脊索瘤是一种少见的肿瘤,生长在颅骨和脊柱的骨骼中。这些肿瘤来自脊索的残余部分,脊索是一种灵活的杆状结构,为发育中的胚胎提供支持。在胎儿发育期间,脊索被脊柱的骨头所取代。脊索细胞存在于脊柱内,可引起脊索瘤。脊索瘤是一种生长缓慢的肿瘤,它会损害周围的骨骼,并较终扩展到周围的软组织。有时脊索瘤通过血流传播(转移)到其他器官,如肺、淋巴结、肝脏或其他骨骼。虽然脊索瘤可以在生命中的任何时候发生,但它常见于老年人。与脊索瘤相关的症状取决于肿瘤的大小和位置。几乎全部的脊索瘤病例都是随机发生的,没有明显的原因。在较其少见的情况下,由于某些遗传风险因素(家族性脊索瘤),脊索瘤可能在同一家族的多个成员中发生。

脊索瘤的症状取决于肿瘤的大小和位置。随着肿瘤的生长,它可能压迫大脑或脊髓的一部分,从而导致特定位置的症状。在颅骨底部发展的脊索瘤可能导致复视(复视),头痛或面部疼痛。如果颅神经受到影响,可能会出现其他症状,例如吞咽困难或眼球运动异常。如果脊索瘤大到足以阻塞脑脊液在脑中的流动,那么积液会增加脑中的压力,导致头痛,恶心和呕吐。脊髓中形成的脊索瘤可导致背部,手臂或腿部疼痛,无力或麻木。如果脊索瘤位于尾骨中,则可能会影响膀胱或肠的控制。
脊索瘤能完全治愈吗?脊索瘤手术策略解读
脊索瘤通常通过外科手术切除肿瘤进行治疗,然后进行放射治疗以降低肿瘤复发的风险。2脊索瘤复发很常见,可能需要其他治疗。
根据肿瘤的大小和位置,颅底脊索瘤患者可能是微创颅底手术的候选人。该手术包括使用不同工具和通过小孔(在这种情况下为鼻腔通道)的内窥镜在内窥镜下切除肿瘤。由于肿瘤是通过患者的鼻子去除的,因此这种类型的手术不需要钻入头骨或进行面部或头皮切口。
脊柱脊索瘤患者通常会接受复杂的脊柱手术,以尽可能多地切除肿瘤。治疗的主要目标不仅是通过解决神经系统症状和保留认知功能来提高患者的长期生存率,而且还可以提高患者的生活质量。
脊索瘤手术质量是预后的关键因素
对于任何部位的脊索瘤,手术质量都是影响患者预后的关键因素(IV级证据,C级)。
原则上术前明确病理学诊断。但是对于颅底肿瘤,如果怀疑为脊索瘤、并且肿瘤位置难以到达或存在播散种植时,可以不做术前活检(V级证据,C级)。
对于高度怀疑为脊索瘤、需要手术的患者,均未进行活检,全部直接进行手术治疗。研究人员认为,颅底中线部位的脊索瘤多可利用神经内镜经过鼻腔或口腔手术治疗,并且随着新技术的开展和新设备的引入其切除程度不断提高,症状缓解也大多较为明显;对于不能一次性切除或者复发的肿瘤也往往可以多次经鼻手术或分期联合显微镜开颅手术进行治疗。此外,我国脊索瘤播散相关报道鲜见。
如果肿瘤全切除困难,则手术的目的为解除肿瘤对脑干和视路的压迫,缩小肿瘤体积,为提高后续放疗的疗效奠定基础(V级证据,A级)。
在美国癌症联合委员会/国际抗癌联盟(American Joint Committee onCancer/Union forInternational Cancer Control,AJCC/UICC)对残留肿瘤分级的基础上,CF(脊索瘤基金会)共识中提出了脊索瘤切除边缘的三级标准:
R0,显微镜下见≥1 mm的瘤周组织内无肿瘤;
Rl,仅显微镜下可见瘤周有肿瘤残留,范围<1 mm,但肉眼观察无肿瘤残留表现;
R2,肉眼可见术区内肿瘤成块残留或散在残留。
对于颅底脊索瘤,达到Ro级切除其难度很大。如达到R0级切除,预期5年没有复发生存率可>50%(IV级证据,B级)。
