良性脑膜瘤通常生长缓慢、病程平稳,但这一例2011年发表于神经外科SCI期刊的案例却展现了一场突如其来的生命危机:患者从头痛就诊到转运途中昏迷,病灶在30小时内连续两次破裂出血,病情急转直下。该案例之所以被专业期刊收录,正是因为它以极具代表性的方式,揭示了这类罕见但凶险的临床情境,也提醒我们即使面对“良性”诊断,也需保持对急性恶化可能的高度警觉。

罕见良性脑膜瘤突发“二连击”致命出血,65岁老人惊险闯关
突发:持续头痛眩晕就诊,转运途中突陷昏迷!
一名65岁男性因持续性头痛、眩晕24小时,自行前往当地医院就诊。尽管当时除头痛眩晕外,并无其他明显神经功能缺损症状,且患者无慢性病史、未服用任何药物,基础血液检查亦全部正常,但病情却潜伏着巨大危机。
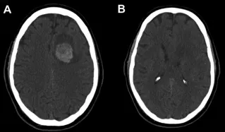
增强CT扫描揭示出险情:其左侧额上回区域发现一个与硬脑膜相连的类圆形病灶,内部已见出血迹象(图1A,B)。诊断指向一种罕见的脑膜瘤相关出血。

惊变:症状出现30小时,病情急转直下!
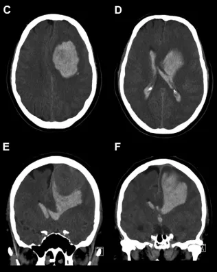
就在入住地区医院约6小时后,患者被紧急转往上级神经外科中心。转运途中,惊险一幕发生——患者突然陷入昏迷!经紧急抢救,生命体征方趋稳定。抵达后紧急复查CT,结果令人震惊:原病灶周围爆发大量脑实质内及脑室内出血(图1C–F),颅内情况急剧恶化。综合研判,这是一例极其罕见的、与良性脑膜瘤相关的“两阶段”复发性大出血事件,第二波出血来势汹汹,直接危及生命。

抢救:紧急手术清除病变,3个月后恢复良好!
时间就是生命!神经外科团队立即施行紧急开颅手术,成功将实体肿瘤及周围巨大的血肿全部切除,并留置脑室外引流管以缓解颅内压力。经过精心治疗,患者术后恢复顺利,引流管如期拔除,未出现脑积水。术后三个月随访时,其右侧偏瘫已显著改善,无其他神经后遗症。MRI确认脑膜瘤已完全切除,颅内无任何出血迹象。
术后组织病理学检查显示为过渡型脑膜瘤(WHO I级),未侵犯脑实质,但可见急性及残留的出血成分。未发现病理性血管、梗死、坏死或符合非典型特征的形态学改变。组织病理学检测到富含红细胞的新鲜出血区域,以及含铁血黄素沉积和早期吸收过程的微小区域,表明该良性脑膜瘤此前曾发生过微出血。
该研究由INC国际神经外科医生集团旗下世界神经外科顾问团成员Helmut Bertalanffy(巴特朗菲)教授等人发表。据该研究所知,这是首例通过颅内CT扫描和组织病理学检查确认的良性颅内脑膜瘤急性两阶段出血(WHO1级脑膜瘤)患者报告(以论文发布时间为准)。早期手术,彻底切除肿瘤,为患者带来了良好的疗效。

