嗅沟脑膜瘤起源于前颅窝中线筛骨的筛板及其和蝶骨交界的骨缝区。肿瘤可累及自鸡冠到蝶骨平台的任何区域,可以围绕中线对称生长或主要向一侧扩展。主要血供来自筛动脉、脑膜动脉和眼动脉的穿过颅底中线的分支。大脑前动脉的A2段通常被脑组织或蛛网膜与肿瘤分开。在大型肿瘤,这些动脉可能受肿瘤包膜侵犯。额较和大脑前动脉的小分支可附着于肿瘤包膜的后和上方,并向肿瘤供血。在小型肿瘤,嗅神经在肿瘤表面被推向外侧,因此至少保护起码侧嗅神经是可能的。当肿瘤较大时,嗅神经附着并分散在肿瘤包膜表面,难于保留,视神经和视交叉可能向下和向后移位。
嗅沟脑膜瘤手术策略概述
手术的目的是完全切除嗅沟脑膜瘤,包括肿瘤附着的硬膜和偶尔的受累颅骨。在多数嗅沟脑膜瘤病人中,可以达到全切而致残率较低,且有良好的功能恢复。然而,在某些病人,由于肿瘤累及大脑前动脉的主要分支,全切肿瘤危险性较大,一部分肿瘤应予以保留,并定期影像随访。如果肿瘤开始生长,可行放疗。单一年龄不是决定手术的因素。在一项19例病例研究中,9例70~80岁,3例80~90岁。在大于70岁的病人中,如果病人一骰情况许可,并且神经功能障碍加重,即应行手术治疗。该组病人手术致残率较低。
在检查时,嗅觉通常丧失,如果嗅觉仍然存在,可能肿瘤较小,应该告诉病人有此项功能丧失的危险。嗅觉急性丧失比肿瘤压迫造成的逐渐进行性丧失会给病人带来更大的麻烦。
在多数病人,因治疗脑水肿已于术前开始应用类固醇。当病人到达手术室时,给予静脉点滴抗生素,并于术中和术后24小时继续使用。如果病人没有给予类固醇和抗癫痫药物治疗,应立即开始给予。全麻及留置尿管后,给予10~20mg速尿,在手术显露时,静脉给予100g甘露醇。技术良好的神经麻醉科医生的配合有助于减低手术致残率和死亡率。
嗅沟脑膜瘤手术预后如何?
在多数嗅沟脑膜瘤病人中,肿瘤可以完全切除,病人可以恢复接近正常的生活。术前或术后暂时存在的智能障碍和人格改变一般可以完全消失。术前有视力症状的病人一般术后恢复。
Mac carty等报道嗅沟脑膜瘤病人生存率高于其他部位脑膜瘤,没有给出关于复发的资料。 Symon虽然没有给出数字,但报告了低的复发率。Chan和 Thompson报道平均随访9年没有复发。 Ranson和Nockels报道良性脑膜瘤没有复发病例。
嗅沟脑膜瘤案例一则
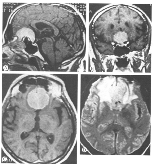
59岁男性嗅沟脑膜瘤患者,3年来轻度人格改变和智能障碍。磁共振:A.矢状位(T1)增强像:中线平面显示肿瘤的前后和上部范围。有一种不常见的骨质改变,气窦向颅底肿瘤扩展。肿瘤的后下缘位于鞍结节下,双侧视神经间。肿瘤的后表面有脑脊液池。肿瘤的前下缘侵犯筛板区。B.冠状位(T1)增强像:肿瘤后缘平面显示肿瘤片位于双侧颈内动脉间视神经上。其他冠状位像显示肿瘤外侧部没有侵入气窦。C.轴位(T1)增强像:确定肿瘤的外侧边界。肿瘤周围有水肿或胶质反应。D.轴位(T2)未增强像:确定肿瘤邻近组织的水肿范围。大脑前动脉的A2段邻近肿瘤包膜。术中将大脑前动脉A2段从肿瘤包膜上后部通过薄层胶质组织分离开,在后部包膜的中部,动脉位于脑脊液池中,有小动脉分支硫松附着于肿瘤包膜。全切除肿瘤,病人完全恢复。

无症状嗅沟脑膜瘤需要手术吗?
由于因为鼻旁窭问题和其他疾病行CT和MRI检查病人的增加,偶然发现的无症状病变增多。在评价这种病人时,神经外科医生需要考虑病灶的大小、邻近脑组织有无水肿、病变与视神经的接近程度、病人的年龄和一般状况以及病人对患有肿瘤的心理反应。
总结:手术是治疗嗅沟脑膜瘤特别是较大嗅沟脑膜瘤的合适方法,应用显微镜手术技术,加上细致的手术操作技巧,较大嗅沟脑膜瘤也能取得良好疗效。显微镜应用于嗅沟脑膜瘤的手术以来,体小的肿瘤切除并不困难,但对于体大,后较累及垂体瘤、视交叉的大体积肿瘤仍具有挑战性。一旦发现肿瘤需要应对,对于挑战性大的肿瘤,可以选择技术高超的神经外科医生团队。
- 文章标题:嗅沟脑膜瘤的手术治疗
- 更新时间:2021-03-24 16:45:22
400-029-0925




