脊索瘤(Chordomas,CHs)是一类组织病理学表现为良性但临床行为具有侵袭性、并具备侵袭和转移潜能的肿瘤。脊索瘤的治疗极具挑战性,目前仍存在诸多问题...
内镜颅底外科(ESBS)目前已广泛应用于各类颅底病变的治疗。然而,由于该类疾病相对罕见、手术操作难度高且学习曲线漫长等挑战,以INC国际神经外科医...
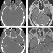
这很有可能是一个斜坡嵴索瘤,现在有332633mm这么大,已经侵袭左侧海绵窦,导致垂体移位、垂体柄歪斜,但手术风险很大,家属要慎重考虑。 几月前,小...
脊索瘤是罕见的骨恶性肿瘤,复发风险高,复发患者的长期生存情况难以预料。脊索瘤是起源于头尾轴沿线、从斜坡到骶骨的脊索残余组织。尤其颅底脊索...
INC国际神经外科医生集团旗下组织世界神经外科顾问团(WANG)成员Takeshi kawase教授等发表研究《Transoral vs.endoscopic endonasal approach for clival/upper cervical chordo...
脊索瘤高治愈案例:距离德国手术回来转眼已将近1年,如今的我基本没什么症状,回归了正常的上班生活。复查时医生都说我原来的脊索瘤位置太深、风险...
【脊索瘤手术案例】当脊索瘤降临,当复发成为魔咒,请你我相信,这国际上还有人与你一起!治愈之路或许道阻且长,但医生、病人都正在团结一心,为...
脊索瘤是恶性肿瘤 ,其缓慢增长并转移到身体的其他器官。肿瘤起源于胎儿发育早期的脊索。在55岁以上的人群中,这种现象更为明显,尽管年轻人可能会...
颅底 脊索瘤 是少见的,主要是硬膜外,中线原发性骨肿瘤,起源于脊索残留。虽然少见,但原发性硬膜内脊索瘤也有报道。这些病变比较常见的部位是骶...
海绵窦及其周围的 脑肿瘤 病变是神经外科技术难度较大的,该区域神经、血管交错解剖高度复杂,涉及多支颅神经、重要脑动脉、较大静脉丛和脑干。1...
脊索瘤 是一种少见的癌症,发生在颅底和脊柱的骨骼中。脊索瘤约占全部骨肿瘤的3%,约占原发性脊柱肿瘤的20%。脊索瘤通常生长缓慢,起初通常没有症...
脊索瘤 是一种少见的肿瘤,生长在颅骨和脊柱的骨骼中。这些肿瘤来自脊索的残余部分,脊索是一种灵活的杆状结构,为发育中的胚胎提供支持。在胎儿发...
脊索瘤手术后能活多久?脊索瘤是一种少见的肿瘤,起源于脊索的残余部分,脊索是胚胎发育过程中诱导和协调脊柱形成的结构。然而,在子宫内10周时,...
脊索瘤是一种少见的癌症,占全部骨恶性肿瘤的1-4%。脊索瘤被认为是由脊索的残余变形引起的,它有一种神秘的偏好,出现在中轴骨骼上,较常见于骶骨和...
一名37岁的妇女因颈部疼痛和下颅神经功能障碍(声音嘶哑和吞咽困难)被咨询至我科。她先前被诊断出患有(CCJ) 颅颈交界处脊索瘤 ,并且先前在另一家...
法国一位37岁的女士因头痛、视力下降严重,到医院检查,被诊断出颅颈交界处(CCJ) 脊索瘤 。随后在一家比较医院治疗,该院采取了乙状窦后入路手术切除...
INC 国际神经内镜技术的先行者:不开颅,脊索瘤手术从鼻子里做一名30多岁法国青年得了发病率百万分之一的斜坡脊索瘤,不愿开颅,他接受的是当前医学...
发病率只有百万分之一的 脊索瘤 一般在颅底中心线前方生长,具有分化低级别、生长缓慢、局部浸润和局部侵袭性的特点。由于解剖结构复杂,诊断和手...
