
脑膜瘤切了又长?居然这么大!怎么办?
并非所有的脑膜瘤都是良性的,你知道吗?
虽然大多数脑膜瘤是良性的,但它们可以从I级到III级,预后也大不相同。
当偶然发现脑膜瘤,它是否会生长,并引起症状?是否可以一直观察,不手术吗?
如果选择手术却残余太多,复发的风险是多少?患者对于脑膜瘤,有太多、太多疑惑!
巨大复发脑膜瘤案例分享:
长期以来,我们对于大多数脑瘤仍处于尚未完全参透的状态,它如何发生,又该如何让它消亡。对于脑膜瘤而言,已知的危险因素是颅骨受到电离辐射,报道的风险增加了六到十倍。电离辐射引起的脑膜瘤通常呈多发性,并且往往具有侵袭性行为。 性激素被提出是其他脑膜瘤发病的危险因素,因为女性在青春期后的发病率是男性的两倍(2:1),在生育期比例更高(约3:1)。 尽管已经进行了不同的研究来确认这种风险关联,但没有确凿的证据证明这些假定的危险因素。
但是对于脑膜瘤的治疗及预后,已有明确的数据及各种研究。早在1957年Donald Simpson发表创新性文章以来,人们普遍认为手术切除的完整性是复发和生存的有力预测因素。这方面常仍然使用Simpson分类。因此脑膜瘤的手术重要性不言而喻。
你以为脑膜瘤切完就万事大吉?
53岁的Leo七年后再遭“突袭”——肿瘤疯狂复发,侵犯海绵窦等颅底多个位置,症状比首次更凶险!这个号称“良性”的肿瘤,为何如此难对付?
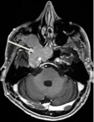
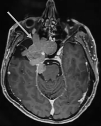
2012年,53岁的Leo突然发现自己嗅觉减退、视力下降时,就医检查发现右侧梅克尔腔脑膜瘤,随即进行了手术。谁能想到7年过后,脑膜瘤再次卷土重来,出现严重的V1(嗅神经)、V2(视神经)和V3(动眼神经)感觉减退和疼痛,症状比第一次手术前还要严重。磁共振成像(MRI)显示肿瘤大面积复发,延伸至海绵窦(CS)、后颅窝(PF)、蝶窦(SS)、翼腭窝(PPF)和颞下窝(ITF)。这个张牙舞爪的肿瘤,属实不太容易切除。

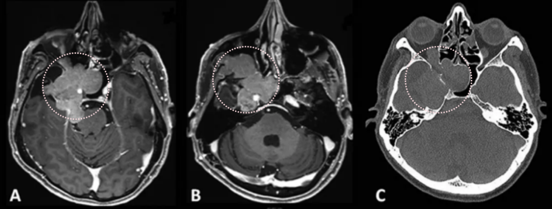
患者术前影像。(A)术前轴位T1加权钆增强磁共振成像(MRI),显示脑膜瘤延伸至后颅窝、海绵窦、眼眶和蝶窦。(B)肿瘤延伸至中颅窝、翼腭窝和颞下窝。(C)术前轴位计算机断层扫描(CT)显示蝶骨大翼侵蚀和蝶窦受累。
脑膜瘤为什么会复发?
Leo怎么也想不通——这些在颅底疯狂生长的肿瘤,哪有一点“良性”的样子?我们知道,与脑膜瘤复发息息相关的主要是切除率,简单来说切地越多复发率越低。但是对于复杂的颅底脑膜瘤,如何切干净才是关键。

下一步怎么办?
这个隐匿在颅底深处的脑膜瘤,被颈内动脉、海绵窦和脑干等重要结构形成的“钢铁防线”重重包围。主刀医生必须在毫米级的操作空间内,像拆弹专家般精准游离肿瘤,既要避免触碰密布如蛛网的颅神经(三叉神经、面听神经等),又要防止损伤如“高压水管”般的颈内动脉。更棘手的是,这个区域的肿瘤往往与脑干“耳鬓厮磨”,稍有不慎就会引发灾难性后果。每一步操作都必须慎之又慎,既需要神经导航、术中电生理监测等护航,更考验术者对颅底解剖的“三维记忆”和双手的“毫米级稳定”。
INC国际神经外科医生集团旗下世界神经外科顾问团(WANG)成员、世界神经外科联合会(WFNS)颅底手术委员会前主席Sebastien Froelich教授(塞巴斯蒂安·福洛里希,“福教授”),显微镜+神经内镜-“双镜联合”大咖,又会如何应对?
福教授“双镜联合”全切脑膜瘤手术入路选择7大要点
福教授在了解了Leo的具体病史情况及目前肿瘤情况后,制定了详细的手术计划。手术中福教授通过手术显微镜、神经内镜的实时恰当互补,能使得术区得到更好地暴露,减少患者神经损伤、增加肿瘤切除率。

