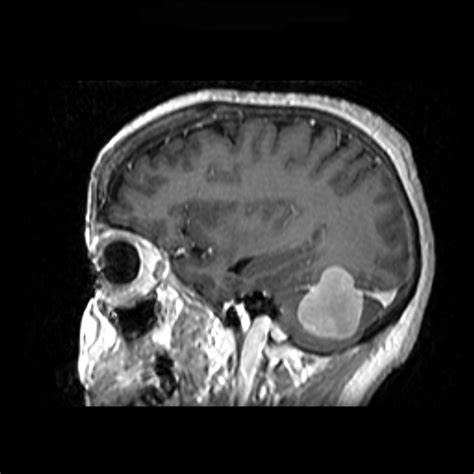
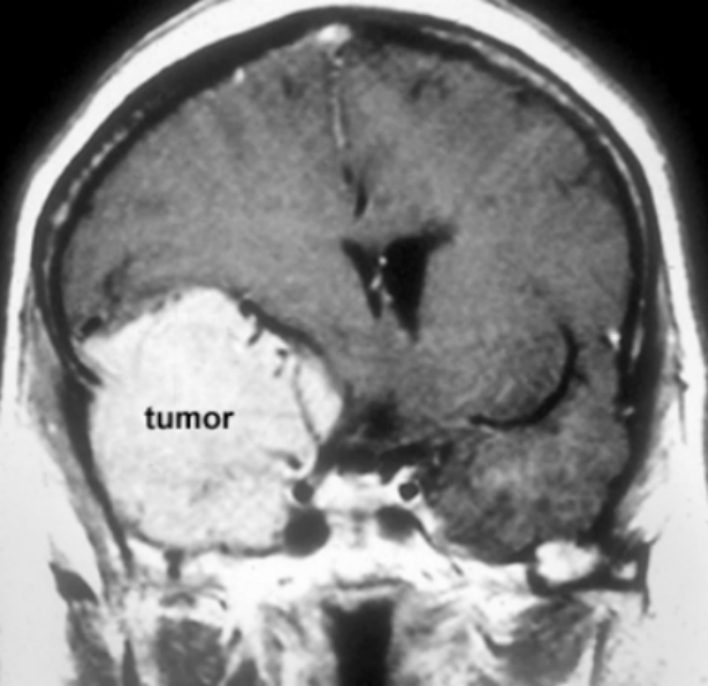
嗅沟脑膜瘤手术风险大吗?能治好吗?嗅沟脑膜瘤是一种起源于嗅沟区域脑膜的良性肿瘤,嗅沟位于大脑前部的底部,邻近重要的神经结构,包括嗅神经(负责...
脑膜瘤手术后遗症多吗?能治好吗?脑膜瘤手术后遗症的多少以及是否能治好,取决于多种因素,包括肿瘤的位置、大小、生长速度、患者的年龄、健康状况...
颅前窝脑膜瘤的主要治疗手段是什么?有什么利弊?颅前窝脑膜瘤的主要治疗手段是手术切除,这一方法在治疗中占据重要地位。 一、主要治疗手段:手术切...
颅前窝脑膜瘤好治吗?多久能治好?颅前窝脑膜瘤的治疗是一个复杂且个性化的过程,其好治与否以及治疗所需时间受到多种因素的影响,包括肿瘤的大小、...
颅前窝脑膜瘤治疗挑战大吗?能活多久?颅前窝底脑膜瘤的治疗确实充满挑战,这是因为这些肿瘤生长在大脑的前部,一个解剖学上较其复杂且空间狭小的区...
脑膜瘤3cm-4cm严重吗?脑膜瘤不开刀能活多久? 脑膜瘤(Meningiomas)是一种长在脑膜及脑膜间隙的的肿瘤,在颅内常见,80%以上脑膜瘤都是良性的肿瘤。典型的脑...
脑膜瘤 是脑膜的肿瘤,脑膜是覆盖大脑和脊髓的膜。较常见的是良性脑膜瘤或I级脑膜瘤,它们很小,不会像癌性肿瘤一样无限期地生长。非典型脑膜瘤w...
质子治疗 是近年来新兴起治疗脑肿瘤的一个好的疗法,其确定、无创、副作用小的特点深受患者青睐。质子治疗可以对脑膜瘤合适么?效果好吗?相信这是许...
【较大脑膜瘤手术案例】故事源于一封字里行间充满了希望与感激的感谢信,写给INC之德国巴特朗菲教授,来自一个被较大脑膜瘤折磨导致肢体无力多年的...
【脑膜瘤德国治疗案例】原来3*4cm的较大 脑膜瘤 ,现在完全没有了。如今已手术后1年多了,没有复发,各项神经功能并无异常。相比于国内大多数脑膜瘤...
