天幕脑膜瘤(tentorial meningiomas,TM)
天幕是分隔大脑为颅下和颅上两个区域的关键结构,颅下区域容纳小脑,而颅上区域则包含大脑。天幕脑膜瘤可以起源于天幕的任何部位,约一半左右起源于横窦区域,1/4起源于天幕游离缘,另外1/4起源于天幕和大脑镰交汇区域并对两者都有侵犯。在所有颅内脑膜瘤中,天幕脑膜瘤的发病率大约为3%至6%。其中,约30%的天幕脑膜瘤位于后颅窝,主要发生于中年女性。
由于天幕脑膜瘤生长缓慢,患者常在肿瘤体积很大时才出现症状。常见的临床症状是头痛、行走不稳和视力障碍(包括视野缺损和复视),认知功能障碍、精神状态改变和癫痫也十分常见。其他症状包括偏瘫、三叉神经痛及吞咽困难。
肿瘤的大小、位置、水肿范围以及肿瘤凸向幕上还是幕下区域等因素都会影响它的临床表现。此外,天幕肿瘤可对脑干、颅神经(常见III,VI,V)、颞叶内侧或小脑产生压迫效应。由于天幕特殊的解剖位置,其与静脉窦和神经结构的关系,手术治疗具有一定的挑战性。
患者病史
这是一名53岁的男性患者,因罹患大型天幕脑膜瘤(体积为27 cm³),为寻求手术治疗而入住法国巴黎Lariboisiere大学医院,向INC国际神经外科医生集团旗下世界神经外科顾问团(WANG)成员、世界神经外科联合会(WFNS)颅底手术委员会前主席Sebastien Froelich教授(塞巴斯蒂安·福洛里希教授,福教授)求诊。

MR显示,肿瘤起源于天幕并向岩斜坡延伸,界限清晰,为轴外肿瘤,明显压迫脑干,瘤周无水肿,均匀增强强化,支持脑膜瘤的初步诊断。
从患者术前的影像中可以看出,肿瘤位置距离头皮远,术中需要穿过很深的正常脑组织以及相应血管,所以手术入路不清晰,很多情况下往往只切除一点。加上手术难度极大,很可能发生切除率较低,甚至是术中出血而提前终止手术的情况。即使手术做了,也可能造成偏瘫等严重的不可逆的神经损伤,使患者终身遭受手术后遗症的困扰。在岩斜区脑瘤的死亡率和致残率如此之高的情况下,选择适当的个体化治疗方案就更加重要了。
——福教授
术前诊断
鉴于肿瘤的质量效应和患者的临床症状,福教授推荐患者接受手术治疗。在与手术团队联合会诊后,福教授为患者定制了一套具有针对性的手术方案——手术前需进行血管造影以及栓塞,以识别主要的供血动脉,从而便于手术中的切除操作并减少手术风险,之后再行肿瘤的切除手术。
1、常规二维血管造影
在手术开始前,患者已经签署了正式的知情同意书。随后,在全身麻醉的状态下,对患者实施了脑血管造影检查。
通过常规的二维血管造影技术,观察到由左侧颈内动脉(internal carotid artery,ICA)虹吸部的垂直段供血的肿瘤染色并不显著。

另外,肿瘤周围的动脉存在明显的占位效应,这种效应主要影响了左侧大脑后脉(PCA)和脉络膜动脉(SCA)。

2、3D数字减影血管造影(DSA)
由于常规的二维血管造影无法检测到肿瘤的染色,因此进行了3D数字减影血管造影(DSA)的双角度检查。通过对比注射碘对比剂进入左侧椎动脉前后的情况,诊断出了起源于脉络膜动脉(SCA)并向肿瘤供血的丰富动脉网络,即小脑幕动脉。随后,对此动脉进行的选择性导管插入和选择性血管造影进一步证实了其供血起源。

3、术前栓塞
鉴于该动脉源自手术入路对侧的硬脊膜内动脉,且位于肿瘤的后方,手术中对其进行控制将十分具有挑战性。因此,福教授识别并标记主要供血动脉,通过使用1毫升氰基丙烯酸酯胶稀释在4毫升碘油中的混合溶液进行栓塞,血管造影显示结果令人满意,且未出现任何并发症。