全方位切除肿瘤步骤




最终,手术顺利完成,根据术前术后影像对比,患者肿瘤得到完全切除。

脑膜瘤位置对切除程度有哪些影响?
虽然切除程度仍然是减少复发率的重要因素,但侵袭模式和肿瘤特征(如骨质增厚和硬脑膜尾征)因肿瘤位置的不同而有很大差异。
人的脑膜有三层,包括硬脑膜、蛛网膜、软脑膜,每一层脑膜都很薄。脑膜瘤就是起源于蛛网膜的帽状细胞,所以它发生在蛛网膜分布比较集中的区域。
《脑膜瘤的自然史和治疗:最新进展。The Natural History and Treatment of Meningiomas: An Update》(doi: 10.1055/s-0043-1777352.)中指出,脑膜瘤也根据其位置进行分类,70%位于镰旁、凸面和蝶骨区。在,Yamashita的336例脑膜瘤系列中,Yamashita等发现脑膜瘤的位置为:矢状窦旁20.8%,凸面15.2%,鞍结节12.8%,蝶骨嵴11.9%,嗅沟9.8%,镰旁8%,侧脑室4.2%,天幕3.6%,中颅窝3%,眶部1.2%,脊柱1.2%,多发性0.9%。
在1107例脑膜瘤患者研究中,Sun等发现脑膜瘤主要发生在凸面(20.8%)、矢状窦旁(16.1%)和镰旁(11.4%),其次是蝶骨翼(9.8%)、天幕(8.5%)、桥小脑角(7.7%)、鞍结节(7.6%)和嗅沟部位(6.0%)。
矢状窦旁和大脑镰旁脑膜瘤至少侵犯或触及上矢状窦(SSS)。由于其位置靠近SSS、相关桥静脉以及紧密接近大脑功能区,因此没有永久性神经缺损的根治性手术可能很难实现。

与上矢状窦后三分之二相比,上矢状窦的前部通常可以以最小的并发症进行切除。当肿瘤位于凸面上时,通常可以实现完全切除。浸润周围神经和血管结构的肿瘤可能更难治疗。因此,矢状窦旁和镰状窦脑膜瘤与复发风险增加相关,从而降低生存率。此外,颅底肿瘤,如海绵窦或岩斜脑膜瘤,以及有骨侵犯的肿瘤,安全全切难度大。
颅底脑膜瘤大咖——INC福洛里希教授的手术观
“我们是专门做颅底手术的,主要治疗一些复杂的颅底脑瘤,包括脊索瘤、软骨肉瘤、颅底脑膜瘤、神经鞘瘤”

“我第一次萌生做颅底手术的想法可以追溯到住院医师期间,我当时有机会在拥有众多著名神经外科专家的部门工作,像Vinko V. Dolenc这样的神经外科大咖,一些年轻的医生对他的手术技术无不惊叹,我也梦想着成为和他一样的神经外科医生。这是一个很简单的原因,但我也因此不断前行。
颅底手术就是把大脑深部和下方的一些病灶暴露和取出,这些病灶是很难暴露的。而在手术中我们不想让大脑受到牵引,大脑必须受到保护,所以需要找到其他方法到达这些区域,在术中我们需要穿过部分面部,穿过部分岩骨,这是一个极其复杂的位置,遍布了需要保护的神经和血管,所以必须在这些关键结构之间找到一条微小的路径到达病灶位置,所以手术经常在狭窄的通道内操作,必须要移动这些结构以保持其完整性,而最困难的部分是在不触及大脑或不伤害大脑的情况下取出这个病灶。
在颅底手术中,我想说绝大多数病例都适合‘双镜联合’。正如我一开始所说的,颅底手术的目标是到达颅底非常深的区域。为此,有两种选择,一种是可以创建一个大的手术通道,但是这些大的手术通道对患者来说并无益处,因为暴露了更多的结构,使之面临风险。另外的方法就是尝试缩小入路通道的范围,但为了在内部仍然拥有良好的视野,内镜便是增强手术视野一大利器。所以在我所做的绝大多数手术病例中,手术一开始就准备好了内镜,可以用来观察拐角处,那些开颅手术中不能直接暴露的结构。
在很深的区域操作时,内镜绝对是颅底手术中必备的工具。内镜的用途是让深部的结构可视化并且进行操作,并且操作过程中不会破坏从手术入口到病灶之间的解剖结构,所以需要使用内镜。”
- 文章标题:良性脑瘤为何如此“顽固”?他的颅底脑膜瘤终于被“连根拔起”!
- 更新时间:2025-08-04 15:58:09
400-029-0925




