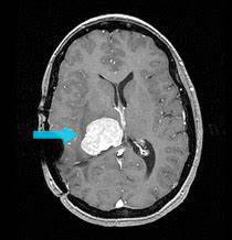
脑室内脑膜瘤相对少见,占全部脑膜瘤的1%~2%。脑室内脑膜瘤的一例记录可能是1854年由Shaw提出的。他在侧脑室三角区发现了一个囊状的纤维性肿瘤。1881年,麦克道尔进行了左三角肿瘤手术。1938年,Cushing和Eisenhardt一次描述了一例位于三脑室的脑膜瘤。从那时起,在文献中有许多关于脑室内脑膜瘤病例的报告,讨论了在处理这些可怕的手术损伤时可能遇到的问题和困难。迄今为止,大约有600例脑膜瘤被报告。其中约80%位于侧脑室,15%位于三脑室,5%位于四脑室。

与大多数其他脑膜瘤一样,脑室内脑膜瘤也以女性为主。这些脑膜瘤有时被认为是神经纤维瘤病2(NF2)的一部分,也与多发性脑膜瘤有关。患者可能没有任何明显的神经症状,即使肿瘤已经达到较大的尺寸。由于生长方式的性质,有些肿瘤可能是偶然发现的。在这种情况下,考虑到生长缓慢和手术中可能遇到的困难,保守的观察可能是一个可行的治疗选择。肿瘤的高血供很少与肿瘤内出血和急性症状有关。
脑室内脑膜瘤症状有哪些?
一般来说,这些患者通常以长期的钝性和全身性头痛为首发症状,随着肿瘤的增大,头痛的强度增加。头痛的持续时间可能长达10至15年。随着肿瘤的生长,伴以呕吐形式的颅内压升高的附加症状和与视神经乳头水肿相关的视觉症状变得突出。虽然在本系列中未见,但在小型侧脑室脑膜瘤病例中观察到与胶质囊肿相关的偶发性严重头痛症状。视野缺陷是比较常见的。
侧脑室脑膜瘤的发病相对少见。以局灶性运动或全身性癫痫为主要症状的病例有3例(6%)。5例(10%)发生感觉性癫痫。经皮质手术的病人术后癫痫发作占29%到70%。在我们的研究中,有11例(22%)患者术后癫痫发作。顶叶和颞叶的体征已被记录在文献中,在我们的病例中占8%。即使在大型侧脑室脑膜瘤中,术前定位体征如偏瘫、失语症、失认症和失读症也很少出现。
脑室内脑膜瘤的手术治疗:富有挑战性的外科手术
脑室内脑膜瘤的手术挑战了神经外科医生的手术技巧,是因为更深的肿瘤位置以及邻近于脑室重要结构而存在较大的挑战。手术经验和完全的解剖知识是至关重要的切除这些病变。虽然成功的手术切除是与正常生活相适应的,但在计划方法或实施手术中的任何错误都可能导致神经功能缺损甚至死亡。在尝试手术之前,需要对三角区的解剖、动脉和静脉模式以及与视觉通路和大脑半球优势的关系进行评估。当计划手术时,手术需针对根治性或全肿瘤切除,因为不完全或部分肿瘤切除可能导致肿瘤出血相关问题。脑室内脑膜瘤手术计划的相关问题包括评估肿瘤的大小、一致性、血管分布、供血血管的位置和生长方向。决定手术成功的基本原则包括:尽早获得血液供应,在切除大量肿瘤的同时尽量减少对大脑的牵拉,以及了解周围解剖结构的功能。在手术早期,通过半脑间入路和暴露肿瘤内侧部分来控制供血血管似乎是一种合理的手术选择。
脑室内脑膜瘤的手术操作:通过脑室内脑膜瘤的位置进行说明
1.侧脑室内脑膜瘤
不同方法治疗侧脑室脑膜瘤,其中经顶上回入路,经颞中回入路和经胼胝体入路的方法是的。
广泛的文献结果表示,258例侧脑室内脑膜瘤患者中,192例(74.4%)的患者采用了顶枕开颅手术,32例(12.4%)的患者采用了颞中入路的方法,12例(4.6%)的患者采用了经胼胝体入路的方法。
2.三脑室内脑膜瘤
三脑室脑膜瘤是全部类型的脑膜瘤中较少见的。经额脑室入路对三脑室前部病变同侧脑室扩大的患者较容易进行。本次回顾性研究中并没有三脑室脑膜瘤病例。
3.四脑室脑膜瘤
四脑室脑膜瘤明确定义为脉络丛而产生和存在于脑室腔内的脑膜瘤。在Anil Nanda医生的经验中,他们观察到经膜髓帆入路,对病变和四脑室底界面的早期暴露能够有利于肿瘤顺利切除。
脑膜瘤手术切除程度是决定术后复发率的重要因素
20世纪中期以前,对于脑膜瘤生物学特征及影响其复发的许多因素,全国际还未有足够了解及统一认识。此后经过许多相关研究验证,大水平的顺利切除脑膜瘤可延长无进展生存期且不增加并发症率,确定了现在国际通行的颅内脑膜瘤手术切除程度Simpson分级系统。

现国际通行的Simpson分级评估脑膜瘤复发的关系
如何提高脑膜瘤切除率?
即使是属于恶性脑膜瘤,在科学合理的治疗下,患者也是会有更长的生存期。目前对于脑膜瘤手术来是说,随着医疗水平的不断提高,各种辅助技术已经大大提高了外科医生精确定位肿瘤的能力,明确了肿瘤的边界,避免了重要的大脑区域的损伤。
除了国际上各种前沿的医疗技术,好的手术医生才是较关键的。在国际上,在脑膜瘤高切除手术上,INC国际神经外科顾问团之德国巴特朗菲教授(WFNS教育委员会主席)、法国Sebastien Froelich教授(WFNS颅底手术委员会主席)、美国William T.Couldwell教授(国际神经外科学院院长)是做的好的,在国际神经外科也。他们均在神经外科从医几十年,有着丰富的经验,而且都是从国际一流的医学院博士毕业,其所在的医院也是国际前沿的医院。
国际一流的设备技术加上国际神经外科手术教授,即使是5cm的脑膜瘤,仍然是会得到患者理想的结果的。INC国际神经外科医生集团作为专注于神经外科领域的专家学术交流的医生集团,旗下国际神经外科顾问团拥有10多位像德国巴特朗菲教授、法国Sebastien Froelich教授、美国William T.Couldwell教授这样的国际神经外科不同细分领域的国际专家,除致力于国内外神经外科学术、技术交流之外,也将为国内脑膜瘤、胶质瘤、听神经瘤、脑海绵状血管瘤等患者进行远程咨询,提供关于其病情的国际前沿咨询策略与手术方案,且帮助患者安排到相关教授所在的国外医院接受前沿治疗,即便是在当前疫情期间,国内患者也可足不出户,较快48小时内获得INC国际教授的咨询意见。
- 文章标题:脑室内脑膜瘤好治吗?富有挑战的外科手术如何化险为夷
- 更新时间:2020-04-02 18:20:30
400-029-0925




