嗅沟脑膜瘤(OGMs)起源于筛板和额筛缝,占全部颅内脑膜瘤的8%-13%。这些肿瘤靠近嗅神经,并倾向于浸润筛状板、周围骨和脉管系统。理想的手术治疗方法是多方位全切除(GTR),去除侵入硬脑膜和骨(Simpson分级I级),但即使在手术后,复发率也可高达30%。传统的开放性经颅入路,包括经基底、翼点、眶上和眶翼入路,一直是切除嗅沟脑膜瘤的主要途径,具有良好的结果和较高的全切率,特别是对于眼眶外侧延伸的大型肿瘤。然而,使用鼻内窥镜入路(EEA)切除前颅底肿瘤的兴趣越来越大。尽管如此,由于脑脊液渗漏率较高,GTR率较低,以及嗅觉完全丧失,EEA在嗅沟脑膜瘤治疗中作为传统开放经颅入路的替代方案的作用仍存在争议。
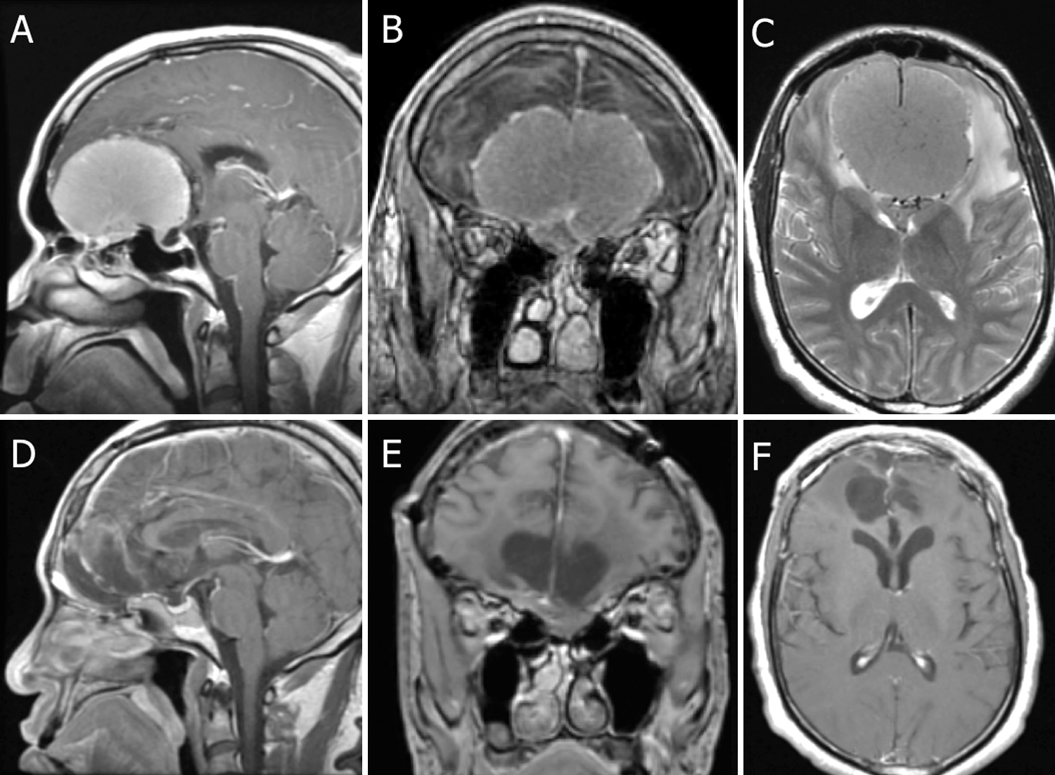
嗅沟脑膜瘤全切案例1
A-C:术前矢状位(A)和冠状位(B)后Gd T1加权和轴向T2加权(C)MR图像显示一个大的、53.3×69.7×69.2-mm的OGM,在眼眶上有明显的侧向延伸,并向前延伸至额窦后部。也有血管受累,没有皮质袖带和相关的脑水肿(C,狮子鬃毛征)。技术法规(辛普森一级)通过跨基底方法实现。D-F:术后Gd T1加权矢状面(D)、冠状面(E)和轴向(F)MR图像显示肿瘤完全切除,无任何残留或复发。

嗅沟脑膜瘤全切案例2
A、B:术前矢状面(A)和冠状面(B) gd t1加权MR图像显示32.5 × 36.0 × 35.8 mm的OGM,无侧位硬膜延伸。由于皮质袖带的存在和功能性嗅觉的缺失,我们进行了eeg以达到GTR (Simpson分级I级)。C和D:术后矢状面(C)和冠状面(D) gd t1加权MR图像未显示任何增强的残余肿瘤。

案例讨论
在管理OGM时,方法选择对于成功的结果至关重要。肿瘤大小、神经血管结构和视神经的受累、嗅觉的存在、筛板和鼻腔的侵犯以及硬膜外侧延伸是影响较佳入路选择的因素。
手术适应症
嗅沟脑膜瘤处理策略包括手术切除、立体定向放射外科治疗和连续MRI观察。治疗的适应症包括由于肿瘤的占位效应或水肿而导致的神经功能缺损和系列影像证实肿瘤生长。
脑膜瘤痊愈是指肿瘤完全切除并切除受累的硬脑膜和颅骨。因此,一开始手术提供了痊愈的较佳机会,实现治愈。然而,为了保持术前神经功能,可能需要残留与脆弱的神经血管组织粘连的少许肿瘤组织。对于较小的无症状或症状轻微的高手术风险肿瘤患者,立体定向放射治疗可作为首要的治疗方式。
手术策略
全部的脑膜瘤切除都使用以下的3D法则:
·阻断肿瘤基底血供,
·缩小肿瘤体积,较后
·沿着预留的蛛网膜界面分离切除肿瘤以便保护邻近的脑血管结构。
神经内镜与经颅手术入路:
嗅沟脑膜瘤(olfactory groove meningiomas,OGM)的特征,包括其大小、伴发脑水肿、钙化程度、血管包裹和前颅底骨质增生,会影响手术入路的选择。轻度的血管包裹或者脑水肿不是经鼻经筛板入路的禁忌症。
