嗅沟脑膜瘤容易复发吗?术后要怎么调养?嗅沟脑膜瘤的复发情况与多种因素有关,包括肿瘤的良恶性、手术切除的彻底程度以及患者的个体差异等。 一、嗅...
嗅沟脑膜瘤MRI怎么看?手术后会复发吗?MRI(磁共振成像)是诊断嗅沟脑膜瘤的重要影像学工具,其能够提供高对比度、高分辨率的脑部图像,对于肿瘤的位置、...
脑膜瘤手术后遗症多吗?能治好吗?脑膜瘤手术后遗症的多少以及是否能治好,取决于多种因素,包括肿瘤的位置、大小、生长速度、患者的年龄、健康状况...
良性脑膜瘤手术时间多长?术后能活几年?良性脑膜瘤是一种起源于脑膜(覆盖大脑和脊髓的薄膜)的肿瘤。由于它们是良性的,这意味着它们通常生长缓慢且不...
斜坡脑膜瘤是一种发生在脑膜上的肿瘤,通常位于颅底部的斜坡区域。这种肿瘤比较少见,但手术治疗效果良好。在选择手术专家时,可以参考一些和评价...
脑膜瘤3Cm严重吗? 脑膜瘤手术 后多久恢复? 脑膜瘤(Meningiomas)是一种常见的颅内肿瘤,在颅内肿瘤中占二位,是起源于脑膜及脑膜间隙的衍生物。大多数脑...
【脑瘤治疗案例汇总】INC曾接诊的这四个真实的疑难脑瘤手术案例或许正能解答大家的这些疑问。就这些案例患者而言,术前教授都曾给到他们明确的可以...
桥小脑角区 脑膜瘤 ,通常压迫周围许多重要神经血管、小脑甚至脑干,大肿瘤,手术难度大,手术不慎易残留肢体瘫痪、面瘫、听力损伤等。完整切除桥...
一个年轻的脑膜瘤患者,做过一次全切手术,5家医院对她的脑膜瘤病理分析结果不一,后续治疗到底何去何从...
大脑镰旁脑膜瘤 是指位于大脑纵裂并与大脑镰相连的一类临床上常见的 脑膜瘤 ,常突入一侧大脑半球内,有时可向双侧发展。其中大多数是良性的,恶性...
脑膜瘤 好发部位有哪些?分别都有什么样的症状?得了脑膜瘤怎么治疗比较好?术前术后护理需要注意什么?关于脑膜瘤诸如此类的问题无疑是很多患者及...
大孔脑膜脑膜瘤 (FMM)占全部颅内脑膜瘤的1.8-4%,约占颅后颅窝脑膜瘤的6.5%。尽管显微外科和颅底技术不断发展,但枕骨大孔区脑膜瘤(FMM)的外科治...
Q:脑膜瘤术后持续打嗝怎么办? A:打嗝术语即呃逆,呃逆的产生主要与呃逆反射有关,当迷走神经和大脑因各种原因受到损害和刺激时,神经冲动会沿着...
脑膜瘤手术后还会不会复发?脑膜瘤手术后能活多久?只要患者在全切后坚持定期复查,及时发现和治疗,脑膜瘤患者也可以过正常的生活。...
从生物学上讲,大多数脑膜瘤是良性的,但某些脑膜瘤可能具有侵略性且难以治疗,是当它们围绕神经或血管时。脑膜瘤术后有残留就会复发吗...
脑膜瘤 是成人较常见的颅内肿瘤,每年每10万人中女性和男性的发病率分别为10.26和4.55,在尸检和脑成像研究中患病率约为1.5%。多数临床无症状的偶发脑膜...
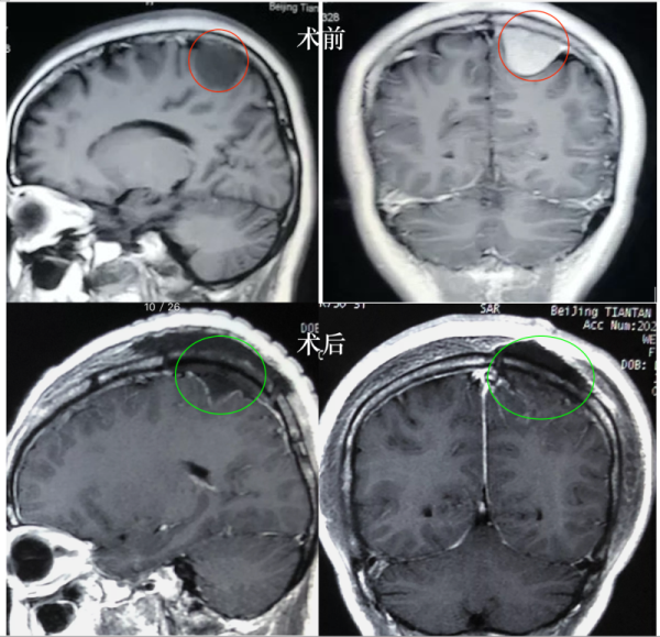
从MRI和CT影像上来看,肿瘤的控制成功,没有肿瘤残余,也并无手术并发症的产生。建议2-3年再次复查MRI。这是INC国际神经外科顾问团的德国Helmut Bertalanf...