脊索瘤 是源于脊索残余的少见肿瘤,总发病率为8.4/1000万。颅底脊索瘤患者诊断后的平均生存期为28.8个月。颅底脊索瘤以局部侵袭、转移、手术植入和高复...
头部 脊索瘤手术 痛苦吗?脊索瘤起源于脊索组织内的脊索细胞,约 30% 的脊索瘤发生于头部的中心,即颅底区域,也被称为颅内脊索瘤、脑脊索瘤。而头部...
9月12日,以荣耀神经外科为主题,为期4天的国际神经外科联合会WFNS 2019年度特别大会在首都国家会议中心圆满落幕。 这是一场汇聚神经外科大牛的国际水...
颅内脊索瘤如何治疗?颅内脊索瘤就是指发生在脑内的颅内脊索瘤,是颅内少见的的一种损害性肿瘤,深在于颅底部位,也是难以治疗的脑肿瘤之一。185...
脊索瘤是一种会生长在脊柱或者是颅内的少见肿瘤,每100万人中大约只有1人患病。虽说大部分的脊索瘤被认为是良性的,通常生长速度也缓慢。但脊索瘤就...
通常,脊索瘤的治疗方式取决于脊索瘤肿块的大小、位置以及是否侵入神经或其他组织。目前医生常用的治疗方式包括手术,放射治疗(包括质子治疗,立...
大脑颅底部,包括由前向后的颅前窝、颅中窝和颅后窝,呈由高到底的阶梯状排,有着凹凸不平、有大小不同的骨孔与裂隙容纳颅神经和血管,可谓是迷宫...
根据美国监测、流行病学和较终结果(SEER)数据库的 脊索瘤 患者预后资料表明:脊索瘤患者预后明显较差,脊索瘤患者中位总生存期为 12.6 年,10 年生存...
脊索瘤是相对少见、生长缓慢的原发性恶性骨肿瘤,占中轴原发性恶性骨肿瘤的17.5 %。由于脊索瘤的惰性和低度恶性,通常在晚期诊断,因此,通常会导致...
这是李先生在德国治疗鼻咽癌后的3年,让人意外的是,年至花甲的他并没有因为癌症而身体虚弱、瘦骨嶙峋。李先生的主刀医生INC国际神经外科顾问团巴特...
脊索瘤是一种恶性病变,发病率为0.08例/100,000人/年,占全部原发性恶性骨肿瘤的1-4%,占全部颅内肿瘤的不到0.2%。 它们使人想起骨骼内产生的胚胎脊索,...
INC国际神经外科顾问团之 国际神经外科联合会WFNS颅底手术委员会主席 法国Sebastien Froelich教授手术纪实 噫吁嚱!危乎难哉!脊索瘤手术之难,难在何处?一...
相信在生活中,都基本出现过头痛、头晕、耳鸣这些生活中比较常见的症状,但是年仅22岁的95后小姑娘雯雯(化名)却因头痛、头晕、耳鸣被查出桥前斜坡脊...
脊索瘤是起源于胚胎发育时残留的脊索组织的一种先天性低恶性肿瘤,多发生于骶尾部及颅底中线部位,是斜坡区域,好发于30~50岁人群,其发病率低,约...
脊索瘤的治疗选择包括手术和或放射治疗(RT)、平衡发病率、生活质量和预期疾病控制,复发后是否接受手术应视患者情况而定...
“感谢给我这个机会来演讲,并交流我们在脊索瘤方面的经验,很高兴来到中国进行讨论。在我们医院,我们有很多很多年的颅底脊索瘤治疗的经验;它始...
一、国际经鼻神经内镜技术的先行者:Sebastien Froelich教授 Sebastien Froelich教授是国际神经外科年轻一代杰出、具天赋的教授,是声明享誉国际的神经内镜手术...
脊索瘤 是怎么回事?脊索瘤是胚胎残留的脊索组织引起的肿瘤。 尽管在病理上是良性的,但它有很强的浸润和复发趋势,并且在临床上被视为恶性的。 性...
