脑干海绵状血管瘤是什么病?孩子脑袋里长了这样一个“不定时炸弹”该怎么办?今天INC以动画科普结合真人案例的方式,精选交流数位INC巴特朗菲教授成功手术的儿童脑干海绵状血管瘤案例,一起来看看这些脑瘤小勇士是如何打败可怕的脑干海绵状血管瘤?
确诊脑干占位,先行保守治疗
5岁的阳阳活泼好动,是幼儿园里的小明星。任谁也想不到,就在一年前,他曾被医生告知病情危重,需要在ICU留待观察,这,都要从一颗“海绵炸弹”说起。

阳阳三岁时突发右侧肢体无力,手拿不稳东西,走路磕绊摔跤,父母带他就医检查发现,影像显示脑干占位,怀疑海绵状血管瘤可能。医生表示病变没有出血,可以先保守观察。

病情复发来势汹汹,脑干“禁区”难以突破
好在阳阳也很快好了起来,但两年后,阳阳出现了活动性脑干出血,短短半个月里,病情迅速进展,不仅头痛难忍、肢体无力,还增加了面瘫和言语障碍问题。

医生表示病变位于脑干,所以手术难度很大,术后情况较有可能还不如现在好,较坏的结果是出不来手术室,建议保守治疗。

但一开始脑干出血以后,出血频率可能越来越高、引发的症状会越来越重,当出血量大于2ml时就有很高的生命风险,大于5ml时就死亡率高达75%,达到10ml时死亡率几乎百分百。

巴特朗菲教授:切除率接近全切
面对这样的两难情况,阳阳的父母选择了联系INC,强烈要求由国际神经外科联合会(WFNS)教育委员会前主席,欧洲神经外科杂志《Neurosurgical Review》主编(2004-2016)巴特朗菲教授主刀手术。

教授在术中电生理监测等设备的辅助下,为阳阳顺利全切了病变。术后当晚阳阳就从麻醉中复苏了,神志清楚,思路清晰,四肢活动自如,术后2天迁出ICU,回到普通病房和父母团聚;

术后3天,可自行持筷用餐。术后5天,能在护士的照顾下独自行走,进行康复锻炼。术后8天还未拆线,阳阳就顺利出院回国了。

术后回访结果显示,阳阳肢体活动、生活如常,和原来一样活泼好动。
阳阳父母感谢巴教授和INC,更感恩他们当初的果决选择,让曾经身怀“不定时炸弹”的阳阳,重回到如今的健康人生。

除了阳阳外,INC也曾接诊过许多,如阳阳这般病情疑难的患者,他们坚定选择、配合,与我们共同打赢了一场场生死之战!点击阅读阳阳的详细治疗故事:“没有复发、满意”2023年5月INC国际教授脑干海绵状血管瘤患者随访实录
7岁女孩果果——脑干中脑海绵状血管瘤
术后症状即刻好转、术后1天转出ICU
术后4天采访
“二次出血之后,去北京被拒绝手术,让尽快转院。整个过程让你觉得对一个8岁的女孩,你可能就是要放弃她了,就是让你等死。你说哪个家长能接受得了?孩子眼睛的光反射都没有了,眼球运动也有点费劲了,她就动不了。但是巴教授说出血就意味着恶化的可能性需要尽快手术,然后我们就来苏州了。决定来苏州当天晚上我也联系好了医疗转运、高铁、救护车。我们到苏州之后,心就落了下来。手术出来的效果其实比评估报告当中要更好。
很多家长都是观望,就是病不出血就没事儿,但其实很危险的。如果再次出血,出血量加大的情况,病情肯定会加重。你要尽可能的去保障孩子在这个过程当中的顺利性,这个越早恢复越好。因为这种病虽然不出血了,慢慢好起来,但是这种危险性是随时出现的。可能是你大怒或者是累了,可能躺的过程当中也会出血,就是这样。”
果果巴教授示范手术回顾
患者情况:
脑干-中脑海绵状血管瘤,患儿果果年仅7岁。曾四处求医被拒绝,“无法手术、风险太大”。肿瘤位于脑干中脑偏右侧、位置深在、难以进入。且累及动眼神经核,由于肿瘤对动眼神经核的损害,果果已经出现严重的动眼神经麻痹严重,一只眼睛眼皮无法抬起、瞳孔散大。如果手术中动眼神经核被完全损伤,果果的单侧眼睛将不能活动、远远无法睁开。此外,果果本身年龄小,体重轻,对手术和术中出血控制的要求高。
治疗回顾:
巴教授3月来华前夕,由于出血症状加重果果跨省急救,通过医院、铁路部门等多方联动,顺利乘上医疗转运高铁,紧急赶往苏州大学附属儿童医院。术前谈话时,果果坐着轮椅进来,有些虚弱,缺乏生气、走路不稳、手抖以及抓东西不稳。
而在巴教授成功示范手术后1天早上,ICU外,一直守候着孩子的果果家人就等到了巴教授的好消息——“眼睛可以动,没有任何问题。今天就可以出ICU,回到普通病房!”果果术前的一个眼睛是抬不起来的,现在已经可以慢慢抬起来了!两只手都可以动,也能摸到鼻子,腿也可以动。术后5天普通病房查房:“眼睛转一转”“手抬一抬”,果果肢体活动正常、眼球运动有了很大的好转。

