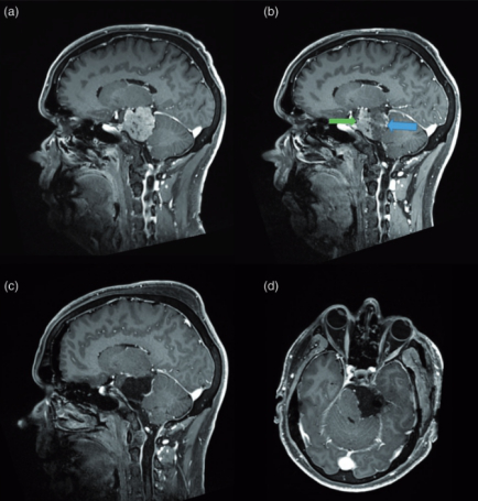
法国一位53岁男性,因三叉神经痛合并三叉神经感觉减退,在当地神经外科医院Lariboisiere医院,查出左侧较大岩斜脑膜瘤(27立方厘米)。脑磁共振(mri)显示从幕部可见明显的轴外肿瘤,岩斜向外扩张,对脑干有明显的质量效应(图1(a)),无瘤周水肿。

后颅窝脑膜瘤占颅内脑膜瘤的10%。斜坡和岩斜脑膜瘤仅占后颅窝脑膜瘤的3%至10%。岩斜脑膜瘤起源于岩斜交界处,颈静脉结节上方,三叉神经内侧,面前庭-前庭蜗神经复合体。岩斜坡脑膜瘤出现在蝶骨-枕骨联合软骨周围。肿瘤可累及幕前切牙、梅克尔氏穴、中颅窝底、鞍旁区和海绵窦(蝶骨斜坡脑膜瘤)。
岩斜坡脑膜瘤位于解剖要求较高的区域。尽管对显微外科解剖有了很大的进步,标准的手术技术也有了很大的进步,但岩斜脑膜瘤的手术切除仍然是一个较大的挑战。
患者在 Froelich教授手术,得以成功切除较大岩斜脑膜瘤
对此,负责主治的Sebastien Froelich教授,同其医生团队商量后,为患者确定了个性化咨询方案。在注射钆剂后肿瘤较强且较均匀的强化支持了脑膜瘤的推定诊断。由于肿块的影响和临床症状,Sebastien Froelich教授建议手术治疗。并且计划在术前进行血管造影并栓塞,以确定主要动脉供血者,促进手术切除及降低手术风险。
Sebastien Froelich教授表示,虽然岩斜脑膜瘤手术切除为较合适的治疗,但由于手术难度大,一般的医生难以切除干净,导致其复发率较高。复发率取决于位置、海绵窦受累、脑干浸润、切除程度和病理结果。Mathiesen等人提供了切除颅底脑膜瘤的综合长期结果。辛普森I级切除5年后的复发率为3.5%,II级切除为4%,III级切除为25%,IV至V级切除为36%至45%。15年后,辛普森I级切除的复发率为7% - 10%,II级切除的复发率为11% - 15%,III级切除的复发率为37% - 43%,IV级切除的复发率为63% - 全切。辛普森一级切除25年后的复发率为13% - 16%,二级切除25年后的复发率为15% - 20%,三级切除25年后的复发率为39% - 76%。岩斜脑膜瘤的复发率在0%到42%之间。Jung等人随访38例岩斜脑膜瘤次全切除术后,平均47.5个月。16例(42%)有肿瘤进展和复发的X线表现。

图2:患者脑血管造影图
较终对于Sebastien Froelich教授的治疗方案,患者在手术前获得书面知情同意。Sebastien Froelich教授采取在患者全身麻醉下进行脑血管造影。传统的2Dangiography显示左侧颈内动脉虹吸管垂直部分不明显的肿瘤脸红(图2(a))。其他脑动脉注射后未见肿瘤性脸红。此外,肿瘤周围动脉有明显的肿块效应,主要表现在左侧pca和SCA上(图2(b), (c))。3d - digital减影血管造影(DSA)双视旋转序列10s,分别在左侧椎动脉注射碘造影剂和不注射碘造影剂,通过PCA和SCA更好地了解肿瘤的解剖关系。该采集允许诊断来自SCA的MTA,并为肿瘤提供丰富的动脉瘤内网络(图2(d)、(e)、(f))。这是通过选择性导管插入该动脉(Magic 1.2 FM, Balt)及其选择性血管造影证实的(图2(c))。因为这条动脉来自于硬膜内动脉,而硬膜内动脉位于手术入路的另一侧,在肿瘤的后面,所以在手术中对它的控制是困难和危险的。Sebastien Froelich教授经过与神经外科团队的讨论,决定在术前进行栓塞。用1毫升氰基丙烯酸酯胶(Glubran,Glubran -2, GEM, Viareggio, Italy)混合溶液(4ml of lipiodol)堵塞供血动脉,造影结果良好,无并发症。术后脑MR显示脑膜瘤部分断流,无脑水肿(图1(b))。除了新出现的头痛外,临床检查在血管内手术后没有改变。
手术安排在二天(图1(c),(d))。以颧根为中心的颞部开颅术和前岩部切除术。脑膜瘤在肿瘤消退的不同阶段交替进行超声抽吸和周围结构的仔细解剖,从血管的角度观察,硬脑膜边缘被切断以完成肿瘤的断流。肿瘤的上半部分是完全无血管的。下腔静脉仍被SCA的硬脑膜幕动脉近端血管化。切除是完全的,除了一小层脑膜瘤,它是沿着SCA留下的,因为它被发现与血管较为相异,不能在不牺牲SCA的情况下切除。全部周围的颅神经IV、V、VII、VIII和VI均保存完好,患者术后神经功能完好。
病例来源Froelich教授文献:Tentorial meningioma supplied by a marginal tentorial artery arising from the superior cerebellar artery: Anatomic and technical considerations
对于27立方厘米的较大岩斜脑膜瘤,能够完全切除,可以说是了不起的。Sebastien Froelich教授无愧于“国际神经外科年轻一代教授”的美誉,而且其发明内镜手术“筷子手法”,还解决了神经内镜手术需要两人配合的弊端,推动了神经内镜手术技术的发展。
(Froelich教授在INC主办的二届国际神经外科顾问团年会上发表学术讲演)
在12月21日,这位教授Sebastien Froelich教授将以INC国际神经外科医生集团旗下顾问团成员身份,来华参加2019中国颅底大会进行学术交流,并且在参会期间,还将为国内5名脑膜瘤、脊索瘤、胶质瘤等脑肿瘤患者提供面对面咨询的机会,为患者带来国际前沿的咨询意见和手术方案。2019年已经到年底了,可以说这是今年国内脑肿瘤患者在国内较好的面对面咨询国外教授的机会了,名额有限,有需求的患者需尽快联系INC报名。
- 文章标题:不可能的手术:较大岩斜脑膜瘤在Froelich教授手术下完全切除
- 更新时间:2019-12-04 16:37:47
400-029-0925