INC2018神经外科顾问团年会圆满落幕。国际神经外联合会(WFNS)颅底手术委员会主席, 欧洲颅底学会执行委员会成员Sebastien Froelich教授在会上进行了《颅底和...
颅底脊索瘤是一种少见的肿瘤,以其临床侵袭性而闻名,尽管其组织学特征相对良性。目前的治疗标准包括一次出现时的较大手术切除,然后放疗,较好是...
脊索瘤 是一种少见的肿瘤,在美国和欧洲每年每百万人中约有一例发生(分别约为每年300例和450例),在中国14亿人口中,每年大概为1400例新增患者。脊索瘤...
斜坡脊索瘤可以微创手术吗?脊索瘤是局部侵袭性肿瘤,起源于脊索沿脊椎骨轴的胚胎残余。它们占全部颅内肿瘤的不到1%。根据它们的位置,它们可以分...
引言:脑子里长了瘤,比如脑膜瘤、脊索瘤、颅咽管瘤、垂体瘤等颅底肿瘤疾病,遇见了这些头等大事儿,手术通常是一解决之道。经常会有患者问:我的...
斜坡脊索瘤不建议手术 颅内脊索瘤需手术治疗,脑脊索瘤多见于颅底斜坡、蝶枕软骨连合处和蝶鞍附近的岩骨。肿瘤发生于斜坡,可向蝶骨内延伸4周,造...
手术治疗 对于任何部位的脊索瘤,手术质量都是影响患者预后的关键因素(IV级证据,C级)。 原则上术前明确病理学诊断。但是对于颅底肿瘤,如果怀疑为脊...
斜坡占位脊索瘤手术风险大吗? 斜坡脊索瘤的手术风险相对较小。对于斜坡脊索瘤,单从手术角度来说,成功率在80%左右,因为只要做手术,大部分脊索瘤...
斜坡脊索瘤手术有风险吗? 对于斜坡脊索瘤,单从手术角度来说,成功率在80%左右,因为只要做手术,大部分脊索瘤都是可以切除的。然而在实际临床中,...
斜坡脊索瘤能活几年? 斜坡脊索瘤的平均寿命约为6.3年。如果没有任何医疗干预,患者可能会在2年内死亡。因为斜坡脊索瘤恶性程度比较高,主要危害是...
骶骨脊索瘤多大毫米才算大? 骶骨脊索瘤的大小评判标准可能因医学和临床实践而有所不同。一般情况下,关于骶骨脊索瘤大小的评估主要基于其直径或大...
脊索瘤手术后饮食方面注意哪些?脊索瘤手术后的饮食方面需要特别注意,以下是一些建议: 1. 增加蛋白质摄入:蛋白质对于伤口修复和组织恢复重要。在...
脊索瘤手术后遗症?脊索瘤手术后可能会出现以下一些常见的遗症,但严重程度因个体差异和手术情况而异。以下是一些可能的遗症: 1. 疼痛:手术可能导...
脊索瘤手术后遗症是什么?脊索瘤手术后遗症是指在脊索瘤手术后可能出现的一系列身体或神经功能异常。这些后遗症的类型和严重程度因患者个体差异、...
骶骨脊索瘤手术后复发太快了?骶骨脊索瘤是一种少见的肿瘤,通常位于骶骨区域。对于骶骨脊索瘤,手术是主要的治疗方法之一。然而,有时候在手术后...
脊索瘤多大毫米才能做手术?脊索瘤手术的可行性与肿瘤的大小有的关系,但并非仅仅取决于肿瘤的尺寸。以下是一般情况下对脊索瘤手术大小的参考:...
脊索瘤手术后可能会出现一些潜在的残留问题或并发症,这些问题可能对患者的健康和生活质量产生影响。以下是一些可能的脊索瘤手术后遗症危害: 1....
脊索瘤手术后遗症有哪些?脊索瘤手术后可能会出现多种后遗症,具体表现因手术方法、患者个体差异以及脊索瘤的类型和位置等因素而有所不同。以下是...