现国际通行的Simpson分级上世纪是如何被提出来的?近来各国学者就其对 复发脑膜瘤 、不同病理分级、不同颅内位置的脑膜瘤、颅外脑膜瘤及其在现代多治...
脑膜瘤是较常见的中枢神经系统肿瘤,占原发性颅内肿瘤的30%。根据国际卫生组织分类(4版)2016年修订版,脑膜瘤分为三种组织学分级和15种亚型。世卫组织...
【岩斜区脑膜瘤案例】脑膜瘤 ,发病率为2/10万,仅次于胶质瘤居于颅内肿瘤二位,是一种起源于蛛网膜内皮细胞的颅内肿瘤。岩斜坡脑膜瘤约占后颅窝脑...
【脑瘤治疗案例汇总】INC曾接诊的这四个真实的疑难脑瘤手术案例或许正能解答大家的这些疑问。就这些案例患者而言,术前教授都曾给到他们明确的可以...
【较大脑膜瘤手术案例】一位65岁的女士,因使用醋酸环丙孕酮(CA)15年,而出现视觉功能下降,检查发现 较大的嗅沟脑膜瘤 ,视力下降则是因为肿瘤过大,...
出国看病: 斜坡脑膜瘤 国外手术治疗费用,随着中国经济水平越来越好,许多人经济条件也变得好了起来。除了出国旅游,现在经济好的家庭,为了追求...
国外脑膜瘤怎么治疗? 脑膜瘤是一种很常见的肿瘤,一般都为良性的颅内肿瘤。虽然大多性质属于良性,但是脑膜瘤可能导致人眼球运动障碍、视力下降、...
枕骨大孔区脑膜瘤案例。多年颈痛,竟是脑膜瘤在作怪德国一位57岁的女士,多年以来,一直饱受颈痛的折磨,近来,还出现了走路乏力,腿不听使唤且步...
48岁的赵先生,因为突发癫痫就医,家人带其MRI检查后发现大脑左额镰旁有肿瘤占位,病理结果是 脑膜瘤 。 两次手术治疗后依然恶化 由于赵先生才48岁,...
谈瘤色变,是现代人们的普遍现状。谈起肿瘤,人们的一反应就是不治之症无可救药,可是对于 脑膜瘤 来说,它是一种颅内良性肿瘤,具有生长慢,病程...
尽管超过90%的颅内脑膜瘤在组织病理学上是良性的,但如果切除不完全,它们会经常复发。尽管这些肿瘤的手术方法和技术不断发展,但要完全清除它们...
近些年来中枢神经系统肿瘤发病率不断升高,而脑膜瘤是中枢神经系统常见的原发性肿瘤,占颅内肿瘤的13%-26%。脑膜瘤高发于女性,主要集中在中老年群体...
脑肿瘤,无论是原发性的还是转移性的,通常会导致局灶性神经功能缺损,如偏瘫、感觉缺损和失语。功能成像研究已经反复报道了抑郁状态下神经激活模...
脑膜瘤 是一种常见的脑瘤,它在脑膜(覆盖和保护大脑和脊髓的区域)中缓慢发展。大多数脑膜瘤是良性的,在大小和位置上差异很大。脑膜瘤严重吗?几乎...
脑膜瘤 和脑肿瘤只有一字之差,一般来说很多人的理解都是脑袋里长了肿瘤。脑膜瘤是指起源于脑膜上皮细胞的肿瘤,单指的是脑肿瘤中某一种类型的肿瘤...
脑膜瘤是良性脑肿瘤 的一种常见类型,有时在孕妇中会急剧增长。一项新的研究表明,这种突然的肿瘤生长可能是由于怀孕引起的血流动力学改变引起的,...
较近一段时间,已经65岁的李先生经常感到头痛,很多时候还感到眼花,以为是自己上了年龄出现的正常状况,家人催他去医院看医生,他却总是拖,直到...
矢状窦旁是 脑膜瘤 生长较常见的部位之一,占全部颅内脑膜瘤的18-23%。矢状窦旁脑膜瘤(PMs)与上矢状窦及引流静脉的紧密联系,使根治性切除难以实现,可...
针对转移性或复发性脑膜瘤,研究了几种系统性治疗方法,如抗血管内皮生长因子(VEGF)抗体、酪氨酸激酶控制剂和生长抑素类似物。一些研究建议对复发或...
海绵窦是一个拥挤的解剖区。除了颅神经III、IV、VI和V神经的额支,它还包含颈动脉并接受来自眼眶和基底神经丛的静脉引流。海绵窦 脑膜瘤 (CSM)逐渐压迫...
脑膜瘤 好发部位有哪些?分别都有什么样的症状?得了脑膜瘤怎么治疗比较好?术前术后护理需要注意什么?关于脑膜瘤诸如此类的问题无疑是很多患者及...