全部疾病状况及其管理都带有并发症的内在可能性。在诊断或其治疗中,并发症可被称为疾病的不利影响或不良后果。关于什么是手术后并发症的观点存在...
即将进行脑膜瘤脑外科手术治疗的患者可能会担心恢复期会发生什么,比如脑膜瘤术后多久恢复?恢复期我和家人需要做些什么...
脑膜瘤 是围绕大脑的组织的异常生长,称为脑膜。通常,脑膜瘤只需要医生定期检查和神经影像学检查,因为肿瘤生长缓慢。然而,有时肿瘤会压迫大脑或...
1级脑膜瘤切除术后放射外科治疗时机是否影响远期结果?脑膜瘤是较常见的颅内良性肿瘤。伽玛刀立体定向放射外科(GKSRS)已成为复发或残留脑膜瘤的优选...
脑膜瘤听起来很可怕,但实际上它是一种良性肿瘤,对人体的危害不如恶性肿瘤大。此外,脑膜瘤通常发生在中老年人身上,对我们的危害不容小觑。患者...
经过了手术治疗脑膜瘤之后,病人的体能等各方面消耗都很大,这时候需供给充足的热量和营养的食物来恢复病人的元气。那么脑膜瘤术后吃什么好呢...
脑膜瘤切除术后复发的预后因素,脑膜瘤占美国诊断的全部原发性颅内肿瘤的38%,是中枢神经系统较常见的肿瘤。尽管许多脑膜瘤生长缓慢,但有相当一部...
Nakamura等人发现,分别为65岁和70岁的两个年龄组患者之间的并发症发生率没有差异。无症状脑膜瘤通常无需手术即可随访,是在发病率和死亡率较高的老年...
脑膜瘤是起源于硬脑膜蛛网膜细胞的中轴外中枢神经系统(CNS)肿瘤。脑膜瘤占全部颅内肿瘤的14.3-19%,较常见的非胶质原发颅内肿瘤。只有1.8-3.2%的脑膜瘤位...
嗅沟脑膜瘤占颅内脑膜瘤的8%~13%,起源于筛板及其附近的硬脑膜,肿瘤常以中级部位的嗅沟为中心,沿前颅底向两侧膨胀性生长,向上发展抬高并压迫双侧...
良性脑膜瘤手术后遗症有哪些?患者在以下情况下可以进行手术治疗: 脑膜瘤远离重要结构,边界清晰:如果有证据,医生也可以切除难以触及的肿瘤。然...
问:脑膜瘤手术后偏瘫,9月30号做的手术,手术6个小时,医生说手术很成功,术后左半半身大腿胳膊等失去知觉,10月6号开始做高压氧跟针灸康复治疗,现...
脑膜瘤手术后有哪些不良后遗症?我们所提到脑膜瘤的后遗症,就是指在对脑膜瘤切除后出现的一些不良症状。而不是药物治疗后的非正常表现。 脑膜瘤手...
脑室内脑膜瘤是出现于脑室内的脑膜瘤,源于脑室系统的脉络丛组织。临床医学上是属于少见的脑膜瘤类别当中又以源于侧脑室脉络丛的侧脑室脑膜瘤更为...
脑膜瘤患者术后护理方法,脑膜瘤患者术后护理方法如下:1。术后全身麻醉未清醒的患者采取侧卧位,意识清醒。肿瘤体积大的患者应在术后24小时内保持手...
脑膜瘤手术后遗症有哪些?如何顺利治疗脑膜瘤? 脑膜瘤可以生长并压迫大脑或脊髓,引起头痛、癫痫、视野模糊、手臂或腿部虚弱等症状。正因为脑膜瘤...
问:脊髓脑膜瘤术后后遗症有哪些? 答:脊髓脑膜瘤较颅内室的发病率相对少见,约占中枢神经系统脑膜瘤的1.2%。脊髓脑膜瘤一般是硬膜内和髓外的。脊...