笔者认为,肿瘤的大小、位置和患者的嗅觉状态是影响较终手术入路选择的较重要的因素。广泛的血管包裹和跨越冠状面眶顶中线的大嗅沟脑膜瘤较好采用经翼点入路。中小型嗅沟脑膜瘤可通过神经内镜经鼻经筛板手术或经眉弓眶上入路切除,前者提供了较直接的切除肿瘤的路径,并且把涉及神经和血管的操作较小化。
对于嗅沟脑膜瘤,开颅手术可以保护患者的嗅觉功能,而经鼻内镜入路难以做到。所以,如果患者术前嗅觉功能正常,则开颅手术是保存患者味觉及嗅觉的机会,这些细节应该在术前详细告知患者。术者常常低估嗅觉和味觉(味觉功能减弱)缺失对患者生活质量的影响。
如果肿瘤大部分位于鼻窦内,手术计划应该考虑双侧额叶开颅,或是分期较大限度切除肿瘤。由于嗅沟脑膜瘤是一种生长较慢的良性肿瘤,笔者通常不会激进的去切除位于窦内的少许肿瘤组织。
经鼻切除较大肿瘤,即使是经验丰富的医生,也需要很长的手术时间,因此需要分期进行。笔者认为这些大的或者较大的肿瘤经鼻分期切除并不能带给病人较大的利益,经翼点入路一次性切除肿瘤更为合适。
术后注意事项
术后一天患者需要在ICU观察,以便频繁进行神经系统评估,控制疼痛及血压。根据脑水肿的程度和患者的神经功能,类固醇用量在一周内逐渐减量。监测尿量和血钠值,处理术后一过性尿崩症。告知患者标准的鼻内注意事项,包括避免擤鼻子、用鼻吸气和不必要的增加腹压。
术后腰大池持续引流4-5天,如果有任何可疑的脑脊液漏的证据需进手术室进行进一步颅底重建。
优点和缺点
经鼻切除中小型的脑膜瘤是合理的,但是比翼点入路需要更高的操作和技术要求。脑脊液漏的风险,应该采取适当的颅底修补的准备。
神经内镜手术教授Sebastien Froelich教授
当前,在神经内镜经鼻蝶治疗颅底脊索瘤、垂体瘤、颅咽管瘤等方面,INC国际神经外科医生集团旗下国际神经外科顾问团成员、国际神经外科联合会(WFNS)颅底手术委员会主席、国际神经内镜教授法国Sebastien Froelich教授尤为杰出,且有着很多突破性的进展。
他神经内镜“筷子手法”,为国际神经内镜发展和颅底显微手术技术进步贡献卓著,年纪轻轻就成了国际神外领域手术例数和成功率数一数二的专家,被同行誉为“教授”,在颅底脊索瘤、垂体瘤、脑膜瘤等尤为为精通。他曾受邀成为50多家医学院的课程主任和讲师,将自己神经外科创新性技术和手术经验交流到了国际各个地区,跟随他学习、进修技术是很多年轻神经外科医生的向往。
Sebastien Froelich教授作为INC国际神经外科医生集团旗下国际神经外科顾问团成员,国内想要申请教授手术的患者,可联系INC国际神经外科医生集团。
未来,神经内镜将受益于相机和光学技术的进一步小型化、外科仪器设计的创新、新导航或机器人系统的引入、多端口内镜手术等新技术的进步,和增强的能力,以执行内镜辅助显微手术与双侧显微解剖。随着内镜仪器和前沿的手术技术,包括多端口入路的不断发展,内镜手术将从脑室内和颅底病变扩大到实质内脑损伤,神经内镜在颅内肿瘤的手术治疗将步入一个崭新的阶段。这对于畏惧开颅手术的部分神经外科疾病患者来说是新的希望。
- 文章标题:嗅沟脑膜瘤手术入路选择的重要性,神经内镜手术的发展
- 更新时间:2022-01-12 16:52:57
400-029-0925




