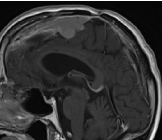
嗅沟脑膜瘤是不是恶性?手术难度大吗?嗅沟脑膜瘤是一种起源于嗅沟区域脑膜的肿瘤,嗅沟位于前颅窝底,是连接大脑和面部的重要区域。 大多数情况下,...
恶性脑膜瘤会颅内转移吗?转移途径是什么?恶性脑膜瘤,通常指的是间变性脑膜瘤,这类肿瘤具有侵袭性生长的特性,相比于良性的脑膜瘤,它们更易局部...
良性脑膜瘤与恶性脑膜瘤的区别?怎么做鉴别诊断?脑膜瘤是一种复杂的脑部肿瘤,起源于脑膜组织。根据肿瘤的生物学行为,脑膜瘤可分为良性脑膜瘤和恶...
恶性脑膜瘤是不是癌症?手术后还会复发吗?恶性脑膜瘤是癌症的一种。在医学上,肿瘤被分为良性肿瘤和恶性肿瘤两大类,而恶性肿瘤通常就是指癌症。恶...
恶性脑膜瘤发展有多快?全切后能活几年?恶性脑膜瘤,也称为间变性脑膜瘤或高级别脑膜瘤,是一类生长在大脑或脊髓表面脑膜上的侵袭性肿瘤。它们的生...
很多脑膜瘤患者在接受了脑肿瘤手术切除后,都渴望恢复到正常生活,把这段经历抛诸脑后。但是,你的神经外科医生会通知你,你需要回来做定期检查。...
脑膜瘤 是常见的原发性中枢神经系统(CNS)肿瘤。脑膜瘤根据其特征分为三级。每个级别包括不同的脑膜瘤亚型。恶性脑膜瘤是指三级间变性脑膜瘤是恶性的...
脑膜瘤 是由覆盖大脑和脊髓的膜(脑膜)发展而来的脑瘤。它们是成人较常见的原发性脑瘤。大多数脑膜瘤(85- 90%)属于良性肿瘤,其余10- 15%属于非典型或恶性...
问:脑膜瘤手术之前都检查什么?脑膜瘤怎么判断是良性还是恶性 答: 脑膜瘤 通常是在大脑表面形成的缓慢生长的肿瘤。如果它生长并压在大脑或脊髓上...
恶性脑膜瘤是指具有某些良性脑膜瘤的特点,逐渐发生恶性变化,呈恶性肿瘤的特点。恶性脑膜瘤的发生率占颅内脑膜瘤的0.9%~10.6%,平均为2.8%。 恶性脑...
Verotoxin 治疗恶性脑膜瘤 (The Treatment of Malignant Meningioma with Verotoxin) 英文摘要: Malignant meningiomas (MMs ) are aggressive intracranial neoplasms with a 75% 5 - year recurre...
对于脑膜瘤疾病很多的人们不太了解。脑瘤一般是有良性和恶性之分。那么脑膜瘤是良性还是恶性?我们大家一起来了解下二者的区别吧。 脑膜瘤是良性脑...
脑膜瘤通常被认为是良性肿瘤。事实上,恶性脑膜瘤仅占全部病例的6~10%。恶性转化和转移是少见的。虽然颅内脑膜瘤有转移的报道,但关于椎管内脑膜瘤...
脑膜瘤一般是良性还是恶性?脑膜瘤绝大部分是良性的肿瘤,但也有少数是恶性的。恶性的脑膜瘤容易复发。良性的脑膜瘤如果是长在颅底的,相对来说也...
如何正确诊断良性脑膜瘤和恶性脑膜瘤?脑膜瘤运动障碍表现为从足部开始,渐至下肢,继而上肢肌力障碍,较后波及头面部,如肿瘤向两侧生长,可出现...
恶性脑膜瘤相对稀缺,每年报告的发病率在100万人口中低于5例,发病率在全部脑膜瘤中不到3%,更大顺利切除是治疗以先手段,其次是放疗(RT)...
脑膜瘤是脑肿瘤中较为常见的,其中脑膜瘤有良性的,也是有性和恶性的。良性和性和恶性的脑膜瘤,较终预后当然不太一样。那麼,大家该怎么辨别脑膜...
什么是多发脑膜瘤?是恶性的么?诊断多发性脑膜瘤需符合以下几点:患者存在一个以上的脑膜瘤;虽然对于脑膜瘤来说,其处理原则是手术完全切除肿瘤,...