良性脑膜瘤会恶化吗?
关于这个问题我们先来了解下脑膜瘤的分类。
2021年WHO CNS肿瘤分类法根据形态和分子学标准对脑膜瘤进行了分类,共分为3个级别:
1级脑膜瘤,属良性亚型;
2级脑膜瘤,具有中等进袭性行为,通常表现为组织学的不典型性;
3级,表现出进袭性的恶性行为。
尽管脑膜瘤绝大多数都是良性的,生长缓慢,但如果不及早诊断,这些肿瘤可能会达到相对较大的体积,导致显著的致死致残率。特别是当它们出现在手术无法到达的区域时。它们经常压迫或包裹邻近的脑组织和结构,如血管和脑神经。治疗在很大程度上取决于肿瘤的位置、分级和症状。脑膜瘤通常侵犯邻近的解剖结构(尤其是硬脑膜),在侵袭性更强的亚型中,局部扩散的速度和范围通常更大。
一些研究和一些自然史研究表明,大多数无症状脑膜瘤的生长速度约为每年2.4mm。当然,每种肿瘤、每个人的肿瘤生长速度都是不一样的,而且也不是匀速生长。脑膜瘤有良恶性之分,一般良性的脑膜瘤手术切除干净后也有望达到治好的目的,首次手术至关重要。患者大可不必过于担心它会恶变,只要积极进行治疗,良性肿瘤恶性的几率非常小,当然有一些报导了放疗后可能诱发脑膜瘤的恶变。而恶性脑膜瘤的生长速度较快,没有包膜,界限也不明显清晰,通常呈浸润性生长且分化显示不良好,不及时治疗可能肿瘤侵犯压迫脑组织引起肢体瘫痪、面瘫、言语不利等可能。
简单来说,虽然绝大多数的良性脑膜瘤不会“恶化”成癌症,但它们本身的存在和生长就可能带来严重问题。
上面的报道就是一个罕见但鲜活的例证。我们可以从几个层面来理解:
1)病理性质上:大多数为良性,但需警惕恶性发生
绝大多数为良性:约90%的脑膜瘤被归类为WHO 1级,属于良性肿瘤。它们生长缓慢,细胞形态接近正常,不会像癌症那样侵入脑组织或发生远处转移。
少数具侵袭性:约9%为WHO 2级(非典型),生长较快,有一定复发倾向。约1%为WHO 3级(间变性/恶性),具有明确的恶性生物学行为,可局部浸润甚至罕见转移。
病理分级需术后确定:最终分级需要通过手术切除后的病理分析才能明确,影像学检查只能推测。
2)临床影响上:即使“良性”,也可能“恶化”病情
这才是最关键的一点。一个病理学上的良性肿瘤,完全可能引起严重的临床后果,主要是通过以下方式:
1.占位效应:肿瘤在密闭的颅腔内生长,压迫重要的脑组织、神经或血管。尤其发生于颅底的脑膜瘤,
2.损伤神经功能:根据生长位置,可能导致癫痫、肢体无力、视力下降、听力丧失、性格改变等严重神经功能障碍。
3.引起脑水肿:肿瘤周围可能产生严重的脑水肿,进一步加重颅内压力。
4.突发危急状况:如报道所示,肿瘤可能引发急性出血(肿瘤卒中),导致病情在数小时内急转直下,危及生命。
正因为存在上述风险,对于良性脑膜瘤的处理原则并非“因为是良性的就不管”,而是:
对于小型、无症状的肿瘤:可以采取“积极监测”策略,定期(如每6-12个月)进行MRI检查,观察其生长速度。
对于有症状、或明显生长的肿瘤:手术全切是首选且可根治的方案。现代神经外科技术(如神经导航、术中电生理监护等)已能安全切除大多数脑膜瘤。
比如该案例中,发生了与颅内脑膜瘤相关的两阶段复发性出血导致的快速、危及生命的病情恶化。在伴有脑膜瘤相关性出血的患者中,患者的临床状况常因占位效应的急性影响而恶化。即使对于仅有轻微出血的良性脑膜瘤患者,也建议早期手术并完全切除肿瘤,因为本报告表明复发性出血可能使患者的临床状况恶化。若出现任何提示活动性出血或伴有占位效应的更晚期出血征象,则必须进行手术干预。
对于手术难以全切的肿瘤:术后可能辅以放疗,以控制残留肿瘤的生长。
总结
良性脑膜瘤在细胞性质上恶变(癌变)的风险极低,但其引起的占位压迫、神经损伤或突发出血等临床后果,完全可能使患者的病情急剧“恶化”,甚至致命。因此,任何脑膜瘤,无论良恶性,都需要由神经外科医生进行专业评估和长期管理,绝不可因其“良性”的诊断而掉以轻心。
- 文章标题:良性脑膜瘤为何会突然恶化?从头痛到昏迷仅30小时,65岁老人遭遇罕见肿瘤危机
- 更新时间:2026-01-30 11:29:48
400-029-0925




