
对于那些戴着厚重的眼镜、近视度数很高的朋友来说,他们可能会注意到自己的眼睛有些凸出。这是因为眼睛内部的结构改变,导致眼轴变长了。不过,这种“眼球外凸”的情况,也可能是身体发出的“红色警报”,告诉你需要提高警惕。很多人可能会想到甲亢,但除此之外,还有一些其他可能的病因,比如海绵窦的炎症,颈内动脉海绵窦瘘(carotid-cavernous fistula,CCF),和视神经胶质瘤、视神经鞘瘤、脑膜瘤等肿瘤在眼眶内造成的压迫。这些都是需要关注的问题。下文将介绍是一位因蝶眶脑膜瘤而继发眼球突出的病例,在全切肿瘤后,他的症状得到了好转。
简要病史
41岁男性,开始出现右侧眼球突出,最初症状轻微,未引起重视。近期症状加重,眼球逐渐向外突出,伴有视力下降和右眼周围的钝痛。患者并未出现明显的头痛或复视,但有轻微的眼球活动受限。近期MR检查明确蝶眶脑膜瘤,肿瘤已侵袭到前床突及蝶窦,导致症状加重。


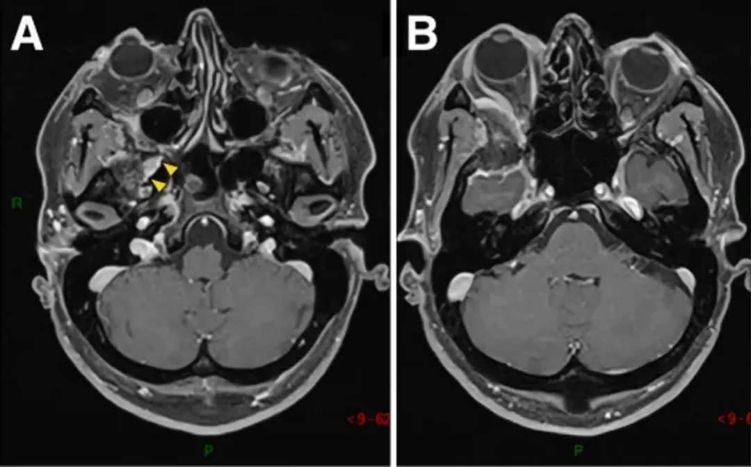
图1A-D:术前MR显示蝶眶区肿瘤占位,增强均匀病灶,浸润延伸至翼腭窝(黄色箭头)。
福教授手术步骤
为该患者进行手术治疗的是INC国际神经外科医生集团旗下世界神经外科顾问团(WANG)成员、世界神经外科联合会(WFNS)颅底手术委员会前主席Sebastien Froelich教授(福教授)。福教授采用了他所擅长的显微镜+神经内镜“双镜联合”技术,成功地对肿瘤进行了手术切除。
福教授经翼点入路开颅,剥离海绵窦侧壁后,行硬膜外前床突磨除术。切除硬膜内肿瘤、侵袭硬脑膜及眶周的肿瘤。使用脑膜补片对硬脑膜缺损进行水密封闭,然后暴露圆孔(FR)、翼腭窝(PPF),发现肿瘤沿V2神经鞘播散生长,磨除上颌窦(MaxS)部分壁后,打开蝶窦(SphS)。
相关专业词缩写:
superior orbital fissure(SOF)眶上裂
pterygopalatine fossa(PPF)翼腭窝
maxillary(V2)上颌神经
anteromedial triangle(AMT)中颅窝前内侧三角
orbitopterygopalatine corridor(OPC)
sphenoid sinus(SphS)蝶窦

SOF、PPF和V2暴露,注意保护神经血管,识别和定位肿瘤。

在V2和SOF之间可见上颌骨(MS),PPF移位。

蝶窦可见肿瘤,进行充分暴露,并切除脑膜瘤。暴露眶翼腭走廊(OPC),通过上颌窦上方的眶上裂(SOF)切开PPF后部,并将PPF内容物转位至下方。取出眶壁,将眶内容物抬高,在眶下裂(IOF)内侧钻孔磨骨,进入蝶窦,完成蝶窦肿瘤的镜下全切。

内镜下术中视图显示前内侧三角(AMT)和OPC增大。使用30°角的内窥镜检查蝶窦内是否存有残留的任何肿瘤。

SphS蝶窦的内镜视图。使用颞肌封闭蝶窦SphS,并用明胶海绵和纤维蛋白胶封闭。
术后组织病理学:I级脑膜上皮型脑膜瘤。
术后临床情况:眼球突出症状立即好转,术后恢复好,病程平稳。术后V2神经功能包括角膜感觉正常,无干眼、流泪异常等症状,按期拆线出院。
术后影像复查