非典型脑膜瘤who2级要放疗吗? 非典型脑膜瘤WHO2级需要放射治疗。非典型脑膜瘤WHO2级是一种良恶性交界的脑膜瘤。肿瘤细胞活跃,生长速度快,呈渗透性生...
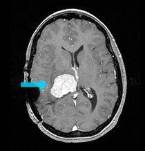
脑室内脑膜瘤 相对少见,占全部脑膜瘤的1%~2%。脑室内脑膜瘤的一例记录可能是1854年由Shaw提出的。他在侧脑室三角区发现了一个囊状的纤维性肿瘤。1881年...
脑膜瘤二级是良性还是恶性 脑膜瘤通常是起源于脑膜及其间隙的衍生物。超过90%的脑膜瘤是良性的,即一级的。然而,一些侵略性或侵袭性脑膜瘤比一级脑...
横纹肌样脑膜瘤恶性程度高吗?相当于恶性脑膜瘤。 横纹肌样脑膜瘤(rhabdoidmeningioma,RM)是脑膜瘤的一种不同类型,临床上较为少见。本文报道了一个RM案例...
它们可以从头发生(denovo),也可以由于较低的组织学级别的脑膜瘤的生物进展而产生。间变性脑膜瘤切除术后5年,约有50%的患者存活,总体生存期为2-...
脑膜瘤是良性还是恶性?脑膜瘤是较常见的原发性中枢神经系统肿瘤,约占三分之一。脑膜瘤是一种起源于蛛网膜帽状细胞的中枢神经系统肿瘤。脑膜瘤约占...
鞍结节脑膜瘤95%以上为良性肿瘤。鞍结节脑膜瘤生长在前颅底与中颅底交界处的鞍结节,起源于硬脑膜,向上生长。鞍结节脑膜瘤一般压迫患者视神经,导...
二级脑膜瘤术后放疗后复发率 脑膜瘤术后复发是否完全取决于良性脑膜瘤的完全切除。一般来说,复发率约为10%。如果脑膜瘤完全切除,病情基本稳定,则...
恶性脑膜瘤能治愈吗? 如果恶性脑膜瘤可以性脑膜瘤,比如脑膜瘤的根部,周围受侵袭的骨质,脑膜都会被切除。这个时候可以大大降低它复发的概率。恶...
由于恶性脑膜瘤生长迅速,肿瘤多侵入周围大脑,使周围脑组织增生。随着反复手术切除,肿瘤逐渐恶化,较终可转化为脑膜肉瘤。恶性脑膜瘤预后较差,...
脑膜瘤是良性还是恶性 大多数脑膜瘤是良性的,但也有恶性的可能,需要通过病理学检查来诊断。 脑膜瘤属于颅内原发性肿瘤,起源于脑膜细胞,多数情...
良性脑膜瘤需要手术吗? 多数脑膜瘤属于良性,是否需要手术与大小、部位、周围神经、血管有关。 如果脑膜瘤位于重要的功能区,可以考虑早期手术治...
脑膜瘤是恶性的吗? 脑膜瘤并全是恶性的,还有良性的和恶性的。 脑膜瘤是颅内较常见的肿瘤,多数脑膜瘤属于良性脑膜瘤,通过神经手术切除肿瘤,特...
恶性脑膜瘤有哪些,如何分类?什么是恶性脑膜瘤?恶性脑膜瘤,又称蛛网膜内皮瘤,是原发于颅内脑膜的肿瘤,约占颅内肿瘤的15.7%。了解恶性脑膜瘤的...
脊索样脑膜瘤目前被列为国际卫生组织2级。然而,这种命名在实践中为具有明显脉络膜基质但组织学为良性的肿瘤带来了一个难题,根据我们的经验,这种...
脑膜瘤治疗的预后情况、并发症的发生率、恢复时间与肿瘤位置、生长特点、术者的技术经验等息息相关,对于解剖位置比较复杂的脑膜瘤,例如枕骨大孔...
良性脑膜瘤能活多久? 良性脑膜瘤患者若无其他基础疾病,存活时间较长,甚至小良性脑膜瘤也不会影响患者的生存周期。 良性脑膜瘤与环境、基因等因...
恶性脑膜瘤的症状是什么? 恶性脑膜瘤的平均发病年龄明显低于良性脑膜瘤。肿瘤多位于脑凸面和矢状窦旁,其他部位,特别是后颅窝。因此,恶性脑膜瘤...
