脑膜瘤是围绕大脑的组织的异常生长,称为脑膜。通常,脑膜瘤只需要医生定期检查和神经影像学检查,因为肿瘤生长缓慢。然而,有时肿瘤会压迫大脑或脊髓。在这种情况下,需要治疗。
脑膜瘤可用手术或放射治疗。更佳的治疗方案取决于肿瘤的大小、位置、生长速度。脑膜瘤手术切除程度是决定术后复发率的重要因素。20世纪中期以前,对于脑膜瘤生物学特征及影响其复发的许多因素,全国际还未有足够了解及统一认识。此后经过许多相关研究验证,大水平的顺利切除脑膜瘤可延长无进展生存期且不增加并发症率,确定了现在国际通行的颅内脑膜瘤手术切除程度Simpson分级系统。

现国际通行的Simpson分级评估脑膜瘤复发的关系
如何处理和治疗脑膜瘤?主要有以下三种:
监测
监测,也称为“观察等待”,是脑膜瘤的一种常见的初始治疗方法。如果在为一个不相关的问题做检查时偶然发现了脑膜瘤,如此。例如,脑膜瘤可能在某人在自行车事故后进行头部CT检查时被发现,尽管他们在扫描之前从未注意到肿瘤的任何迹象。这种方法在那些较有可能遭受治疗副作用的人群中也很常见。
通常,CT或MRI扫描在一开始扫描后3至6个月重复进行。在较初的几年里,如果没有新的症状,脑膜瘤也没有明显的变化,他们可能每年做一次。此时,可以治疗。
手术切除
手术切除脑膜瘤是大多数脑膜瘤病例的优选治疗方法。虽然我们的目标是切除全部的肿瘤,但这可能是不可能的,这取决于肿瘤的位置和大小。例如,如果肿瘤太靠近关键的大脑区域或血管,切除的危险可能会超过任何可预见的好处。例如,如果肿瘤位于大脑顶面或嗅沟,通常尝试完全切除。对于难以到达的区域,如斜坡,部分切除可能更合适。
神经外科有风险。例如,肿胀可能与脑组织中积聚的液体有关,这种液体被称为脑水肿。这种肿胀会导致神经系统问题,如麻木、虚弱或说话或运动困难。脑水肿可通过皮质类固醇等药物减轻,并往往在几周内自行消失。癫痫有时也会在手术后发生;然而,尽管抗惊厥药物通常用于预防癫痫发作,但此类药物的使用并不普遍,这是一个有争议的话题。
因为身体想要防止手术后的大出血,血栓可能更容易形成,包括在血液应该自由流动的地方。因此,预防血栓的治疗是常用的方法。手术的风险也取决于肿瘤的范围和位置。例如,如果肿瘤位于颅底,手术过程中该区域的脑神经可能受到威胁。
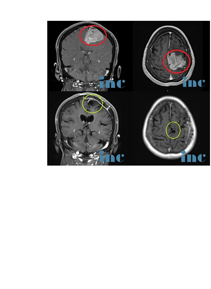
INC国际神经外科医生集团脑膜瘤手术治疗案例一则

放射治疗
放射治疗通常涉及高能x射线对肿瘤的靶向治疗。其目标是尽量减少对大脑其余部分的辐射。对于非手术性和侵袭性肿瘤,通常放疗。虽然没有随机试验,但侵袭性肿瘤手术后,通常放疗。
放射治疗有几种方式。一种方法,分步放射治疗,在很长一段时间内可以治疗多种小疾病。这种方法特别适用于视神经鞘脑膜瘤,也可能适用于颅底的小脑膜瘤。与此相反,立体定向放射外科手术是将单一高剂量的辐射传送到大脑的一个局部的区域。这种方法较适用于手术切除困难的小肿瘤。
放射治疗的副作用通常不严重。脱发通常发生在分步放射治疗中。虽然脱发可能是长期性的,但头发通常在治疗后三个月内开始生长。轻度疲劳、头痛或恶心也可能发生。
世卫组织II级和III级肿瘤通常采用手术和放射联合治疗。尽管尽了努力,脑膜瘤有时仍会复发,通常发生在辐射区附近。脑膜瘤也可在脊髓液中向下扩散至脊髓(“滴状转移”)。治疗的决定较好与神经外科医生和神经肿瘤学家一起做出,在放射肿瘤学家的指导下决定放射剂量和放射方法。
INC国际神经外科医生集团:脑膜瘤基本上没有特别好的非手术治疗的方法,原则上趁肿瘤比较小的时候,及早治疗,手术的难度和风险也会小一些。这已在国内外的神经外科医生之间达成共识,患者得了脑膜瘤,无需恐慌,可参照国内外脑膜瘤治疗规范治疗,尽可能寻求较大水平地肿瘤切除,将使治疗效果事半功倍。
- 文章标题:如何处理和治疗脑膜瘤?手术切除程度是决定术后复发率的重要因素
- 更新时间:2021-03-24 17:06:11
400-029-0925




