当一名医务工作者患上脑肿瘤后,他们会如何行动? 大多数情况下,医务工作者都是担任救治病人的角色,帮助患者从疾病的苦痛当中摆脱出来,同时他们...
大家早晨好!我高兴参加天坛医院的国际神经外科会议,感谢天坛医院的神经外科同道朋友们! 2017北京天坛国际神经外科高峰论坛2017国际脑膜瘤大会在...
都说三叉神经痛是天下一痛,这一点都不假。 对于多数人来说,这是一个陌生的名字。然而,对于领教过它的患者来说,这是一种足以令人生畏的疼痛。只...
我们是专门做颅底手术的,主要治疗一些复杂的颅底脑瘤,包括脊索瘤、软骨肉瘤、颅底脑膜瘤、神经鞘瘤 对于脑膜瘤,这也是我们的研究领域之一。我们...
科学的进步与发展都离不提出新的作用,医学更如是......双镜联合手术教授INC福洛里希教授曾说过,只了解一个手术入路远远不够。 福洛里希教授接受IN...
【较大脑膜瘤手术案例】故事源于一封字里行间充满了希望与感激的感谢信,写给INC之德国巴特朗菲教授,来自一个被较大脑膜瘤折磨导致肢体无力多年的...
颅内较大脑膜瘤案例:这是一封来自一名大脑镰旁脑膜瘤患者的感谢信。在网络信息这么发达的时代,这位可爱的阿姨仍然用自己较朴实的方式表达着自己...
【脑瘤治疗案例汇总】INC曾接诊的这四个真实的疑难脑瘤手术案例或许正能解答大家的这些疑问。就这些案例患者而言,术前教授都曾给到他们明确的可以...
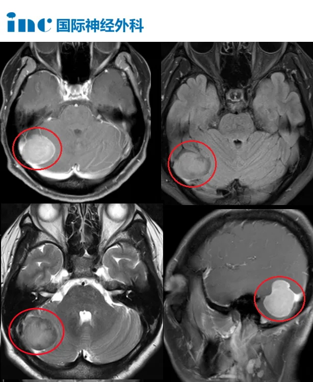
桥小脑角区 脑膜瘤 ,通常压迫周围许多重要神经血管、小脑甚至脑干,大肿瘤,手术难度大,手术不慎易残留肢体瘫痪、面瘫、听力损伤等。完整切除桥...
【较大脑膜瘤手术案例】一位65岁的女士,因使用醋酸环丙孕酮(CA)15年,而出现视觉功能下降,检查发现 较大的嗅沟脑膜瘤 ,视力下降则是因为肿瘤过大,...
大脑镰旁钙化型脑膜瘤案例一则,脑膜瘤是较常见的良性外脑病变之一,占成人颅内肿瘤的10%至20%。钙化、骨化、骨侵犯、骨浸润和成骨细胞增生是这些肿...
静脉孔区脑膜瘤较有可能来自与颈静脉球相关的蛛网膜绒毛。尽管颈静脉孔脑膜瘤是一种较为少见的疾病,但在鉴别颅后窝肿块病变时应牢记这一点。巴特...
脑膜瘤是良性脑肿瘤 的一种常见类型,有时在孕妇中会急剧增长。一项新的研究表明,这种突然的肿瘤生长可能是由于怀孕引起的血流动力学改变引起的,...
嗅沟脑膜瘤(OGMs)起源于筛板和额筛缝,占全部颅内脑膜瘤的8%-13%。这些肿瘤靠近嗅神经,并倾向于浸润筛状板、周围骨和脉管系统。理想的手术治疗方法是...
双目一个失明17年、一个视力持续下降只剩23%,海绵窦脑膜瘤患者如何全切肿瘤保视力?...
CPA桥小脑角区脑膜瘤案例:INC巴教授顺利切CPA区桥小脑角区脑膜瘤疑难手术,面、听神经完好保留...
蝶骨嵴脑膜瘤严重吗?下文报告了一例患者,其中蝶窦蝶骨嵴脑膜瘤是通过分期手术切除的,包括颅内部分的开颅手术和蝶窦颅外部分经蝶和经蝶入路的内...
镰旁脑膜瘤通常由脑膜中动脉、胼胝体边缘动脉、胼胝体周围动脉的多个终末动脉分支和前镰动脉的分支提供丰富的供血,这可能使任何手术切除变得复杂...
较大岩斜区脑膜瘤全切案例一则,全部后颅凹脑膜瘤中,岩斜区脑膜瘤手术是对外科医生手术技巧的较大挑战。由于这部分肿瘤发病率低,肿瘤深居后颅凹中央...
40多岁的王女士,3个月前开始出现短暂性头晕症状,偶尔会有头痛发生。由于这种头晕、头痛都能自行缓解,她以为只是到了更年期以及平时没有休息好造...
脑膜瘤通常被认为是良性肿瘤。事实上,恶性脑膜瘤仅占全部病例的6~10%。恶性转化和转移是少见的。虽然颅内脑膜瘤有转移的报道,但关于椎管内脑膜瘤...
脑膜瘤 为颅内常见良性肿瘤,生长缓慢,多表现为慢性头痛,一般无不同症状,多在中老年以后被检查发现,女性发病率高于男性。有观点认为,此病发生...
