脑膜瘤是脑膜的肿瘤,脑膜是覆盖大脑和脊髓的膜。较常见的是良性脑膜瘤或I级脑膜瘤,它们很小,不会像癌性肿瘤一样无限期地生长。非典型脑膜瘤who二级,非典型脑膜瘤,也称为II级脑膜瘤,是一种脑膜瘤,在治疗或切除后可能会恶变并重新生长。Ⅲ级脑膜瘤会迅速生长,威胁到压缩邻近的脑组织并侵入骨骼。即使是良性脑膜瘤,由于其在大脑中也可能很危险。

脑膜瘤是脑肿瘤的较常见形式之一,约占全部此类癌症的30%。脑膜瘤的诊断通常是通过磁共振成像(MRI)进行的。有症状的患者将先接受神经系统检查,然后再进行脑成像以确定他们是否患有脑肿瘤。在无症状患者中,诊断有时会在需要其他医学投诉的脑部成像期间发生。
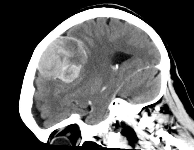
头痛、恶心、视力模糊,小心脑膜瘤
有症状的患者通常具有非典型或恶性变种。他们报告神经系统症状,例如头痛,癫痫发作,感觉丧失,恶心,视力模糊和对光敏感。它们几乎可以在神经系统中的任何地方发育,但是大多数脑膜瘤发生在头部,通常在脑干,颅底,静脉窦或视神经鞘附近。
非典型脑膜瘤多见于中年以上妇女,少见于儿童。男性很少见到脊髓型脑膜瘤。它们的生长速度快于I级肿瘤,但生长速度不及明显的恶性肿瘤。II级脑膜瘤占总发病率的不到10%。恶性II级病例约占2%。
非典型脑膜瘤who二级即使手术复发率也很高
非典型脑膜瘤可能需要治疗以防止进一步增长。通常将导致患者症状的任何肿瘤视为恶性的。治疗包括手术切除和后续放射治疗以杀死剩余的肿瘤细胞。
治疗的选择在于肿瘤的生长,对脑组织,患者年龄和健康的当前和未来风险以及手术的可能后果,例如感染或脑水肿。有时,放射线和手术的电击可能比肿瘤缓慢生长所带来的风险更大。例如,在没有快速增长的肿瘤的老年患者中,经常优选定期观察作为治疗方法,因为手术可能比肿瘤本身具有更多威胁生命的并发症。如果已通过外科手术切除,I级肿瘤很少复发,但非典型脑膜瘤的复发风险更高。
手术切除率决定着复发率的高低
脑膜瘤既接受颈外动脉系统如脑膜动脉、板障血管供血,又接受颈内动脉系统如大脑前动脉及大脑中动脉供血,或椎-基底动脉系统的分支供血,故血供丰富。由于上述特点,这就决定脑膜瘤的手术原则是:控制出血、保护脑功能、力争全切。
除了脑膜瘤本身的级别(I级、II级、III级)以外,脑膜瘤切除的程度是影响脑膜瘤复发的一位重要因素。国际上脑膜瘤切除的分级多采用Simpson分级。
I级脑膜瘤一般是良性肿瘤,与周围脑组织界限清楚,大部分肿瘤可行Simpson 0 级切除治愈。对于II级和III级的脑膜瘤,可采用I-V 级法,但是术后易复发。研究显示,SimpsonⅠ、Ⅱ级术后5年肿瘤复发率为4%~9%,SimpsonⅢ、Ⅳ级术后5年肿瘤复发率25%~45%,且随着随访时间的延长复发率逐渐增高。
显微外科手术:以顺利为前提的完整切除
当今神经外科手术技术飞速发展,以高科技显微镜、术中核磁、术中神经导航等多台高科技复杂仪器辅助下的显微外科手术以其微创、顺利性高、准确高效等优势在神经外科领域内备受青睐。
在巴特朗菲教授一篇关于枕骨大孔腹外侧脑膜瘤手术切除的论文中很好地证实了显微外科手术切除腹侧及腹外侧大孔脑膜瘤是一种顺利、值得的手术方法。该论文报告了19例经背外侧枕下经髁入路手术的大孔脑膜瘤患者的经验,每一个病例中都实现了肿瘤的完全切除,通过案例术后效果跟踪,巴特朗菲教授强调了这些病变的显微外科手术切除意义包括两个重要方面,一是基于每个患者的显微解剖细节能够有细致和个性化的术前手术方案定制,这使得手术的顺利性和准确度大大提高,二是在过去的5年里,这些病例都没有死亡,也没有神经并发症,这种效果不论是对于医生还是对于患者来说,无疑都是振奋人心的。

神经内镜手术:针对颅底脑膜瘤的微创手术
后颅窝脑膜瘤占颅内脑膜瘤的10%,而斜坡和岩斜区脑膜瘤就占后颅窝脑膜瘤的3%至10%,可以压迫脑干并包裹周围的关键神经血管结构。尽管医学专家利用显微外科解剖学和标准手术技术的较大进步,对这种复杂的脑膜瘤有了更好的了解,但是岩斜区脑膜瘤的手术切除仍然是一项挑战。
国际神经外联合会(WFNS)颅底手术委员会主席Sebastien Froelich教授在其一篇关于岩斜区脑膜瘤的治疗研究中(Surgical Management of Petroclival Meningiomas)详细说明了顺利手术的方法:
岩斜区脑膜瘤可进行岩前入路或岩后入路切开术,两种方法可以结合使用,也可以作为更细致的手术暴露的一部分。与传统的手术方式相比,Sebastien Froelich教授和他的团队合作设计了一种算法,来评估切除的可能范围,通过岩前入路暴露的范围从颅神经III向下至IAC(如下图);通过岩后入路暴露的范围从颅神经IV到颈静脉结节的上边缘,并通过枕下外侧“乙状窦后”入路取得了成功的手术结果。
巴特朗菲教授及Sebastien Froelich教授作为INC国际神经外科医生集团旗下组织国际神经外科顾问团(WANG)的成员,常年在国内与患者进行面对面的咨询,将国外前沿的技术和方案带给国内患者,提升患者预后的希望。
- 文章标题:什么是非典型脑膜瘤who二级,脑膜瘤能治好吗?
- 更新时间:2019-12-17 17:13:02
400-029-0925




