嗅沟脑膜瘤手术风险大吗?能活多久?嗅沟脑膜瘤手术风险的大小取决于多种因素,包括但不限于患者的身体状况、肿瘤的位置和大小、手术方法以及手术团...
嗅沟脑膜瘤是不是恶性?手术难度大吗?嗅沟脑膜瘤是一种起源于嗅沟区域脑膜的肿瘤,嗅沟位于前颅窝底,是连接大脑和面部的重要区域。 大多数情况下,...
嗅沟脑膜瘤手术风险大吗?多少钱?嗅沟脑膜瘤是一种发生在前颅窝底嗅沟及其周围组织的脑膜瘤。这种肿瘤通常是良性的,但由于其位置特殊,手术治疗可...
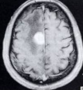
嗅沟脑膜瘤MRI怎么看?手术后会复发吗?MRI(磁共振成像)是诊断嗅沟脑膜瘤的重要影像学工具,其能够提供高对比度、高分辨率的脑部图像,对于肿瘤的位置、...
嗅沟脑膜瘤手术风险大吗?能治好吗?嗅沟脑膜瘤是一种起源于嗅沟区域脑膜的良性肿瘤,嗅沟位于大脑前部的底部,邻近重要的神经结构,包括嗅神经(负责...
脑膜瘤 作为一种良性肿瘤,多发生于静脉窦附近蛛网膜细胞,好发部位有额顶叶上矢状窦旁、蝶骨嵴、嗅沟、外侧裂、大脑镰、桥脑小脑角及枕骨大孔区等...
【较大脑膜瘤手术案例】故事源于一封字里行间充满了希望与感激的感谢信,写给INC之德国巴特朗菲教授,来自一个被较大脑膜瘤折磨导致肢体无力多年的...
颅内较大脑膜瘤案例:这是一封来自一名大脑镰旁脑膜瘤患者的感谢信。在网络信息这么发达的时代,这位可爱的阿姨仍然用自己较朴实的方式表达着自己...
脑膜瘤3Cm严重吗? 脑膜瘤手术 后多久恢复? 脑膜瘤(Meningiomas)是一种常见的颅内肿瘤,在颅内肿瘤中占二位,是起源于脑膜及脑膜间隙的衍生物。大多数脑...
脑膜瘤手术医院有哪些 ,做脑膜瘤手术要多少钱? 当人常常出现头痛头晕、恶心呕吐、视乳头水肿肢体无力、肢体感觉障碍、言语不利等,就需要引起注意...
2015年德国雷根斯堡大学的研究人员发表在《神经学》Neurology杂志上的一份研究报告指出,肥胖或超重可能会导致某种类型脑肿瘤的发展。在研究中,专家将...
脑膜瘤 是一种由脑膜(包围大脑和脊髓的膜)发展而来的肿瘤。大多数脑膜瘤(90%)属于良性肿瘤,其余10%属于非典型或恶性肿瘤。在许多病例中,良性脑膜瘤...
【岩斜区脑膜瘤案例】脑膜瘤 ,发病率为2/10万,仅次于胶质瘤居于颅内肿瘤二位,是一种起源于蛛网膜内皮细胞的颅内肿瘤。岩斜坡脑膜瘤约占后颅窝脑...
【脑瘤治疗案例汇总】INC曾接诊的这四个真实的疑难脑瘤手术案例或许正能解答大家的这些疑问。就这些案例患者而言,术前教授都曾给到他们明确的可以...
【较大脑膜瘤手术案例】一位65岁的女士,因使用醋酸环丙孕酮(CA)15年,而出现视觉功能下降,检查发现 较大的嗅沟脑膜瘤 ,视力下降则是因为肿瘤过大,...
出国看病: 斜坡脑膜瘤 国外手术治疗费用,随着中国经济水平越来越好,许多人经济条件也变得好了起来。除了出国旅游,现在经济好的家庭,为了追求...