▼果果妈妈送上鲜花对巴教授表示感谢

正在上小学的贝贝——脑干海绵状血管瘤
“来的时候躺着,现在已经和正常人一样了”
术后2个月采访
“孩子随时都有可能‘走掉’,其实当时是没有任何的办法。巴教授正好在苏州地区,了解巴教授在这方面的水平是的高,所以我们把孩子送到苏州儿童医院,决定要请巴教授示范手术。手术后,2天就出ICU了。当时看到孩子一眼,心里面就是的开心,因为她那时候已经可以说话了。医院里也没住多久我们就也就出院了。
巴教授的方案就是要尽快的去动这个手术。那么实际也证实了,他的方案是对的,你看我们小朋友今天这个各方面恢复的特别特别的好,所以特别感谢巴教授。我看了很多的资料里面都会说,多多少少都会有些后遗症,但是你看我们确实是,是出超出我们的这个预期。”
贝贝巴教授示范手术回顾
患者情况:
正在上小学的贝贝,脑干海绵状血管瘤急性出血、迅速恶化,半身瘫痪,通过120急救送进ICU,如此危机的情况下,还有办法吗?
治疗回顾:
巴教授1月中国行期间进行了一例示范教学手术,经过紧急抢救,不但病灶全切,生命保住,而且意识恢复清醒,四肢活动自如。

术后2天查房,贝贝肢体活动正常。“今天早上吃了好多粥”看着孙女恢复越来越好,贝贝奶奶无比感激,她对贝贝说道“这是救你命的爷爷”。
术后2个月再次见到她时,乌黑的头发扎着马尾、肉嘟嘟的脸蛋可爱,声音洪亮,充满个性。已经回归正常学习和生活,还写字给巴教授看。

巴教授为她进行了随访,“片子好,脑干形态已经恢复正常,1年以后再次复查即可。”就像凤凰涅槃重生,经历了与死神的擦肩而过,贝贝能一往无前下去!
2岁患儿聪聪——脑干桥脑海绵状血管瘤
脑干术后生长发育完全正常
术后4年采访
“回顾过去然后其实就一个问题,我为什么会做这样的决定?在这件事情当中,我自己学习了很多。比如说如何面对问题和需要决策的紧急的情况下,我该如何去做一个更加合理的选择。从这件事来讲,我觉得我和我太太做的决定,真的是棒较了。INC合作的医院配套的设施,包括专家的这样的一些团队,他的服务以及能力,也都是的。我觉得看到巴教授,我的整个心就已经已经完全落下来了,这次我心想已经是完全没什么问题了。
手术后,孩子大概在医院待了有一个星期,七、八天就出院了,出院时就在我车的后座里面比较活泼了,蹦蹦跳跳就感觉很正常了。后续也不用吃药,也不用康复,我觉得这个已经是人较大的幸福了。对于其他的病人来讲,他可以完全相信INC和巴教授……”
聪聪巴教授示范手术回顾
患者情况:
2岁的聪聪,因为出现持续20多天的双眼斜视、不自主扭头、走路不稳等症状,父母遂带其送医检查,核磁结果提示脑干海绵状血管瘤。
治疗回顾
2019年,在苏州大学附属儿童医院,手术由巴特朗菲教授亲自操刀,将20mm大小的脑干桥脑海绵状血管瘤完全剥离。术后10天出院,术前症状已基本消失,面瘫减轻,无斜视,走路等运动能力完全正常。

