脑膜瘤是中枢神经系统肿瘤中,最具有特征性影像学表现的肿瘤。在X线和脑室造影的年代,检查结果仅起到提示作用。现在,影像学技术可以对脑膜瘤进行无创、准确地诊断,明确病灶与周围结构的位置关系。脑膜瘤MRI怎么看,可以预测良恶性吗?人工智能在脑膜瘤诊断应用如何?
脑膜瘤影像怎么看?MRI影像特征案例分享
其实脑膜瘤在MRI和CT上的表现都极具特征性。典型脑膜瘤在CT平扫中呈边界清晰的轴外肿块,挤压正常脑组织。肿瘤轮廓平滑,邻近硬脑膜结构,有时呈多叶状,约20%存在一定程度的钙化。由于细胞数量多且/或存在沙粒体样钙化,脑膜瘤密度可能高于皮质。多达半数颅底脑膜瘤累及邻近骨骼(反应性骨质增生、浸润、侵蚀)。
典型脑膜瘤在MRI上呈附着于硬脑膜上的轴外肿块,在T1加权图像上与灰质相比呈等信号或低信号,在质子密度和T2加权图像上呈等信号或高信号,周边有薄层脑嵴液环绕(等信号),表明肿瘤没有侵袭到脑内,通常在使用钆剂后会出现明显而均匀的对比增强。许多脑膜瘤边缘的硬脑膜增厚、向周围逐渐变薄,称为“脑膜尾征”。
脑膜瘤MRI示例

一名有1个月精神疾病史的80岁女性的T1加权序列显示,右中颅窝底内有一个界限清楚、均匀增强的肿块,具有宽阔的硬脑膜尾,其下内侧接触右侧海绵窦。右颞叶上方被肿块压迫,但未侵犯。a、b为T2,显示该肿块(箭头所示)呈等灰质信号;c为T1,显示该肿块(箭头所示)呈均匀的轻度高信号(相对于灰质)。

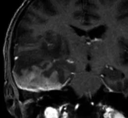
一名35岁头痛女性的造影后冠状T1加权序列显示,右中颅窝内有均匀增强的轴外质量,并有宽阔的硬脑膜尾(箭头)沿着蝶骨翼延伸,并围绕右额叶的侧面。肿块导致大脑镰下向左突出7毫米,右侧脑室消失。手术时的组织学结果为脑膜瘤(1级)

一名有头晕和易跌倒症状的83岁男性的造影后轴向T1加权序列显示,左侧桥小脑角(箭头)内有均匀增强的轴外肿块,具有宽阔的硬脑膜附着物和硬脑膜尾,向前延伸至左侧内耳道,向后延伸至乙状窦。肿块覆盖左侧内耳道,无泪小管内延伸。外观和组织学符合脑膜瘤(I级)

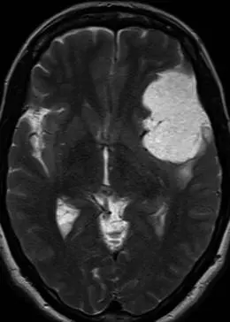
一名有8年晕厥发作史的55岁女性的轴向T2加权序列显示,左额叶下外侧和前颞叶有一个巨大的轴外肿块,明显高信号,略高于脑嵴液。肿块后方有轻度血管源性水肿。组织学符合微囊性脑膜瘤。

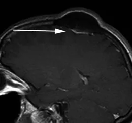
一名49岁女性患者,因头皮肿块就诊。其矢状位增强后T1加权序列显示,左侧顶骨可见一明显骨质增生灶,病灶主体向颅外突出。紧邻骨性病变下方,可见一薄片状、均匀强化的轴外软组织影(箭头所示),符合扁平型脑膜瘤的影像学特征,后经手术病理证实。
硬脑膜转移瘤辨别
硬脑膜转移瘤可模拟脑膜瘤并出现硬膜尾征,但T2加权序列通常呈高信号;常见原发癌包括乳腺癌、肺腺癌、肺鳞癌及肾细胞癌,多发病灶有助于诊断。继发性中枢神经系统淋巴瘤可表现为硬脑膜占位类似脑膜瘤,经血行播散,T2加权序列典型呈等或低信号,增强后明显强化,可多发并累及软脑膜。
结节病累及中枢神经系统者占5%,可侵犯硬脑膜、软脑膜、血管周围蛛网膜下腔、颅神经及脑实质,病灶可呈局灶性(类似脑膜瘤)或弥漫浸润性,T1加权序列典型低信号,T2加权序列高信号,增强后均匀强化,多数合并肺结节病可辅助诊断。