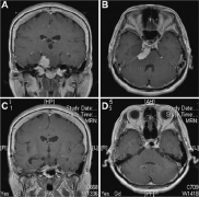
脑膜瘤放疗后并发胶质瘤病例。患者,女,45岁,2011年因间歇性头痛、恶心呕吐,考虑脑膜瘤(图1A、1B)进行头颅MRI检查,然后进行手术治疗,术后病理显示...
1837年,马格努斯报告了一例假性延髓麻痹(PBP)患者,他曾遭受多发性麻痹梗塞然而,直到1877年,当Lepine用它来区分由核上病变引起的下颅神经麻痹和由...
脑膜瘤是较常见的轴外肿瘤,占全部颅内肿瘤的15%。根据国际卫生组织的标准,有三个等级。大多数是WHO 1级;约6%为WHO 2级;少见的是WHO 3级肿瘤(具有转移...
INC国际神经外科医生集团旗下国际神经外科顾问团(WANG)成员、国际神经外科联合会(WFNS)教育委员会主席、国际颅底肿瘤手术教授德国 Helmut Bertalanffy...
切尔诺贝利事件受害者?多发性 脑膜瘤 患者苏菲救治之路 十年前,苏菲(sophie)看着她的十几岁的女儿打排球,注意到她看不到球是否越过网。她把视力...
枕骨大孔区脑膜瘤患者初始症状不明显,患者多出现颈枕部的疼痛,颈部活动或者咳嗽等用力动作时均可诱发或加重症状,临床上常与颈椎病等相混淆。而...
脑膜瘤是较常见的颅内肿瘤。包括WHO I级(81.1%)、非典型WHO II级(16.9%)和间变性(1.7%)或WHO III级肿瘤。虽然I级和II级肿瘤以女性为主,但间变性(恶性...
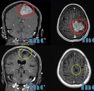
病人男性,54岁。3年前,无明显诱因,出现双眼肿胀,反复发作,右眼重。2周前无明显诱因出现右颌面部麻木,偶有头痛。CT诊断为:右侧前颅窝底恶性占...
脑膜瘤 约占中枢神经系统全部肿瘤的三分之一。它们是生长缓慢的肿瘤,起源于硬脑膜,通常是良性且无症状的。无症状脑膜瘤通常保持相同的大小或长时...
颅内动脉瘤是由脑血管肌层先天缺陷、血流动力学变化和弹力层退行性变引起的局部异常突起。大多以破裂出血为主要症状,少数表现为肿瘤压迫、动脉痉...
CPA桥小脑角区肿瘤约占成人全部颅内肿瘤的10%。脑膜瘤是二常见的肿瘤官方认可的桥小脑角区肿瘤,前庭神经鞘瘤之后,是生长缓慢的良性病变,通常可以...
良性脑膜瘤不做手术能活多久? 如果没有手术,良性脑膜瘤能存活多久完全取决于脑膜瘤在颅内生长的位置、脑膜瘤的大小、神经是否受压或脑组织。这些...
小脑桥脑角(CPA)的肿瘤可以通过增强MRI上的关键特征来分类,这限制了鉴别诊断。无强化病灶进一步分为那些在T1加权MRI上有高或低信号的病灶。增强病变,...
岩斜脑膜瘤无疑是颅底手术中较难切除的肿瘤之一。这些肿瘤起源于颞骨和斜坡上2/3之间的缝合处,位于五脑神经的内侧。已经描述了许多用于切除PCM的手...
脑膜瘤是由脑膜内皮(蛛网膜)细胞引起的常见原发性肿瘤。它们占中枢神经系统(CNS)全部原发性肿瘤的约25%,占全部颅内肿瘤的15-20%。尽管它们的发病率相当...
脑膜瘤伽马刀治疗无效,一台手术顺利全切、保听力、不面瘫 CPA脑膜瘤顺利全切术后九个月,52的严女士收到了巴教授回复的随访邮件,没有复发、无残留...
斜坡和岩斜脑膜瘤是神经外科医生面临的较复杂和较激动人心的手术挑战。的斜坡脑膜瘤起源于斜坡中上2/3的广泛附着,岩斜脑膜瘤被描述为硬脑膜附着位...
我们是专门做颅底手术的,主要治疗一些复杂的颅底脑瘤,包括脊索瘤、软骨肉瘤、颅底脑膜瘤、神经鞘瘤 对于脑膜瘤,这也是我们的研究领域之一。我们...
当一名医务工作者患上脑肿瘤后,他们会如何行动? 大多数情况下,医务工作者都是担任救治病人的角色,帮助患者从疾病的苦痛当中摆脱出来,同时他们...
科学的进步与发展都离不提出新的作用,医学更如是......双镜联合手术教授INC福洛里希教授曾说过,只了解一个手术入路远远不够。 福洛里希教授接受IN...
都说三叉神经痛是天下一痛,这一点都不假。 对于多数人来说,这是一个陌生的名字。然而,对于领教过它的患者来说,这是一种足以令人生畏的疼痛。只...
大家早晨好!我高兴参加天坛医院的国际神经外科会议,感谢天坛医院的神经外科同道朋友们! 2017北京天坛国际神经外科高峰论坛2017国际脑膜瘤大会在...
链接/Links: 北京天坛医院 | 首都医科大学宣武医院 | 复旦大学华山医院神经外科 | 脑胶质瘤 | 脑海绵状血管瘤 |