枕骨大孔区脑膜瘤案例。多年颈痛,竟是脑膜瘤在作怪德国一位57岁的女士,多年以来,一直饱受颈痛的折磨,近来,还出现了走路乏力,腿不听使唤且步...
摘要:斜坡的常见瘤种、临床表现及手术入路等的选择手术难度 岩斜区位于颞骨岩部背面与枕骨斜坡部的岩斜裂汇合处,从岩骨尖至颈静脉孔。内侧至斜坡...
48岁的赵先生,因为突发癫痫就医,家人带其MRI检查后发现大脑左额镰旁有肿瘤占位,病理结果是 脑膜瘤 。 两次手术治疗后依然恶化 由于赵先生才48岁,...
脑膜瘤(Meningiomas)作为发病率为颅内肿瘤二位的脑肿瘤,常见,特别是由于人随着年老,机体的免疫功能减弱,在老年人群中,脑膜瘤患病的特别多。脑膜瘤...
当累及占优势的半球时,在辅助运动区(SMA)内切除可能伴有剧烈的运动功能障碍和语言停滞,称为辅助运动区综合征。我们的报告包括了一小部分摘除邻...
岩斜区脑膜瘤(PCM)约占后颅窝脑膜瘤的2%。它它们起源于斜坡上三分之二的岩斜交界处,三叉神经内侧。由于这些病变的位置较深,且靠近良好的神经血管结...
问:良性脑膜瘤能活多久?脑膜瘤不做手术可以吗? 答: 脑膜瘤 是二常见的原发性脑肿瘤,每年每10万例男性发病率为3-4例,每年每10万例女性发病率为...
位于上矢状窦前三分之一水平的镰旁脑膜瘤常常表现得有些隐匿,并导致额叶综合征。较近一项对108例侵犯上矢状窦的镰状或矢状旁脑膜瘤的检查研究描述...
岩斜区位于颞骨岩部背面与枕骨斜坡部的岩斜裂汇合处,从岩骨尖至颈静脉孔。内侧至斜坡中线,外侧至Ⅴ、Ⅶ和Ⅷ脑神经,上缘为鞍背,下缘为颈静脉孔...
岩斜脑膜瘤起源于在上颅骨的三分之二中部至五颅神经内侧的岩腹结合处,其中大型岩坡脑膜瘤定义为大小超过3厘米...
嗅沟脑膜瘤(OGMs)起源于筛板和额筛缝,占全部颅内脑膜瘤的8%-13%。这些肿瘤靠近嗅神经,并倾向于浸润筛状板、周围骨和脉管系统。理想的手术治疗方法是...
双目一个失明17年、一个视力持续下降只剩23%,海绵窦脑膜瘤患者如何全切肿瘤保视力?...
不能达到一级切除的病人复发率很高,比如脑膜瘤次全切除复发率高达85%。二级脑膜瘤(WHOII)占脑膜瘤的15-20%,即使一级切除,5年复发率40%,随时间延长复...
脑膜瘤复发率高吗?复发超过两次的脑膜瘤更有可能是更高的级别。复发超过两次的脑膜瘤更有可能是更高的级别。复发超过两次的脑膜瘤更有可能是更高的...
延伸到鼻腔和副鼻窦是少见的,这些部位的原发性脑膜瘤更不常见。延伸到鼻腔和副鼻窦是少见的,这些部位的原发性脑膜瘤更不常见。脑膜瘤是三常见的...
脑膜瘤 是由覆盖大脑和脊髓的膜(脑膜)发展而来的脑瘤。它们是成人较常见的原发性脑瘤。大多数脑膜瘤(85- 90%)属于良性肿瘤,其余10- 15%属于非典型或恶性...
镰旁 脑膜瘤手术 风险大吗?脑膜瘤是指在脑膜上形成的肿瘤,脑膜是围绕着大脑和脊髓的一种膜,相当于鸡蛋中隔离蛋清与蛋壳的那层膜,对人脑起着重要...
