脑膜瘤是发生在脑膜上的脑瘤,脑膜是包围和保护大脑和脊髓的组织(图1)。尽管大多数脑膜瘤不是癌性的,但当它们生长并压迫大脑或脊髓的重要部位时,会造成问题。脑膜瘤的病因尚不清楚,但可能包括遗传(遗传)和环境因素。

脑膜瘤可以发生在大脑或脊髓的任何部位。大约90%发生在头部:在头骨内部,在头骨底部,或者在脊髓(脑干)上面。脑膜瘤也可能发生在脊髓周围或视神经鞘,视神经鞘保护连接眼睛和大脑的神经。
脑膜瘤可以通过观察、手术和/或放射治疗来处理。在某些情况下,干预可能会被推迟,只有当肿瘤开始生长时才会开始。
脑膜瘤治疗好方法——优选手术
脑膜瘤的更佳治疗取决于肿瘤的大小、生长速度、位置、年龄和健康状况。在决定哪种治疗是较好的时候,你和你的医生还需考虑治疗的潜在好处(即,减少症状和防止进一步的肿瘤生长)和治疗的潜在副作用和风险。
根据肿瘤生长的速度和治疗后复发的可能性,脑膜瘤可分为三类:
·I级或良性脑膜瘤——良性(非癌性)脑膜瘤是生长缓慢的肿瘤,通常不影响邻近的正常大脑。良性脑膜瘤是较常见的类型,占全部脑膜瘤的70%到80%。许多良性脑膜瘤不需要任何治疗。大多数良性脑膜瘤在治疗后不会复发。
·II级或非典型性脑膜瘤-非典型性脑膜瘤通常比良性脑膜瘤生长得更快,而且在治疗后复发的几率更高。这些脑膜瘤约占全部脑膜瘤的20%至30%。
·III级、间变性或恶性脑膜瘤——恶性脑膜瘤是脑癌的一种形式,在治疗后很可能复发。这种情况很少见,约占全部脑膜瘤的2%至3%。
脑膜瘤的治疗包括手术、放疗或观察和等待(称为主动监测)。
外科手术-外科手术是大多数脑膜瘤的优选治疗方法,特别是对于那些体积大、生长快或引起症状的肿瘤。手术的目的是切除尽可能多的肿瘤。然而,根据脑膜瘤的大小和位置,切除整个肿瘤并不总是可能的。此外,有些肿瘤不能完全切除,因为肿瘤太靠近或涉及大脑或血管的重要部位。在这种情况下,肿瘤只能部分切除。
手术后,肿瘤有可能复发。这种风险取决于切除多少肿瘤以及肿瘤是良性、非典型还是恶性。如果肿瘤没有通过手术完全切除,手术后经常建议进行放射治疗,以降低肿瘤复发或继续生长的风险。
手术并发症-可能的手术并发症包括附近的正常脑组织损伤、出血和感染。潜在的严重并发症包括:
·脑膜瘤手术后,脑脊膜内常出现暂时性积液(脑水肿)。术前和术后均可给予药物治疗,以减少这一问题。
·大约20%的人在手术前没有癫痫发作,而在手术后又会发作。抗癫痫药物通常在手术后被,如果没有发生癫痫,手术后会慢慢停药。
·手术后,有些人会出现神经问题,如肌肉无力、语言问题或协调困难。这些症状取决于肿瘤的位置。很多时候,这些症状会在几周后消失。
·做过脑外科手术或患脑瘤的人静脉血栓(深静脉血栓形成)和肺血栓(肺栓塞)的风险增加。因此,建议在手术期间和术后进行预防血栓的治疗。
放射线疗法-放射线疗法使用高能x射线来损害肿瘤细胞。x光仔细地瞄准了受肿瘤影响的大脑区域。与正常细胞不同,肿瘤细胞修复辐射损伤的能力较弱。经过处理的大脑区域是经过精心计算的,以向肿瘤细胞提供较大剂量的辐射,同时尽量减少对正常脑组织的辐射。
如果有很高的肿瘤复发风险或手术不可能,手术后通常放疗。如果做了手术,放射治疗通常是在病人完全从手术中恢复之后才开始。
脑膜瘤案例一则:高难度岩斜区脑膜瘤,INC法国Froelich教授完整切除经过
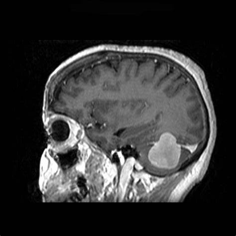
法国巴黎一位53岁男士,因三叉神经痛合并三叉神经感觉减退,在当地神经外科医院医院,查出左侧较大岩斜脑膜瘤(27立方厘米)。脑磁共振(mri)显示从幕部可见明显的轴外肿瘤,岩斜向外扩张,对脑干有明显的挤压效应。经该院神经外科教授兼主席Sebastien Froelich教授主刀手术后,这个复杂位置的脑膜瘤得以完整切除,无神经功能损伤及相关的并发症。

从以上患者术前的影像中可以看出,肿瘤位置距离头皮远,术中需要穿过很深的正常脑组织以及相应血管,所以手术入路不清晰,很多情况下往往只切除一点。加上手术难度较大,很可能发生切除率较低,甚至可能发生术中出血而提前终止手术的情况。即使手术做了,也可能造成偏瘫等严重的不可逆的神经损伤,使患者终身遭受手术后遗症的困扰。岩斜区脑瘤的死亡率和致残率如此之高,选择适当的个体化治疗方案至关重要。” Sebastien Froelich教授指出。‘
对此,负责主治的Sebastien Froelich教授,同其手术团队联合咨询后,为患者确定了具有针对性的手术方案--术前需进行血管造影并栓塞,以确定主要动脉供血者,促进手术切除及降低手术风险,再行手术切除。

图示:通过这例手术对比术前术后影像对比,可见术后切除率达到了近乎全切。而患者术后并没有明显得神经损伤症状。
INC国际神经外科医生集团:脑膜瘤基本上没有特别好的非手术治疗的方法,原则上趁肿瘤比较小的时候,及早治疗,手术的难度和风险也会小一些。这已在国内外的神经外科医生之间达成共识,患者得了脑膜瘤,无需恐慌,可参照国内外脑膜瘤治疗规范治疗,尽可能寻求较大水平地肿瘤切除,将使治疗效果事半功倍。
- 文章标题:脑膜瘤治疗好方法
- 更新时间:2020-02-13 20:12:42
400-029-0925