由于现有资料均为回顾性研究,纳入标准等资料均质性欠佳,不同文献报道颅底脊索瘤的生存率差异较大。一项2011年的Meta分析纳入了560例颅内脊索瘤,其5年和10年生存率分别为63%和16%。近年来随着颅底内镜技术的成熟和辅助设备的发展,10年治愈率已经高达50%左右,如肿瘤被全切除,则患者10年生存率更高。
CF共识在颅底外科经验丰富的咨询中心、由多学科构成的团队在显微镜或神经内镜下采用中线入路或外方人路手术治疗颅底脊索瘤(V级证据,A级)。
中线入路包括神经内镜经鼻和经口入路,侧方入路包括各种开颅手术入路。中线入路适合用于多数中线部位脊索瘤和部分向侧方生长的脊索瘤;外侧入路(例如经岩骨入路、远外侧入路)则适合用于明显向外侧生长的脊索瘤。研究人员认为,选择手术入路较重要的考虑因素应为肿瘤部位,是在应用神经内镜切除颅底脊索瘤时,不同的斜坡位置对于全切除率的影响其差异具有统计学意义。
CF共识指出:对于肿瘤主体位于硬膜外的患者,如果手术仅能起到神经减压的作用时,是否采用无内镜辅助的标准硬膜下入路(如翼点和乙状窦后入路)仍有争议(V级证据,C级)。
术中使用微型血管超声、神经导航和神经监测等可提高手术效率和顺利性。CF共识和中国颅底内镜专家共识均建议进行脑神经监测(V级证据,A级)。由于钛重建可能影响放疗效果,术后是否采用钛金属进行颅骨重建要权衡利弊(V级证据,C级)。
此外如采用钛板等金属材料进行颅底重建,在肿瘤复发后可能会使切除更加困难,故内镜下中线人路切除颅底脊索瘤后一般采用自体材料和(或)可吸收材料进行重建。NCCN建议对于可切除的颅底脊索瘤采用瘤内切除技术。对术后早期复查发现的、手术较容易到达病变部位的残留肿瘤,是否直接再次进行手术尚未能达成共识;NCCN指南亦未明确,而是建议当切缘阳性,并且瘤腔外有较大的残留肿瘤时,可以进行放射治疗,必要时可以考虑再次手术。对于此类情况一般建议患者l-3个月后再次进行手术治疗,而不直接选择放疗。其理由是分期手术往往可以提高全切除率和切除程度。而放疗是否影响肿瘤切除尚不明确。
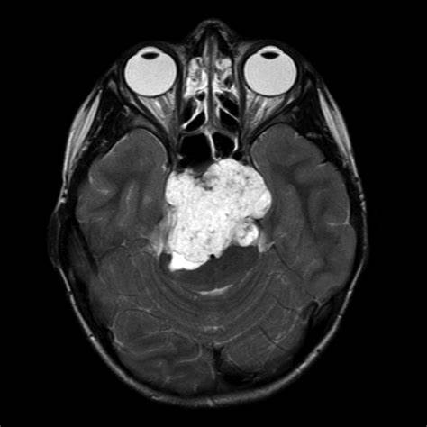
对于脑脊索瘤显微外科手术,国际颅底肿瘤手术教授巴特朗菲教授是擅长的,巴特朗菲教授在术中核磁、神经导航等高复杂设备的辅助下,其脑脊索瘤平均切除率达到了90%以上。在国内,一位95后小姑娘雯雯(化名)身患桥前斜坡脊索瘤,斜坡位置的脊索瘤手术难度较大,难以切除干净,较易复发。雯雯在国内一次手术后仍然还有很大一部分残留,效果不理想,而国内医生告知二次手术风险太大,建议保守治疗。后经过INC的联系,找到了巴特朗菲教授,巴特朗菲教授为雯雯实施了从枕下乙状窦后入路对脑干实施广泛解压切除术,手术很成功,手术切除率达到了95%以上。

雯雯脊索瘤影像图
巴特朗菲教授是INC国际神经外科医生集团旗下顾问团成员,与INC共同致力于国际神经外科的提高、发展。另外国内患者如想寻求巴特朗菲教授及其所在医院的国际前沿治疗,可通过INC国际神经外科医生集团获得国际远程咨询及出国治疗的相关帮助。
INC国际神经外科医生集团:一些脊索瘤,特别是那些大型且难以完全切除的脊索瘤,可能难以治疗。在大多数情况下,完全切除肿瘤再进行放射治疗可提供较佳的长期结果。脊索瘤患者通常会发生肿瘤复发,因此将继续对患者进行监测并根据需要进行其他手术或放射治疗。
- 文章标题:脊索瘤能完全治愈吗?脊索瘤手术策略解读
- 更新时间:2020-06-03 11:00:19
400-029-0925




