术后一定会复发吗? 在内镜技术普及前的多项早期研究中,全切除(GTR)已被证实与改善预后和降低复发相关。相关研究显示,全切除或近全切除患者的5年无复发生存率显着高于部分切...

内镜颅底外科(ESBS)目前已广泛应用于各类颅底病变的治疗。然而,由于该类疾病相对罕见、手术操作难度高且学习曲线漫长等挑战,以INC国际神经外科医生集团旗下组织世界神经外科顾问团...

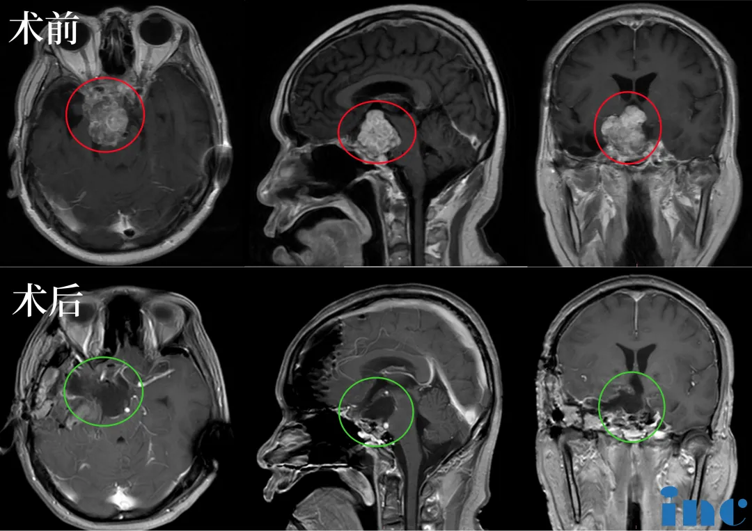
这很有可能是一个斜坡嵴索瘤,现在有332633mm这么大,已经侵袭左侧海绵窦,导致垂体移位、垂体柄歪斜,但手术风险很大,家属要慎重考虑。 几月前,小海的父母被医生告知了这一噩耗。尽管...

INC国际神经外科医生集团旗下组织世界神经外科顾问团(WANG)成员,Sebastien Froelich教授(塞巴斯蒂安福洛里希,福教授)发表研究《Comparative analysis of histopathological parameters,genome-wide copy number...

脊索瘤是罕见的骨恶性肿瘤,复发风险高,复发患者的长期生存情况难以预料。脊索瘤是起源于头尾轴沿线、从斜坡到骶骨的脊索残余组织。尤其颅底脊索瘤的诊疗具有特殊挑战性,需要多学科...

INC国际神经外科医生集团旗下组织世界神经外科顾问团(WANG)成员Takeshi kawase教授等发表研究《Transoral vs.endoscopic endonasal approach for clival/upper cervical chordoma》,以下是研究简述。 摘要 kawase教授...

面对易复发的脑瘤该怎么办? 我与脊索瘤的较量,已经持续了25年。起初,我是因为复视检查发现这个并不大的肿瘤,幸运的是,我在肿瘤还小的时候,做了第一次手术。说实话,我一直担心这...

对于脊索瘤,有很多关于发病机制的研究和了解方面的进展。在过去的10-15年里,我们的主要发现是,没有单一类型的脊索瘤,所有的脊索瘤在特定的患者中的表现都是不同的。我们有多种生物...

我感觉可以只用手术一直做到老,虽然会复发,但长得慢,一年才涨个1cm。 做过3次鼻内镜手术,3次开颅手术,2次放疗。质子也做过,还是隔一段时间就复发,已经想放弃了 天真的以为真的不...