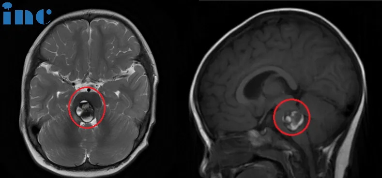
术前:脑桥占位。双眼斜视、畏光,面瘫,频发不自主扭头动作,走路稍有不稳。头颅MR(红色区域)显示:脑桥血肿,可见16 x 22 x 21mm肿块,四脑室受压变窄。

术后:头颅MR(蓝色区域)显示小脑半球及脑干形态正常,中线结构居中,原脑桥内团块状信号消失。
术后4年INC随访,期间未复发,生长发育完全正常。热爱运动和社交的他是幼儿园的小明星,明年聪聪还将升入小学,祝福他未来继续快乐健康成长。

12岁男孩小宇-脑干桥脑海绵状血管瘤
出手术室即清醒,术后二天正常吃饭
术后10天采访
“从去年到今年整个这一年,我就觉得像噩梦一样。现在我们全家都特别高兴,包括我老父亲都91了。全家人的心都都放到肚子里面了,真的都跟我们操了一年的心,全家人都为这个孩子就是操心的,特别着急。我们全家人的这场梦噩梦就过去了,真的过去了,孩子就是逐渐的变好。
我觉得我能选择巴教授给我儿子做手术是正确的,是对的。我儿子现在能走,语言正常也能说话,智力也也不低,什么都正常,我觉得真的很棒,真的很好,这个手术做的太值得了!”
小宇巴教授示范手术回顾
患者情况:
12岁少年小宇罹患脑干海绵状血管瘤;四处求医后,小宇妈妈被告知手术风险较大:“孩子可能视神经、吞咽功能、语言...都会受损。”通过国内一些神外专家的,小宇妈妈找到了巴特朗菲教授。巴教授肯定答复小宇妈妈手术术后孩子不会瘫痪,不会造成新的神经损伤。“我觉得把孩子交给巴教授我特别放心!”小宇妈妈决定寻求巴教授手术。
治疗回顾
天无绝人之路,通过国内一些神外专家的,小宇妈妈得知了INC巴教授即将来华进行手术示范。“我现在都能想起来当时巴教授给我们的结论,听了以后我心里面特别激动!巴教授肯定答复说:您放心,我不会让你儿子瘫痪的。我肯定不会碰到神经。我觉得把孩子交给巴教授我特别放心!”
2022年11月20日,12岁男孩小宇因确诊脑干海绵状血管瘤接受了INC巴特朗菲教授的顺利全切手术。手术后,出手术室,小宇即清醒;术后二天正常吃饭;三天可下地行走;提到近期儿子的状态,小宇妈妈笑得合不拢嘴:“我儿子说妈妈,我想要自行车。我健康了,你给我买个自行车行么?”再次见到小宇时,他长高了,也长壮了,成为妈妈的小男子汉。

巴教授儿童脑干海绵状血管瘤其他案例交流
案例1:
3岁女孩脑桥海绵状血管瘤,已经在其他地方做过一次手术,有一部分病灶没有切除。出现外展神经麻痹和面瘫。为其顺利全切,孩子预后良好。

案例2:
3岁男孩,轻度偏瘫六神经麻痹。顺利全切

案例3:
中脑海绵状血管瘤顺利全切

脑干海绵状血管瘤并不是不治之症,可以通过前沿手术而治愈,关键及难点是全切血管畸形且不造成手术相关性神经损伤。目前这些疑难位置脑海绵状血管瘤对于医生来说依旧具有很大的挑战性,只有少数神经外科专家能够实现手术顺利全切、无后遗症、没有复发的更好治疗。

德国Helmut Bertalanffy(巴特朗菲)教授
国际神经外科联合会(WFNS)教育与技术委员会前主席
国际神经外科联合会(WFNS)提名委员会前主席
欧洲神经外科杂志《Neurosurgical Review》主编,2004-2016年
擅长领域:擅长颅底、脑干病变、功能区、大脑小脑、脊髓等复杂位置的肿瘤性、血管性疾病的手术治疗,擅长颅底、脑干等复杂区域病变的肿瘤切除术、神经吻合术等,脑干病变成功手术病例上千台,以高超的手术技术不损伤神经功能且全切病变。
400-029-0925