视神经鞘脑膜瘤是很严重的病吗,切除手术有什么后果?在这篇文章中,我们描述了内镜经鼻入路切除视神经脑膜瘤的经验,并讨论了这种新方法的手术指...
疑难位置脑膜瘤:枕骨大孔区脑膜瘤手术成功率高吗?本文回顾性分析了2002年1月至2015年12月的8例枕骨大孔脑膜瘤的临床资料、手术结果、组织学发现和预后...
CPA桥小脑角区脑膜瘤案例:INC巴教授顺利切CPA区桥小脑角区脑膜瘤疑难手术,面、听神经完好保留...
大孔脑膜脑膜瘤 (FMM)占全部颅内脑膜瘤的1.8-4%,约占颅后颅窝脑膜瘤的6.5%。尽管显微外科和颅底技术不断发展,但枕骨大孔区脑膜瘤(FMM)的外科治...
颅颈交界处脑膜瘤的手术到底难在哪里?根据过去17年的经验,作者讨论了不同的手术方法对于手术结果造成的结果、总结了影响肿瘤可切除性的因素...
头痛是生活中常见的症状,大多人都出现过头痛、头晕症状,但一般吃点药或过一段时间就好了。而51岁的李女士(化名),却近来因为莫名头痛,在医院核磁...
鞍结节 脑膜瘤 占全部颅内脑膜瘤的5-10%,主要发生于鞍结节硬脑膜、交叉沟和蝶骨缘。视觉障碍是较常见的临床表现,根据Schick等人的系列报道,由于鞍结...
镰旁脑膜瘤 是病吗?首先来了解一下脑膜瘤。脑膜瘤是起源于脑膜及脑膜间隙的衍生物,脑膜瘤可以发生在任何有蛛网膜细胞的部位,大多数和硬脑膜相粘...
岩斜脑膜瘤是神经外科医生面临的一个较大挑战,因为它们的位置很深,而且靠近重要的神经血管结构。颅底入路、显微神经外科技术、神经影像学检查以...
脑膜瘤 (Meningiomas)是起源于脑膜及脑膜间隙的衍生物,发病率占颅内肿瘤二位,脑膜瘤主要见于老年人,女性。脑膜瘤潜伏期可以长达30年。斜坡脑膜瘤则是...
问:脑膜瘤手术之前都检查什么?脑膜瘤怎么判断是良性还是恶性 答: 脑膜瘤 通常是在大脑表面形成的缓慢生长的肿瘤。如果它生长并压在大脑或脊髓上...
枕骨大孔脑膜瘤(FMM)继续挑战神经外科医生,因为这些病变与不能牺牲或缩回的神经和血管结构密切接触。尽管显微外科手术和颅底外科手术有了很大的发...
脑膜瘤是一种由覆盖大脑和脊柱的组织(脑膜)引起的肿瘤,肿瘤生长到5cm已较为少见,那么颅底脑膜瘤5cm大切除手术还能做吗...
脑膜瘤是中枢神经系统较常见的原发肿瘤,脑膜瘤,在很多方面,就是是神经外科的灵魂。此外,由于大多数已发表的脑膜瘤治疗研究都将基于影像学的终...
脑膜瘤手术后还会不会复发?脑膜瘤手术后能活多久?只要患者在全切后坚持定期复查,及时发现和治疗,脑膜瘤患者也可以过正常的生活。...
左顶镰旁脑膜瘤 ,是指位于大脑左顶镰旁位置的脑膜瘤,脑膜瘤是常见的轴外原发脑瘤,占全部原发中枢神经系统(CNS)肿瘤的三分之一。库欣首先将脑膜瘤...
脊柱脑膜瘤不做手术可以吗?利用RNA微阵列技术,在分析的2×10^4基因中,鉴定出1555个基因表现出差异表达模式,其中35个基因在脑膜瘤和脊膜瘤的组织学亚...
链接/Links: 北京天坛医院 | 首都医科大学宣武医院 | 复旦大学华山医院神经外科 | 脑胶质瘤 | 脑海绵状血管瘤 |