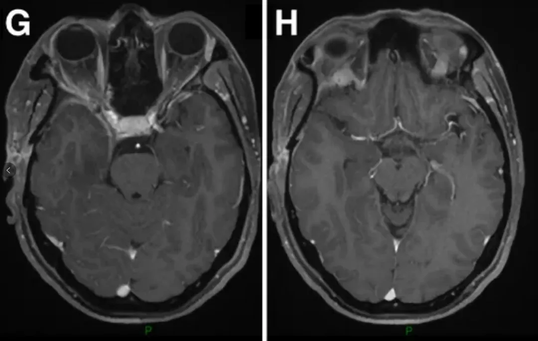
E-H:术后轴位MR图像显示肿瘤完全切除。
案例解析
蝶眶脑膜瘤分型如何?
蝶眶脑膜瘤(Spheno-Orbital Meningioma,简称SOM)是一种罕见的中枢颅内肿瘤,它起源于蝶翼硬膜,可特征性地通过骨的骨质增生(常见于蝶骨的骨质增生)和软组织侵袭延伸至眼眶及其周围的神经血管结构,局部侵袭床突、海绵窦、眶尖、眼直肌和眶周。大约15-20%的脑膜瘤起源于蝶骨嵴,其中一半位于蝶骨的中外侧。蝶骨嵴脑膜瘤可以分为三类:
1)起源于前床突和蝶骨嵴内侧三分之一的脑膜瘤
2)起源于中和外侧蝶骨嵴脑膜瘤
3)蝶骨嵴斑块状脑膜瘤或蝶眶脑膜瘤(spheno-orbital meningiomas,SOM)
参考资料:Pirotte,B.J.M.,Brotchi,J.(2009).Lateral and Middle Sphenoid Wing Meningiomas.In:Lee,J.H.(eds)Meningiomas.Springer,London.
蝶眶脑膜瘤为何引起眼球外凸?
蝶眶脑膜瘤通常伴随着明显的蝶骨嵴、前床突和眶壁的增生。该类肿瘤的临床表现和预后主要受到骨质侵袭程度的影响。当蝶骨嵴发生增生时,可能会导致眼球突出、眼眶疼痛、视力模糊、复视或视野受限等症状。此外,若蝶骨嵴外侧或靠近颅顶的骨质增生,可能会形成头部肿块,从而影响患者的容貌。
当患者出现蝶眶脑膜瘤的症状时,他们常会表现出眼球突出、视力损害和眼肌轻瘫这一典型三联征中的一个或所有症状。
1)眼球突出是常见的临床体征,这可能是由于眶壁骨质增生、眶内肿瘤生长或眶上裂(superior orbital fissure,简称SOF)处硬脑膜的浸润,导致静脉回流减少,进而引起静脉淤滞所致。
2)视力下降往往与肿瘤对视神经的压迫有关,无论是位于眶尖(OA)或视神经管(OC)区域,还是由于OC壁内的骨质增生。眶内空间常因骨质增生和肿瘤侵犯而变得狭窄,这种压迫可能会迅速引发视觉症状,并且如果不及时治疗,可能会导致永久性的视力丧失。
蝶眶脑膜瘤的手术难点有哪些?
蝶眶脑膜瘤手术是一项复杂的手术,存在多个难点,主要是由于肿瘤的解剖位置和周围重要结构的关系。蝶眶脑膜瘤手术的难点主要集中在如何有效切除肿瘤的同时,保护周围重要结构,避免术中和术后并发症的发生。这种手术需要精湛的技术和团队合作,尤其是在处理与视神经、海绵窦及颅底血管的复杂关系时,难度极大,以下是手术中的主要难点:
1.复杂的解剖位置:蝶眶脑膜瘤位于蝶骨和眼眶区域,周围有许多重要的结构,如视神经、眼外肌、眼动脉、颈内动脉、海绵窦和大脑底部的其他神经结构。如果肿瘤巨大,肿瘤与这些重要结构紧密接触或包绕,使得手术操作的安全性和精确性要求非常高,稍有不慎可能导致严重的并发症,如视力丧失、眼球活动障碍、脑损伤等。
2.视神经的保护:肿瘤常压迫视神经或直接侵入视神经鞘,导致视力下降或视神经萎缩。手术过程中,如何在切除肿瘤的同时有效保护视神经,避免进一步损伤是一个重大挑战。任何不当的操作都可能导致不可逆的视力丧失。
3.骨质病变的处理:蝶眶脑膜瘤常伴有眼眶或蝶骨的骨质增生或侵蚀,这给手术切除带来了额外的难度。特别是在肿瘤侵蚀骨骼时,如何彻底切除病变组织并修复骨缺损是手术的一大难点。
4.肿瘤与海绵窦的关系:蝶眶脑膜瘤有时会侵及海绵窦区域,而海绵窦内有颈内动脉和多条脑神经。肿瘤在此区域的切除非常复杂,因为海绵窦是血管密集的部位,手术过程中易发生大出血,且稍有不慎可能损伤重要神经血管,导致严重的神经功能缺损。
5.肿瘤复发的风险:由于蝶眶脑膜瘤位置复杂,肿瘤可能包绕重要结构,无法进行完全切除。在一些情况下,手术只能做部分切除,这样增加了术后肿瘤复发的风险。复发后再手术的难度更大,因为前次手术已破坏了局部的解剖结构,使手术操作更加困难。
6.手术路径的选择:手术路径的选择至关重要。蝶眶区域的肿瘤可以通过多种手术入路,包括经颅入路和经眼眶入路,但无论哪种入路,都需要在确保足够暴露的同时,尽可能减少对周围组织的损伤。要平衡视野暴露和手术安全性,选择合适的手术方式是一大挑战。
7.术后并发症的管理:由于手术涉及颅底、眼眶及颅内重要结构,术后可能出现一系列并发症,如视力进一步恶化、眼球运动障碍、脑脊液漏、感染等。需要经验丰富的神经外科和眼科团队进行术后管理,以减少并发症发生。
Sebastien Froelich教授(福教授)

世界神经外科联合会(WFNS)颅底手术委员会前主席
法国巴黎Lariboisiere大学医院神经外科教授兼主席(2013年至今)
巴黎狄德罗大学医学院神经外科教授(2011年至今)
斯特拉斯堡大学医学院神经外科教授(2008年-2011年)
欧洲颅底学会执行委员会成员
法国斯特拉斯堡IRCAD Neuro-ENT-Skull基础课程主任
台湾IRCAD神经-ENT-Skull基础课程主任
- 文章标题:INC国际福教授脑膜瘤案例二|41岁,蝶眶脑膜瘤,“双镜联合”全切
- 更新时间:2024-12-09 16:21:28
400-029-0925




