开颅手术可能会在颜面部和头部留下疤痕,这些疤痕往往会影响外观,尤其是在当今社会,美容需求日益受到重视。在进行蝶眶脑膜瘤手术时,需要考虑手术的安全性和有效性,力求完全切除肿瘤,以促进术后眼球的复位和视力的恢复,尽量避免面部麻木和上睑肌功能障碍的后遗症。此外,还需特别注意术后的美容效果,尽量减少面部明显疤痕的形成,以满足患者对于美观的心理需求和社交需要。
微创入路,意味着更少的皮肤切割和颅骨移除,既减少了对正常脑组织的手术创伤,也降低了对患者外观的损害,从生理和心理上更有效地提升患者术后的生活质量。因此,绝大多数患者都希望选择微创手术。那么,对于罹患蝶眶脑膜瘤的患者,在内镜经眶入路(Endoscopic transorbital approach,ETOA)和锁孔入路(keyhole approach)之间如何进行选择?
在本期案例中,INC国际神经外科医生集团旗下世界神经外科顾问团(WANG)成员、世界神经外科联合会(WFNS)颅底手术委员会前主席Sebastien Froelich教授(福教授)选择结合眉部切口和新月形眶缘颅骨切开术(trans orbital approach with moon shaped orbital rim craniotomy),创新性地融汇经眶入路和锁孔入路的优势,对这位女性蝶眶脑膜瘤患者进行全切脑膜瘤手术,在尽量减少肿瘤残留和复发风险的同时,也降低了手术疤痕对面容的明显影响。
患者病史分析
一位38岁的女性患者因眼球轻微突出前来就诊。经过CT和MRI检查,发现其颅外轴区域存在一个增生性骨肿瘤,初步怀疑为蝶眶脑膜瘤。
起初,治疗方案为定期观察。然而,一年后,肿瘤体积明显增大,患者出现眶周疼痛加剧和眼球突出症状加重的情况。值得注意的是,患者并无孕激素使用史。眼科检查显示患者结果正常。
随后,患者接受了眉弓切口手术,并行新月形眶缘颅骨切开术以进行治疗。

术前计算机断层扫描图像(骨窗)显示由蝶眶脑膜瘤引起的增生,涉及蝶骨大翼、蝶骨小翼、前床突以及眼眶上壁以及颞骨鳞部。

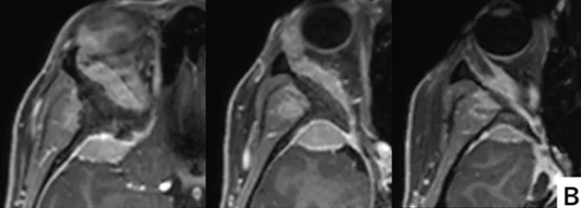
术前增强MRI显示蝶眶脑膜瘤从眶上壁延伸至外侧眶壁以及眶周。颞极硬膜和颞肌也被浸润。眼眶受压导致眼球突出。
手术步骤图解

