脑膜瘤是最常见的轴外原发性脑肿瘤,占所有颅内原发肿瘤的13%–19%。脑膜瘤的生物学行为高度依赖于肿瘤大小、解剖位置、与神经血管结构的毗邻关系及组织病理学特征。其具有渐进性及隐匿性特征,除癫痫发作外,脑膜瘤通常不伴发急性起病的症状;此类临床表现更常见于垂体腺瘤卒中。卒中的发生机制可源于视路结构的直接受压,或源自颈内动脉、大脑前动脉及前交通动脉的视神经与视交叉供血动脉血运受损。
本文分享一例罕见的出血性脑膜瘤,其临床表现拟似垂体卒中并伴有间歇性视力丧失。这个脑膜瘤在复查期间“消失”又出现,究竟发生了什么?
38岁的我,平时身体没啥毛病。那天突然一阵炸裂般的头痛袭来,更吓人的是,双眼一下子什么都看不见了——这种完全失明持续了整整15分钟。我以为我再也看不见了,立刻被送往急诊。
我的大脑究竟怎么了?
头颅CT结果显示,我的鞍上区有个高密度占位,而且这个“不速之客”还沿着蝶骨平台向前延伸(图1A、1B)。

图1.(A、B)冠状位及矢状位平扫CT显示鞍上区高密度占位性病变,沿蝶骨平台向前延伸。
紧接着的CT血管造影排除了血管病变,但随后的MRI检查揭示了一个4厘米大小的非强化斑块样肿瘤,紧紧贴着视交叉,还压迫到了垂体柄和垂体(图1C、1D)。

(C、D)冠状位及矢状位磁共振成像(MRI)提示视交叉旁非强化性、轴外斑块状4cm占位,压迫垂体柄及垂体腺。
医生给我做了一系列检查:腰椎穿刺结果正常,流式细胞学检查排除了淋巴瘤,垂体功能检查和眼科评估也都未见异常。虽然医生建议通过经蝶窦入路做个活检,但因为当时头痛已经自行缓解,我选择了保守治疗——短期服用地塞米松后,住院第4天就出院了。
离奇消失又出现的肿瘤
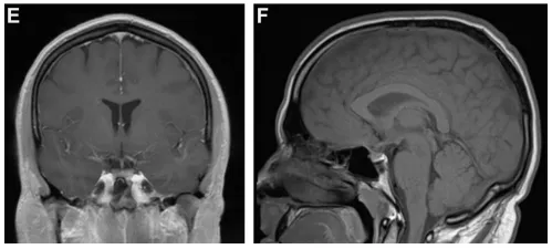
令人惊讶的是,4周后复查MRI显示,之前那个占位病变居然接近完全消失了(图1E、1F)。我以为这场风波就此结束,之后也没有继续随访。

(E、F)4周后随访MRI冠状位及矢状位扫描显示原蝶骨平台及鞍上占位病变接近完全消失。
然而一年零一个月后,熟悉的剧烈头痛再次袭来,这次还伴随着双眼发黑,持续了约半小时。增强MRI检查发现肿瘤又出现了,而且与垂体腺分界不清,再次沿着蝶骨平台和斜坡颅侧生长。新出现的强化信号提示肿瘤性质可能发生了变化(图2)。眼科检查这次发现了右眼中心暗点和红色色觉异常。

图2.(A、B)矢状位及轴位T1加权增强MRI显示鞍区及鞍上占位复发,与垂体腺分界不清,病灶再次沿蝶骨平台及斜坡颅侧延伸。(C)梯度回波序列显示病灶呈显着磁敏感效应,并新出现强化灶。
鉴于病情复杂,医生决定通过内镜经鼻经结节入路进行活检。病理结果终于揭开了谜底:上皮样肿瘤细胞,MIB-1增殖指数高达30%-50%,符合高级别脑膜瘤的特征。尽管重启了地塞米松治疗,但剧烈的每日头痛仍需依赖羟考酮才能缓解。
这一次,必须要手术了
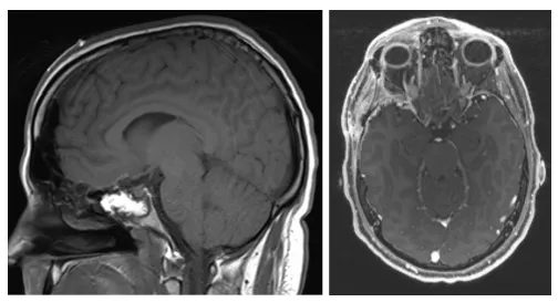
最终,我接受了经额颞入路手术。手术中发现肿瘤质地很软,但已经压迫到了右侧视神经。医生为我切除了肿瘤(图3),视神经管得到减压。术后病理确诊为WHOⅡ级脑膜瘤。

图3.(左)矢状位T1加权及(右)轴位T1加权增强MRI显示病变全切除,未见残留病灶。
术后我的头痛明显改善,右眼视力问题也消失了。术后3个月接受了辅助放疗(总剂量5400 cGy/30次),虽然有些皮肤反应和疲劳,但最后一次随访(术后5个月)时,我的神经功能完好,没有留下任何后遗症。
案例来源:INC国际神经外科医生集团旗下组织世界神经外科顾问团(WANG)成员教授发表论文。

- 文章标题:突发剧烈头痛、短暂失明:一个在脑子里“消失”又出现的离奇脑膜瘤
- 更新时间:2025-11-29 20:00:52
400-029-0925