脑膜瘤是一种常见的颅内肿瘤,对人体健康危害很大。常见的治疗方法是手术切除,但术后相关的预防和护理工作也重要,可以更好地帮助患者恢复...
在中国某个小城的一个班级里,有一个很奇怪的情况,在这个班上的男孩全都剃成了光头。原来是因为这个班级的老师邰慧,因为被诊断患了 脑膜瘤 ,经...
脑膜瘤的康复是一个复杂的过程,涉及一系列的医疗、心理和社会结果。脑膜瘤术后康复治疗是什么?手术后多长时间可以出院?...
临床治疗脑膜瘤的方法有区域局限性,因此大多数患者采用手术治疗疾病,但只有手术不能完全恢复,也应配合术后注意事项。那么脑膜瘤手术后应该注意...
脑膜瘤的术后并发症有哪些?脑膜瘤是一种良性肿瘤。因为良性肿瘤的生长速度比较慢。也不容易出现扩散。所以患者出现的临床症状与肿瘤的位置有关。...
80%以上的WHO 1级脑膜瘤患者在确诊后可存活5年或更长时间,但只有不到60%的高级别脑膜瘤(WHO 3级脑膜瘤)在诊断后存活5年或更长时间。当然,我们评估患...
脑膜瘤二级放疗需要几个疗程 脑瘤放疗一个疗程的时间长短与疾病种类、治疗方法密切相关,不同疾病治疗方法不同,照射时间长短也不同,通常放疗一般...
鞍结节脑膜瘤手术成功率大吗? 任何手术都有的风险。考虑到老年人年龄较高,可以去医院检查。如果符合手术适应症,可以采取手术治疗。多吃营养丰富...
脑膜瘤不开刀能活多久?脑膜瘤不开刀能活多久,一般要看患者的体质怎么样,和肿瘤发展到何种程度了,增长到多大了。具体能活多久,不能一概而论,...
许多脑膜瘤患者有很大的治愈机会。前提是肿瘤生长在可扩大切除的部位,可实现Simpson一级切除。Simpson一级切除是指不切除肿瘤,切除肿瘤累积的硬膜,...
脑膜瘤是一种生长缓慢、病程长的良性肿瘤。由于肿瘤的肿胀生长,患者经常出现头痛和癫痫。视力、视力、嗅觉或听觉障碍、肢体运动障碍等。脑膜瘤运...
蝶骨脊脑膜瘤是颅底较常见的脑膜瘤之一。根据其位置,可分为蝶骨脊外侧、蝶骨脊中部和蝶骨脊内侧三种类型。目前,蝶骨脊脑膜瘤的病因尚不完全清楚...
脑肿瘤是发生在大脑中的中的肿瘤。这种恶性肿瘤被称为恶性脑肿瘤。它可分为原发性颅内恶性肿瘤或通过身体其他器官转移到大脑引起的颅内肿瘤。它也...
恶性脑膜瘤能治愈吗? 如果恶性脑膜瘤可以性脑膜瘤,比如脑膜瘤的根部,周围受侵袭的骨质,脑膜都会被切除。这个时候可以大大降低它复发的概率。恶...
脑膜瘤手术患者能好多久,没有统一的标准,术后恢复时间由肿瘤生长部位、手术技能、患者基本情况、并发症等方面有的关系: 肿瘤生长部位:例...
脑膜瘤术后放疗的较佳时间 脑膜瘤需要术后放疗,一般在术后10天左右,切口完全愈合后即可开始。但如果患者切口愈合不良,或伴有感染,或患者体质较...
胶质脑瘤的存活率是多久? 胶质瘤是一种恶性颅内肿瘤,但其存活时间因肿瘤水平而异。一般来说,世卫组织的分级是四级。此外,还有一种类型。现在我...
INC法国Froelich教授:28773名脑膜瘤患者手术后总生存率研究 脑膜瘤是颅内较常见的脑外肿瘤,在美国中央脑肿瘤登记中占36.8%。大多数脑膜瘤是散发性的,在...
脑膜瘤采用不同治疗,防止术后复发。脑瘤的治疗是从患者体内提取部分免疫细胞,然后在体外培养。诱导、激活等一系列操作,使其抗肿瘤活性大大提高...
链接/Links: 北京天坛医院 | 首都医科大学宣武医院 | 复旦大学华山医院神经外科 | 脑胶质瘤 | 脑海绵状血管瘤 |