内镜下经鼻蝶入路是鞍结节胶愿瘤外科治疗方法之一,具有手术创伤小,手术时间短及叫达Simpson I级切除等优点。但本方法并不适合全部鞍结节脑膜瘤,需有...
恶性脑膜瘤如何预防? 关键对于各种各样很有可能造成恶性淋巴肿瘤的要素。现阶段,正常的免疫力检测作用的缺失、免疫增强剂的恶性肿瘤功效、潜在性...
脑膜瘤2级是恶性肿瘤吗? 脑膜瘤是颅内常见的肿瘤,大多数脑膜瘤是良性肿瘤,根据WHO分型,脑膜瘤可分为一级.二级.三级,其中一级考虑为良性肿瘤。根...
大多数前颅窝和中颅窝脑膜瘤可以从根本上切除。然而,即使随着手术器械、神经影像学和神经监测的发展,与前颅窝或中颅窝脑膜瘤相比,后颅窝脑膜瘤...
过渡型脑膜瘤who1级严重吗? 过渡性脑膜瘤归属于15种脑膜瘤的病理学种类之一,也归属于1级脑膜瘤。从病理学分级来看,转变型脑膜瘤并不是很严重,由...
对于脑膜瘤患者,手术时间的长短受到许多因素的影响。首先,普通脑膜瘤的手术时间约为3小时,这也与肿瘤的大小以及手术是否顺利有很大关系。如果有...
脑膜瘤侵蚀颅骨是恶性的吗?脑膜瘤侵蚀颅骨并不是恶性的。虽然脑膜瘤是一种良性肿瘤,但是它可能会逐渐生长并侵蚀周围的颅骨,这种侵蚀现象并不是...
恶性脑膜瘤手术后能活多久? 恶性脑膜瘤手术后的生存时间约为2-3年,但需根据实际情况进行判断,每个患者都不同。理论上,如果恶性脑膜瘤手术切除干...
良性脑膜瘤不做手术可以吗 良性脑膜瘤是否手术取决于患者的病情,有些患者不适合手术。良性脑膜瘤不需要手术。这取决于肿瘤的大小,如果肿瘤的直径...
脑膜瘤是怎么引起的? 到目前为止,脑膜瘤的发生机制还不是很清楚。 一般认为,脑膜瘤的发生可能与某些内部环境的变化和基因疾病有关,而不仅仅是...
良性脑膜瘤能活多久? 良性脑膜瘤患者的生存时间取决于肿瘤部位可切除的程度和术后是否有严重并发症。具体情况如下: 1.肿瘤全切除:如果患者良性肿...
大脑镰旁脑膜瘤严重 大脑镰旁脑膜瘤通常很严重。 大脑镰附近的脑膜瘤比脑膨出的脑膜瘤更严重,因为该区域的脑膜瘤手术风险高。如果术中流经矢状窦...
矢状窦旁脑膜瘤是恶性肿瘤吗? 矢状窦附近的脑膜瘤一般是良性肿瘤,生长相对较慢。脑膜瘤的恶性程度与肿瘤的生长部位无关,主要与肿瘤的病理类型有...
蝶骨嵴脑膜瘤术后发热 发烧即发烫,脑膜瘤手术后发热,可能是身体吸收热、颅内感染等原因造成,建议及时通过CT、磁共振等检查查找原因,同时遵医嘱...
大脑镰旁脑膜瘤是恶性的吗? 大多数脑镰旁脑膜瘤都是良性肿瘤。脑膜瘤起源于蜘蛛网膜颗粒,在脑镰旁生长常见。脑膜瘤的病理分类包括纤维型、砾石型...
脑膜瘤恶性能活多久 恶性脑膜瘤通常指非典型脑膜瘤和间变性脑膜瘤,占脑膜瘤的比例较低。 目前,临床上对其生存率没有明确的统计数据。据报道,非...
摘要:胶质瘤和脑膜瘤是两种常见的脑瘤种。尽管它们都发生在大脑中,但它们的来源、生长方式和治疗方法有很大不同。本文旨在比较这两种肿瘤的特点...
鞍区脑膜瘤预后 鞍区脑膜瘤愈后一般较好,主要治疗方法为手术治疗。 鞍区脑膜瘤的危害可能会导致颅内压升高,也可能导致大脑受压。头晕头痛的症状...
链接/Links: 北京天坛医院 | 首都医科大学宣武医院 | 复旦大学华山医院神经外科 | 脑胶质瘤 | 脑海绵状血管瘤 |