美容性手术切口和体表标志

改良ETOA暴露的最终视图
A:通过改良ETOA进行眶缘开颅术的示意图
B:完成解剖后的计算机断层扫描三维重建图
根据眉部的新月形标记切开,分离眶周组织。

磨除被肿瘤浸润的蝶骨嵴,随后将肿瘤分离。

进行眶下壁(IOF)与颞骨之间的解剖分离,并分离颞部的硬脑膜,从而切除肿瘤。

继续磨颞底,可见到圆孔。

从眶尖分离骨,切除该部分肿瘤。

分离并磨除颞部硬脑膜,切除颞肌的肿瘤。

磨除浸润眶顶的肿瘤。

切开颞部的硬脑膜,进行烧灼与电凝,从而将肿瘤从颞部分离。

将术前采取的腹部脂肪填塞至空腔。
术后效果
患者的术后过程平稳,没有术后并发症。CT和MRI确认了肿瘤的完全切除。

术后CT显示脑膜瘤和反应性增生的骨质均被完全切除。
术后第6天拆线,患者临床状况良好,疤痕几乎不可见,并且眼球突出有所消退。

术后第5天的美容效果
案例要点分析

相比于EEA,ETOA的优势有哪些?
1、有效地克服了EEA在处理更外侧颅底病变时的局限性。ETOA能够提供更宽广的视角,直达中颅窝和海绵窦区域,同时增强了对颞下窝的眶下壁的暴露。使得手术可以覆盖更广泛的颅底结构,包括岩尖、眶下裂以及颞下窝等关键区域。
2、降低手术中脑脊液(CSF)泄漏的风险,从而尽可能避免与手术入路相关的并发症,进而提高手术安全性,对于预防术后颅内感染与并发症具有重要意义。
相比经眼睑切口,眉弓切口的优势有哪些?
1、伤口隐藏于眉毛下,提升了术后的美观度,为患者带来了更好的心理接受度。
2、减轻对眼眶的压力,减少对眼眶内容物的损伤,进而减少了并发症(眼睑水肿、角膜炎以及额外的视觉功能障碍等)的发生概率。
3、通过移除覆盖眶上部的眶缘唇,得以拓宽手术通道,提供了更加开阔的手术入路视野。
4、眉毛切口可为到达眶顶部提供更直接的入路,使到达前颅底病变更加容易。
为满足对颜面部皮肤的美容需求,在蝶眶脑膜瘤手术中,应注意的哪些要点?
1、手术切口的设计
手术切口的选择和颜面部皮肤的美容需求之间存在着密切的联系,在设计时需考虑到肿瘤的全切率、手术的安全性以及术后的美容效果。应依据肿瘤的大小和生长特性选择合适的手术入路,尽量减少对颜面部的损伤。例如,INC国际福教授所改良的ETOA入路,可以在全切肿瘤的同时保持维持良好的术后外观。
2、手术切口的缝合
在缝合手术切口的过程中,选用恰当的缝合材料和技巧对于减少术后瘢痕的形成十分重要。比如,采用可吸收胶原蛋白缝合线,能够减轻组织损伤,降低刺激和异物反应,进而减少瘢痕的形成。
3、手术切口的愈合
手术切口的愈合过程可以分为炎症反应期、组织增生期、组织重建期。在这个过程中,需要采取适当的措施来促进切口的愈合,减少感染的风险,并尽可能减少瘢痕的形成。这对于颜面部的美容效果十分重要。
4、术后护理
术后护理也是影响颜面部美容效果的重要因素。适当的术后护理可以促进切口的愈合,减少感染的风险,并尽可能保持颜面部的美观。
结合眉部切口和新月形眶缘颅骨切开术的技术,是对处理蝶骨嵴、前颅窝、中颅窝以及眼眶病变的经眶入路的一种简单、安全、有效的改良。它融合了传统内镜经眶入路和现代锁孔手术的优点。目前,该技术不要求具备特定的眼科手术技能,且可同时兼容显微镜和内镜的使用,提高了手术的自由度和操作的灵活性。
尽管如此,关于该技术的长期美容效果和潜在的暴露限制,以及这些因素可能对肿瘤复发率的影响,仍需积累更多的临床经验。
Sebastien Froelich教授(福教授)

世界神经外科联合会(WFNS)颅底手术委员会前主席
法国巴黎Lariboisiere大学医院神经外科教授兼主席(2013年至今)
巴黎狄德罗大学医学院神经外科教授(2011年至今)
斯特拉斯堡大学医学院神经外科教授(2008年-2011年)
欧洲颅底学会执行委员会成员
法国斯特拉斯堡IRCAD Neuro-ENT-Skull基础课程主任
台湾IRCAD神经-ENT-Skull基础课程主任
- 文章标题:INC国际教授福洛里希脑膜瘤案例三|38岁女性,蝶眶区,创新“美容”入路手术全切
- 更新时间:2024-12-09 18:37:47
400-029-0925




