脑膜瘤术后如何预防复发?这是很多患者关心的问题。其中WHOⅡ级的非典型脑膜瘤(atypical meningiomas)的生物学行为介于良、恶性之间,具有局部浸润的特性。
目前,临床推崇全切除(GTR)作为脑膜瘤核心治疗方案。因为GTR可实现有效局部控制,并规避术后放疗相关的毒性风险(包括放疗诱发恶性肿瘤的风险增加)。
然而,非典型脑膜瘤术后辅助放疗的价值至今存有争议。既有研究显示,术后放疗可降低非典型脑膜瘤局部复发率;但也有研究报道相反结论。
放疗技术选择亦无统一共识。对于复发性非典型或恶性脑膜瘤,放疗确实可为部分患者提供短期姑息缓解与局部控制,但长期控制率普遍不佳。
鉴于现有研究的结论冲突,这项研究通过系统评价探讨放疗(RT)联合手术切除对非典型脑膜瘤患者复发率的影响,研究囊括了1761例患者。

非典型脑膜瘤1761例患者研究,
无证据支持放疗可降低复发风险
研究通过检索截至2017年10月的Medline数据库,以“非典型脑膜瘤”为关键词纳入17篇文献,共计1761例患者(女性972例,男性799例,男女比例1:1.21)。Meta分析显示,神经外科术后联合放疗组与未放疗组的肿瘤复发率差异比例为1.0448(95%置信区间[0.8318~1.3125],P=0.7062)——复发率无显著差异。基于本次系统评价,目前无证据支持放疗可降低非典型脑膜瘤患者的复发风险。

图2:非典型脑膜瘤局部控制与复发率的比较:单纯手术与手术联合放疗的优效性分析
脑膜瘤复发主要由什么因素决定呢?
切除率,这个毋庸置疑。
尽管目前学界对Simpson分级产生了许多不同的想法,但切除率仍然是主要预测脑膜瘤是否复发的指标,手术的目标应该是尽可能安全地切除肿瘤。现行的Simpson分级总体上仍具有较强的临床指导意义。
其他因素(如肿瘤位置)仍存争议。本次系统评价中4篇文献指出凸面脑膜瘤复发率较高,但该结果可能仅反映其解剖部位的高发性。尽管手术技术持续进步,但因脑膜瘤与脑组织、颅神经及重要血管的密切解剖关系,围手术期并发症发生率和死亡率仍居高不下。
因此,对于脑膜瘤患者来说,手术不该只是切切切,更要懂得该不该切,如何切。手术核心目标是实现肿瘤全切除,同时最大限度降低神经系统并发症。因此,上演十八般武艺以达到这一结果。

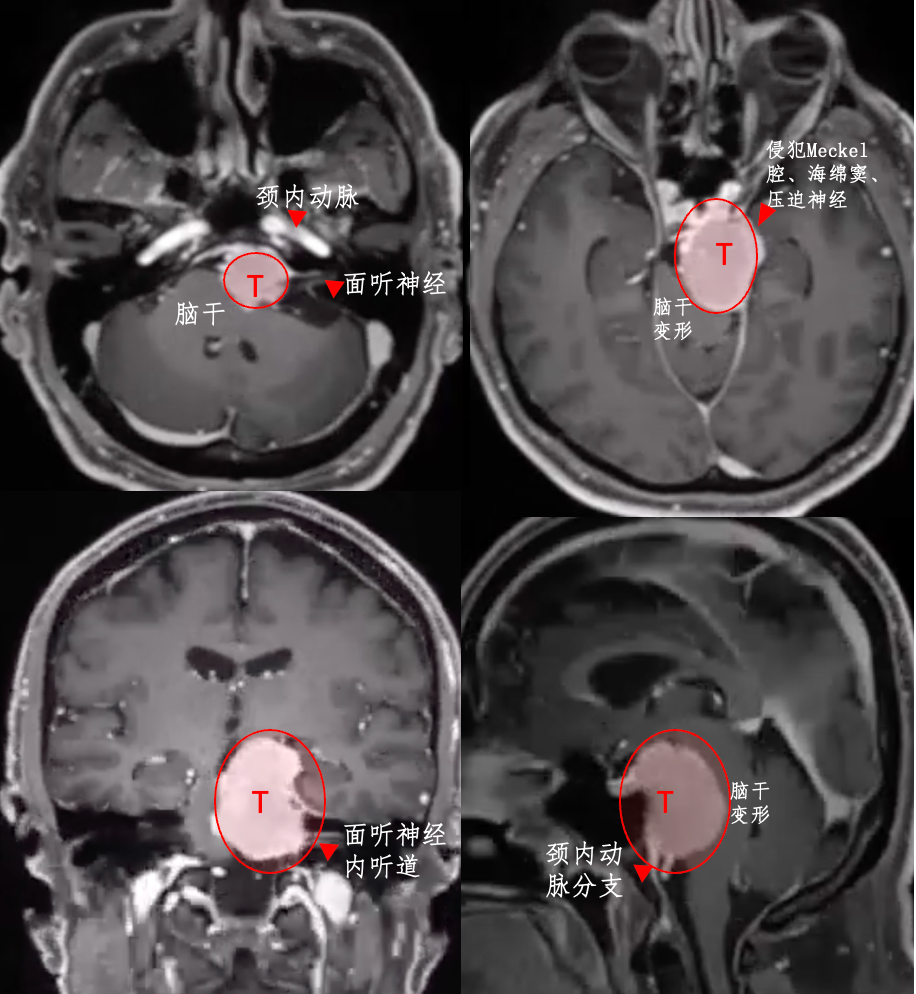
先来看看这个案例,29×39×38 mm,一个大型岩斜区脑膜瘤像一个小山丘一样,山顶直接挤压“生命禁区”脑干,还与神经血管结构紧密粘连。此时的他仅有头痛症状。

要知道,岩斜区这个位置的脑膜瘤,大小每增加1cm,手术难度就升级。位置凶险,肿瘤大,很多人以为肯定得开颅才能切干净。

其实不然,在INC福教授的定制化手术策略之下,无需开颅,仅右侧单鼻孔入路便全切肿瘤。脑干复位良好,未见脑脊液漏及新发神经功能障碍。

当然,不要以为都可以不开颅就可以切除肿瘤。
54岁男性Bruno,也是岩斜区脑膜瘤,但是他就没那么幸运了。左侧脸部如刀割般疼痛,甚至还出现吞咽困难,无法进食、难以入眠、无法工作……
为什么他的症状如此严重?
2014年,查出岩斜区脑膜瘤,考虑到这是个良性肿瘤,且手术治疗有风险,他选择了保守观察。然而,6年时间,肿瘤持续增长,压迫脑干,症状不断恶化。

福教授采用开颅手术,术前通过线圈在咽升动脉处进行栓塞,可以显著减少术中出血。在切除肿瘤过程中,使用CUSA刀对肿瘤逐渐减瘤。术后MRI显示肿瘤几乎完全切除,脑干受压解除。


结论
对于非典型脑膜瘤(AM)患者,预防复发的最佳策略是什么?研究给出了明确答案:核心关键并非术后放疗,因为目前无证据表明其能有效降低复发率。
预防复发的根本基石在于:选择一位经验丰富的专家,通过第一次手术就尽可能彻底且安全地切除肿瘤,同时完好保护大脑功能。选对医生、做好第一次手术,远比后续考虑是否放疗更为重要。
- 文章标题:脑膜瘤术后如何预防复发?1761例非典型脑膜瘤研究发现:放疗无法降低复发风险
- 更新时间:2025-11-27 10:14:42
400-029-0925


