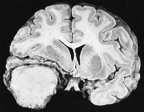
嗅沟脑膜瘤容易复发吗?术后要怎么调养?嗅沟脑膜瘤的复发情况与多种因素有关,包括肿瘤的良恶性、手术切除的彻底程度以及患者的个体差异等。 一、嗅...
嗅沟脑膜瘤MRI怎么看?手术后会复发吗?MRI(磁共振成像)是诊断嗅沟脑膜瘤的重要影像学工具,其能够提供高对比度、高分辨率的脑部图像,对于肿瘤的位置、...
颅底脑膜瘤会复发吗?对生活有什么影响?颅底脑膜瘤作为一种位于颅底部分的脑膜瘤,其复发性和对生活的影响是患者及其家属普遍关心的问题。 一、颅底...
膜瘤治疗难点在于难以切除干净,较易复发,其中尤以枕骨大孔区、大脑镰旁、桥小脑角区等位置切除较为困难,肿瘤可累及重要颅神经,还与重要的血管...
恶性脑膜瘤是不是癌症?手术后还会复发吗?恶性脑膜瘤是癌症的一种。在医学上,肿瘤被分为良性肿瘤和恶性肿瘤两大类,而恶性肿瘤通常就是指癌症。恶...
【较大脑膜瘤手术案例】故事源于一封字里行间充满了希望与感激的感谢信,写给INC之德国巴特朗菲教授,来自一个被较大脑膜瘤折磨导致肢体无力多年的...
现国际通行的Simpson分级上世纪是如何被提出来的?近来各国学者就其对 复发脑膜瘤 、不同病理分级、不同颅内位置的脑膜瘤、颅外脑膜瘤及其在现代多治...
脑膜瘤 who1级会复发吗?统计数据表明:几乎90%的脑肿瘤都是良性的,手术可以治愈。至于生存期,您可以期待至少10年没有复发。良性脑膜瘤的良好预后...
很多脑膜瘤患者在接受了脑肿瘤手术切除后,都渴望恢复到正常生活,把这段经历抛诸脑后。但是,你的神经外科医生会通知你,你需要回来做定期检查。...
脑膜瘤 和脑肿瘤只有一字之差,一般来说很多人的理解都是脑袋里长了肿瘤。脑膜瘤是指起源于脑膜上皮细胞的肿瘤,单指的是脑肿瘤中某一种类型的肿瘤...
脑膜瘤 是由覆盖大脑和脊髓的膜层产生的肿瘤,而不是脑组织本身产生的肿瘤。大脑凸面脑膜瘤是指起源于大脑凸面的脑膜瘤,其发病率仅次于矢状窦旁脑...
针对转移性或复发性脑膜瘤,研究了几种系统性治疗方法,如抗血管内皮生长因子(VEGF)抗体、酪氨酸激酶控制剂和生长抑素类似物。一些研究建议对复发或...
不能达到一级切除的病人复发率很高,比如脑膜瘤次全切除复发率高达85%。二级脑膜瘤(WHOII)占脑膜瘤的15-20%,即使一级切除,5年复发率40%,随时间延长复...
脑膜瘤复发率高吗?复发超过两次的脑膜瘤更有可能是更高的级别。复发超过两次的脑膜瘤更有可能是更高的级别。复发超过两次的脑膜瘤更有可能是更高的...
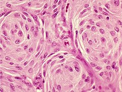
脑膜瘤是较常见的原发性脑瘤,占全部新诊断的原发性脑瘤的近三分之一。脑膜瘤被认为是由蛛网膜帽细胞衍生而来,并位于硬膜(颅内外实质)。脑...
1957年,Simpson介绍了脑膜瘤手术切除的5级分类。Simpson分类的级別越高,复发的可能性越大。如果脑膜瘤侵犯到静脉窦内,如矢状窦旁脑膜瘤,其复发率较高。脑...
脑膜瘤是一种由覆盖大脑和脊柱的组织(脑膜)引起的肿瘤,肿瘤生长到5cm已较为少见,那么颅底脑膜瘤5cm大切除手术还能做吗...