70岁头痛女性患者。增强冠状位T1加权序列显示右中央前回受压(箭头),病灶轻度不均匀强化,呈宽基底硬脑膜附着,周围显着血管源性水肿。T2加权序列呈高信号(相对于灰质)。术后病理证实为原发性乳腺癌腺癌转移。

63岁滤泡性淋巴瘤病史男性患者。增强冠状位T1加权序列显示右中颅窝轴外占位,宽基底硬脑膜附着伴硬脑膜增厚,并向轴内延伸至右颞叶。硬膜成分均匀强化,轴内成分轻度不均匀强化,周围水肿及占位效应明显。影像表现类似伴轴内侵犯的脑膜瘤,但病理确诊为淋巴瘤。
脑膜瘤MRI可以预测良恶性吗?
仅根据神经影像学来鉴别非典型或恶性脑膜瘤与良性脑膜瘤较为困难。下列MRI特征可能提示存在高级别脑膜瘤而非良性脑膜瘤:
●肿瘤边缘无等密度脑嵴液包绕,或明显侵入脑实质
●肿瘤内囊性或坏死性改变
●肿瘤扩展穿过颅底
●表观弥散系数(apparent diffusion coefficient,ADC)低
●灌注加权MRI显示脑血容量升高

一名49岁患者,经病理证实为3级(间变性)脑膜瘤。A(平扫头颅CT):显示右侧额叶巨大占位性病变,密度不均,周围伴血管源性水肿,并导致明显占位效应。B(横轴位T2加权MRI):肿块呈不均匀信号强度,周边可见相对于高信号核心的厚壁低信号环。C(增强后MRI):强化肿块内部可见中央强化减低区,提示存在中央坏死。D(灌注加权MRI):相对脑血容量(rCBV)未见升高。
但上述表现的敏感性、特异性都不够高。此外,如条件允许,大多数脑(嵴)膜瘤的初始治疗方法都为手术切除,具体取决于病灶的大小和部位,以及患者的总体情况和症状。
只有部分研究发现,在18F-FDG-PET扫描中较高级别脑(嵴)膜瘤的摄取更强,故该结果的诊断价值有限。新型PET示踪剂[包括特定生长抑素受体配体(如Ga-68 DOTATATE)]在诊断和治疗规划方面带来了更多曙光,但尚未在临床普及。
在MRI和CT出现之前,人们采用血管造影对脑膜瘤显像,通过显示脑膜血管的动脉血供和该病变特征性的肿瘤延迟染色(vascular blush),可提示该诊断。目前,血管造影仅限用于治疗中需要进行肿瘤栓塞的病例。
不同WHO分级脑膜瘤影像学特征

注:低级别为WHO1级,高级别为WHO2级和3级。
需要注意的是:脑膜瘤的MRI影像特征可以为判断其良恶性提供强有力的线索,但通常不能作为唯一的诊断依据,最终确诊仍需依靠病理学检查。
人工智能在脑膜瘤诊断应用如何?
近年来,智能化诊疗成为医学发展的新趋势,基于人工智能(Artifcialintelligence,AI)的计算机辅助诊断研究的发展为肿瘤治疗实现精准化、个体化、全程化提供了可能性。在既往有关于脑膜瘤的研究中,以机器学习(MachineLearning,ML)和深度学习(DeepLearning,DL)为代表的AI技术表现优异,基于图像分割网络和目标分类网络完成了诸如瘤体图像分割、肿瘤术前分级、Ki-67增值指数预测等临床任务。
与人眼相比,计算机可以更准确地识别图像灰阶值,进而更有效地量化并分析医学影像中深层的图像特征,能在像素水平探索数据之间的潜在联系。基于这种能力,未来AI可以突破影像-病理的壁垒,建立影像学特征与肿瘤异质性、细胞及基因水平之间的联系,为临床的准确诊断和患者咨询提供有价值的信息,为制定精准化治疗方案和预测患者治疗反应提供帮助。
- 文章标题:脑膜瘤MRI影像特征可以判断肿瘤良恶性吗?影像该怎么看?
- 更新时间:2025-11-20 23:54:35
400-029-0925