选择性栓塞导致肿瘤后部部分去血管化(蓝色箭头),这有助于手术摘除。肿瘤的前部仍然由海绵窦内ICA(internal carotid artery,ICA)的分支供血(绿色箭头),在手术过程中这些分支被凝固处理。
切除手术
在栓塞结束24小时之后,进行了肿瘤的切除手术。
手术采用以颧骨根部为基点的颞部开颅方法,并实施了前岩骨切除术(采用Kawase入路)。脑膜瘤被逐步切除,手术过程中交替使用超声波吸引导管以减少肿瘤体积,并小心翼翼地将肿瘤与周围组织分离开来。
在血管处理方面,通过对特定分支进行选择性栓塞,使得硬脊膜边缘得以凝固,进而实现了肿瘤的去血管化处理。因此,肿瘤的上部区域呈现无血管状态。而肿瘤的下方区域仍由供应的SCA近端内侧硬脊膜天幕动脉保持血供。
术后状况
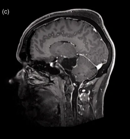
手术实现了肿瘤的完全切除,周围的IV、V、VII、VIII和VI对颅神经均得以保留,患者在术后神经学功能保持正常。术后进行的脑部MR检查显示脑膜瘤已部分去血管化,未见脑水肿现象。手术后,除了患者新发头痛外,临床检查结果未见其他变化。


案例要点分析
手术的成功在一定程度上依赖于初次手术中肿瘤的切除范围。选择合适的手术入路,以充分展现肿瘤及其邻近的神经血管结构,对手术的切除效果十分重要。因此,术前的精确诊断和充分的手术规划是提高手术安全性与有效性的核心。
天幕脑膜瘤手术的难点有哪些?
1、识别小脑上动脉的硬膜内天幕动脉存在一定难度。这些动脉藏匿于天幕下方表面,位置较为隐蔽,不易为人所知,这在手术过程中增加了识别的复杂性。
2、天幕脑膜瘤与周围神经血管结构关系密切,尤其是与颅神经和静脉窦等关键结构。由于这些重要结构的限制,广泛的外科切除手术具有难度,显微镜下的操作则更具挑战性,稍有不慎就可能损伤神经。
3、手术过程中若不慎损伤或撕脱相关动脉,可能会引发大量出血,从而威胁对患者的生命安全。
该天幕脑膜瘤案例术前为什么要进行血管栓塞?
手术过程进行血管栓塞十分重要,其必要性主要体现在以下几个方面:
1、减少术中出血。天幕脑膜瘤因其位置的特殊性,血供丰富,手术过程中可能遭遇汹涌的出血情况,这不仅会影响手术视野,增加手术风险,还可能导致失血性休克。此外,大量出血可能对周围的重要神经、血管和功能区造成损伤。通过术前栓塞,可以有效地减少肿瘤的血供,降低术中出血量,提高手术的安全性。
2、提高手术切除率。术前栓塞可以使肿瘤的部分去血管化,使得肿瘤在手术中的切除更为容易,提高全切除的可能性。而全切除肿瘤对于减少复发风险、提高患者预后具有重要意义。
3、降低术后并发症。由于术中出血量大,可能需要更多的止血操作,这可能进一步损伤周围的正常组织,增加术后并发症的风险,如脑积水、脑脊液漏、感染等。此外,出血多会导致手术区域界面不清,在这种情况下,医生可能难以准确识别和保护周围的神经和血管结构,从而增加手术难度,间接提高手术并发症的风险。因此,通过术前栓塞减少术中出血,可以降低术后血肿、感染等并发症的发生率,有助于患者术后的恢复。
4、改善预后。术前栓塞可通过减少肿瘤血供,有助于实现肿瘤的全切,从而改善患者的预后。
需要注意的是,术前栓塞并非适用于所有天幕脑膜瘤患者,其适应症需要根据患者的具体情况和医生的判断来确定。此外,术前栓塞也存在一定的风险和并发症,如栓塞材料的迁移、正常组织的损伤等,因此在决定是否进行术前栓塞时,需要综合考虑患者的病情、手术风险和潜在的并发症等因素。
Sebastien Froelich教授(福教授)

世界神经外科联合会(WFNS)颅底手术委员会前主席
法国巴黎Lariboisiere大学医院神经外科教授兼主席(2013年至今)
巴黎狄德罗大学医学院神经外科教授(2011年至今)
斯特拉斯堡大学医学院神经外科教授(2008年-2011年)
欧洲颅底学会执行委员会成员
法国斯特拉斯堡IRCAD Neuro-ENT-Skull基础课程主任
台湾IRCAD神经-ENT-Skull基础课程主任
- 文章标题:INC国际教授福洛里希脑膜瘤案例五|53岁,富血供天幕脑膜瘤,全切
- 更新时间:2024-12-10 16:23:20
400-029-0925