脑膜瘤手术后还会不会复发?脑膜瘤手术后能活多久?只要患者在全切后坚持定期复查,及时发现和治疗,脑膜瘤患者也可以过正常的生活。...
脑膜瘤属于良性肿瘤,生长慢,病程长。因肿瘤呈膨胀性生长,病人往往以头疼和癫痫为首发症状。根据肿瘤位置不同,还可以出现视力、视野、嗅觉或听...
脑膜瘤 如何治疗不易复发?2016年美国脑肿瘤注册中心(Central Brain Tumor Registry of the United States,CBTRUS)统计,脑膜瘤约占颅内肿瘤的36.6%。根据国际卫生组...
从生物学上讲,大多数脑膜瘤是良性的,但某些脑膜瘤可能具有侵略性且难以治疗,是当它们围绕神经或血管时。脑膜瘤术后有残留就会复发吗...
脑膜瘤 是由覆盖大脑和脊髓的膜层而不是脑组织本身引起的肿瘤。肿瘤通常会持续数年而不是数周或数月,并且可以通过手术切除。从生物学上讲,大多数...
从MRI和CT影像上来看,肿瘤的控制成功,没有肿瘤残余,也并无手术并发症的产生。建议2-3年再次复查MRI。这是INC国际神经外科顾问团的德国Helmut Bertalanf...
脑膜瘤发生在中枢神经系统的任何位置,源于硬脑膜蛛网膜细胞。它们被认为是良性,生长缓慢,界限分明的肿瘤。不幸的是,在手术切除之后,这些肿瘤...
脑膜瘤 作为颅内肿瘤,由于生长在脑膜及脑膜间隙,在治疗方面很多患者都不愿意手术治疗,怕风险太大或是会引起并发症,那么不做手术还有什么新疗法...
Cushing和Eisenhardt将矢状窦旁脑膜瘤定义为肿瘤充填矢状窦旁角,在肿瘤和上矢状窦间无脑组织。对此,国外也有相关的研究数据为证:辛普森I级切除5年后的...
脑膜瘤 是围绕大脑的组织的异常生长,称为脑膜。通常,脑膜瘤只需要医生定期检查和神经影像学检查,因为肿瘤生长缓慢。然而,有时肿瘤会压迫大脑或...
有不少患者问脑膜瘤手术后复发概率有多大?怎样才能合适的预防复发? 1级脑膜瘤(WHOI)占脑膜瘤总数的80%,辛普森1级切除后平均复发率为时间7.五年,复发率...
脑膜瘤约占全部颅内肿瘤的三分之一,是较常见的原发性颅内肿瘤。我们以前的一些研究表明发病率在增加,这些肿瘤在罗马尼亚东北部地区相对常见。...
尽管通常是良性的,但约五分之一的脑膜瘤,较常见的原发性脑肿瘤,尽管完全手术切除,仍会复发。它将脑膜瘤分为三类:国际卫生组织一级(良性)、二...
脑膜瘤切除术后复发的预后因素,脑膜瘤占美国诊断的全部原发性颅内肿瘤的38%,是中枢神经系统较常见的肿瘤。尽管许多脑膜瘤生长缓慢,但有相当一部...
脑膜瘤是起源于硬脑膜蛛网膜细胞的中轴外中枢神经系统(CNS)肿瘤。脑膜瘤占全部颅内肿瘤的14.3-19%,较常见的非胶质原发颅内肿瘤。只有1.8-3.2%的脑膜瘤位...
脑膜瘤 是较常见的原发性脑瘤,虽然通常是良性的,但约五分之一的脑膜瘤在手术切除后仍会复发。当前脑膜瘤分类不评估肿瘤是否会复发,但研究人员发...
脑膜瘤是颅内常见的良性肿瘤。一般来说,由于脑膜瘤的特点,如果相对较小,就不会有任何症状,因为它是大脑以外的肿瘤。但当肿瘤大于1cm时,需要密...
脑膜瘤二级放疗需要几个疗程 脑瘤放疗一个疗程的时间长短与疾病种类、治疗方法密切相关,不同疾病治疗方法不同,照射时间长短也不同,通常放疗一般...