出国看病治疗脑膜瘤 好处在哪里? 大半年来,家住邗江某镇的54岁吴女士每天都感觉脑子里有只鸡在啄,这让她痛苦不已。虽然每天都受着这样的痛苦,可...
脑膜瘤的分子靶向治疗,20例脑膜瘤患者(包括18例非良性脑膜瘤)接受了依维莫司(一种mTOR控制剂)和奥曲肽(一种生长抑素激动剂)的治疗。对15例接受贝伐单抗...
大孔脑膜脑膜瘤 (FMM)占全部颅内脑膜瘤的1.8-4%,约占颅后颅窝脑膜瘤的6.5%。尽管显微外科和颅底技术不断发展,但枕骨大孔区脑膜瘤(FMM)的外科治...
头痛是生活中常见的症状,大多人都出现过头痛、头晕症状,但一般吃点药或过一段时间就好了。而51岁的李女士(化名),却近来因为莫名头痛,在医院核磁...
鞍结节 脑膜瘤 占全部颅内脑膜瘤的5-10%,主要发生于鞍结节硬脑膜、交叉沟和蝶骨缘。视觉障碍是较常见的临床表现,根据Schick等人的系列报道,由于鞍结...
脑室内肿瘤很少见,仅占全部脑肿瘤的1-10%,包括各种良性肿瘤、恶性肿瘤和囊肿形成。发生在脑室的恶性脑胶质瘤能治好吗...
岩斜脑膜瘤是神经外科医生面临的一个较大挑战,因为它们的位置很深,而且靠近重要的神经血管结构。颅底入路、显微神经外科技术、神经影像学检查以...
脑膜瘤是一种发生在脑膜(保护中枢神经系统的膜层)上的肿瘤。虽然基因在其中起了作用,但它们发生的确切原因尚不清楚。脑膜瘤的典型特征是占位小,...
1957年,Simpson介绍了脑膜瘤手术切除的5级分类。Simpson分类的级別越高,复发的可能性越大。如果脑膜瘤侵犯到静脉窦内,如矢状窦旁脑膜瘤,其复发率较高。脑...
恶性脑膜瘤是指具有某些良性脑膜瘤的特点,逐渐发生恶性变化,呈恶性肿瘤的特点。恶性脑膜瘤的发生率占颅内脑膜瘤的0.9%~10.6%,平均为2.8%。 恶性脑...
脑膜瘤一级是什么意思?如何治疗一级脑膜瘤?脑膜瘤是较常见的颅内原发肿瘤,其中多为WHO I级病变,根据局部浸润性和细胞异型性特点,少数可分为W...
脑膜瘤治疗贝伐单抗合适吗?贝伐珠单抗,作为特别针对血管内皮生长因子(VEGF)的单克隆抗体,已被试验作为复发的高级别恶性脑膜瘤的治疗。另一方面,...
脑膜瘤质子治疗效果好吗?脑膜肿瘤约占原发性脑肿瘤的10-25%,通常发生在老年女性患者中。大多数脑膜瘤是良性的(80-85%),对于有症状的和/或较大的肿瘤...
脑膜瘤是中枢神经系统较常见的原发肿瘤,脑膜瘤,在很多方面,就是是神经外科的灵魂。此外,由于大多数已发表的脑膜瘤治疗研究都将基于影像学的终...
原发性视神经鞘脑膜瘤表现为视神经鞘内蛛网膜绒毛的脑膜上皮细胞的增生。20岁以下的患者占儿童原发性视神经脑膜瘤病例的不到5%...
左顶镰旁脑膜瘤 ,是指位于大脑左顶镰旁位置的脑膜瘤,脑膜瘤是常见的轴外原发脑瘤,占全部原发中枢神经系统(CNS)肿瘤的三分之一。库欣首先将脑膜瘤...
提及肿瘤,想必大家都不陌生,在许多人眼中是不治之症,也没有人会喜欢它。但是你承认的,有时候它确实离我们很远,但有时候,却离我们很近。 常年...
脑膜瘤 是发生在脑膜上的脑瘤,脑膜是包围和保护大脑和脊髓的组织(图1)。尽管大多数脑膜瘤不是癌性的,但当它们生长并压迫大脑或脊髓的重要部位时,...
脑膜瘤 如何治疗不易复发?2016年美国脑肿瘤注册中心(Central Brain Tumor Registry of the United States,CBTRUS)统计,脑膜瘤约占颅内肿瘤的36.6%。根据国际卫生组...
枕骨大孔区的 脑肿瘤 长期以来一直是外科医生的难题,他们不仅面临诊断困难,还面临危险肿瘤切除的技术障碍。历史上,手术往往以呼吸衰竭和死亡告...
链接/Links: 北京天坛医院 | 首都医科大学宣武医院 | 复旦大学华山医院神经外科 | 脑胶质瘤 | 脑海绵状血管瘤 |