当时间被切割成一段段回忆,对于42岁的林先生来说,过去的12年是一场无休止的“车轮战”。尽管他面对的始终只有一个对手——那个巨大、顽固的脑膜瘤,但无论他换多少种“战术”,结果似乎都只剩失败,他也不得不为此付出了巨大的代价:面瘫、失聪……
然而,当12年后的他再次从病房中醒来,他似乎听见了裁判宣布胜利的口哨。妻子熟悉的嗓音响起,带着前所未有的雀跃:“和10年前的那一次手术相比,这次他术后的状态好了很多!”

病床旁,为他进行此次手术的主刀巴教授仔细检查着他的身体状况,这一次,他没有再出现新发神经功能缺损,精神也恢复得很快。巴教授也夸赞道:“很棒!”他这才体会到迟来的喜悦:这个曾经逃过了第一次手术、两次伽马刀以及中药治疗的脑膜瘤,终于被他打败了!

一次手术&两次伽马刀
等来的却是面瘫、复发……
30岁的林先生,在反复的头晕发作后被检查出一个位于右侧岩斜区的占位性病变。时间就此划下一道泾渭分明的分界线,往前是他平凡而温馨的生活,往后却是浓浓的一片雾,他和妻子站在分界线后,无助地看着彼此。
尽管医生告诉他们手术无法全切,但林先生还是接受了第一次肿瘤切除手术。然而,这一次的手术并未给他们带来好运。手术后,林先生出现了面瘫的症状,术后病理显示为脑膜瘤(WHO I级)。
更令他们没想到的是,这个生长缓慢的肿瘤竟在不到1年的时间内就复发了!首战失败,林先生思考良久,决定换一种“战术”来解决它——伽马刀。两年后,第二次伽马刀治疗也顺利结束。
此后,松了一口气的林先生在开始中药调理的同时,也接受着密切的随访,他的状态似乎保持稳定,但就在6年后,意料之外的转折令他们再次陷入绝望之中……
耳朵里长出异物
脑膜瘤也突然激长
2021年,林先生的右侧耳朵持续流出液体,同时伴有发烧的症状,一检查才发现,耳朵里竟长出了一个奇怪的“肿瘤”。为了切除这个异物,林先生再次接受手术,术后病理诊断为“不能除外脑膜瘤(Ki67约3%)”。然而,这一次手术后,林先生的右耳也彻底失聪。
原来,右耳流液的情况早已在第一次开颅手术后就已出现,医生判断可能是第一次术后的脑脊液漏。尽管此时的林先生早已身心俱疲,但是他脑中看似“安分”下来的脑膜瘤却并未就此放过他,依旧对他不依不饶。
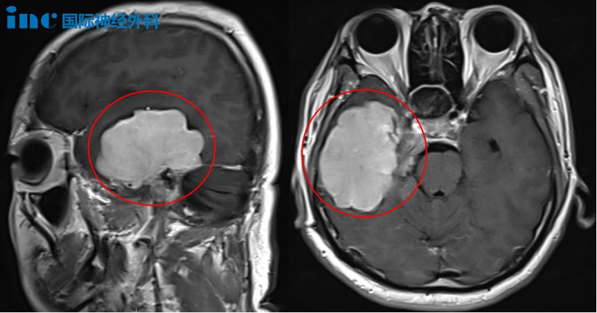
3年后,林先生复查核磁时发现肿瘤体积显著增大,右侧岩斜区、右颞底、乳突区及右侧小脑幕均被肿瘤侵犯,甚至已经把三叉神经和滑车神经360°无死角的包裹。其中右颞叶较大的病灶已达到32*31*25mm。1年多后,脑膜瘤持续生长,右颞叶较大的病灶更是达到惊人的67*49*47mm!

面瘫、失聪……肿瘤对林先生无所不用其极,只为了吓倒他。然而,这12年来,与这个顽固肿瘤的对抗并未就此消磨掉他的勇气,反而令林先生在家人的支持下愈挫愈勇,因为他明白,家人的爱就是他最大的底气。
搏一搏吧
这一次他们打赢了
找到巴教授,成为后来林先生一家十分庆幸的事情。他们始终记得当时巴教授给出的咨询回复,让他们又燃起再次手术的希望。

巴教授回复:“手术具有明确指征,且实施可行性极高。此前的伽玛刀治疗不会对本次手术造成任何影响。最佳手术时机为患者身体条件达到治疗要求后尽早实施;但为避免肿瘤进一步生长,以及因肿瘤体积增大可能引发的不良后果,手术干预务必在今年年底前完成。该部位手术风险非常低,我认为该患者预后良好。”
就这样,林先生一家在考虑后毅然决定前往北京天坛医院,接受巴教授的手术。手术中,巴教授凭借精细操作将肿瘤完整剥离并实现满意切除。为预防脑脊液漏,巴教授还使用患者大腿部筋膜进行修补填充。
手术的顺利令林先生妻子十分激动,在术后第一天巴教授进行查房时,她不禁感慨:“和10年前的那一次手术相比,这次术后状态好了很多!”而在巴教授的检查下,林先生也已恢复精力,肢体运动并未受到影响,令巴教授十分开心:“很棒!”
一场与脑膜瘤的12年“车轮战”告一段落,林先生真正从劫难中逃出。那一声象征着胜利的号角,不仅是过往的结束,更是他和家人新生活的起点。
案例来源:巴教授2025年9月于国内手术案例
- 文章标题:12年治疗无果后脑膜瘤失控生长,他还能拿什么搏出一片生机?
- 更新时间:2025-10-15 11:02:26
400-029-0925