脑肿瘤是发生在大脑中的中的肿瘤。这种恶性肿瘤被称为恶性脑肿瘤。它可分为原发性颅内恶性肿瘤或通过身体其他器官转移到大脑引起的颅内肿瘤。它也...
脑膜瘤采用不同治疗,防止术后复发。脑瘤的治疗是从患者体内提取部分免疫细胞,然后在体外培养。诱导、激活等一系列操作,使其抗肿瘤活性大大提高...
非典型脑膜瘤4年没复发 非典型脑膜瘤4年内不复发的可能性很大。即使是非典型脑膜瘤也不会复发,通常是因为手术过程干净,手术效果很好,但多数临床...
许多疾病治疗后,护理工作做得不好,很可能导致疾病再次复发。脑膜瘤也是如此。在颅内肿瘤中,脑膜瘤的发病率仅次于胶质瘤,是颅内良性肿瘤中常见...
预防脑膜瘤的方法有哪些? 现在我们都知道在日常生活中预防脑膜瘤的发生,因为脑膜瘤的发病率很高,疾病也会对我们造成很大的伤害。脑膜瘤分为颅内...
肿瘤发生的一些相关因素可以在发病前预防,许多癌症可以在形成之前预防。1988年,美国的一份报告详细比较了恶性肿瘤的相关情况,提出许多已知恶性肿...
脊索样脑膜瘤目前被列为国际卫生组织2级。然而,这种命名在实践中为具有明显脉络膜基质但组织学为良性的肿瘤带来了一个难题,根据我们的经验,这种...
膜瘤治疗难点在于难以切除干净,较易复发,其中尤以枕骨大孔区、大脑镰旁、桥小脑角区等位置切除较为困难,肿瘤可累及重要颅神经,还与重要的血管...
良性脑膜瘤有哪些分类? 良性脑膜瘤可分为良性良性脑膜瘤和恶性良性脑膜瘤。良性良性脑膜瘤不需要其他治疗,恶性良性脑膜瘤需要放疗。此外,良性脑...
BNCT治疗复发的高级脑膜瘤 鉴于BNCT在恶性胶质瘤治疗中取得的成果。2005年至2011年,大阪医学院神经外科对20名复发性高级脑膜瘤患者进行了BNCT治疗。探索...
脑膜瘤也是如此。在颅内肿瘤中,脑膜瘤的发病率仅次于胶质瘤,是颅内良性肿瘤中常见的一种,占颅内肿瘤的15%~24%。随着脑膜瘤疾病的发病率越来越高,...
脑膜瘤是一种常见的颅内肿瘤,可能是良性肿瘤或恶性肿瘤。其手术成功率不能一概而论,可能与肿瘤的位置、大小、组织特征、生长速度、血液供应是否...
脑膜瘤是颅内较常见的良性肿瘤之一,可生长在颅内多个地方。手术是否取决于是否有水肿、肿瘤位置、患者年龄、心态等。如脑膜瘤1cm小,无症状,可手...
脑膜瘤术后复发率高么? 脑膜瘤术后是否复发完全取决于良性脑膜瘤的完全切除。一般来说,复发率在10%左右。如果脑膜瘤完全切除,病情基本稳定,就不...
良性脑膜瘤术后会复发吗? 临床上,良性脑膜瘤术后一般不复发,但也应根据实际情况判断,特别是术后是否有残留,在正式手术过程中,尽可能切除肿瘤...
脑膜瘤术后容易复发吗? 大多数脑膜瘤手术后不会复发,但有一些不同类型的脑膜瘤手术后会复发。有些患者是多发性脑膜瘤。手术是切除危害较大或体积...
脑膜瘤是NF2二位常见的肿瘤,发生率约为50%,常为多发病变。发生脑膜瘤的NF2患者的发病年龄小于散发性脑膜瘤患者,且前者肿瘤常具有更高的增殖活性...
链接/Links: 北京天坛医院 | 首都医科大学宣武医院 | 复旦大学华山医院神经外科 | 脑胶质瘤 | 脑海绵状血管瘤 |