
他是一名53岁的男性患者,曾在7年前因右侧梅克尔腔(right Meckel's cave)脑膜瘤接受了手术治疗,术后便出现了V1–V2区域感觉减退的症状。而今,由于严重的三叉神经V1、V2和V3分布区域感觉减退和疼痛,他选择前来法国巴黎Lariboisiere大学医院,向享誉国际的神经外科大咖Sebastien Froelich教授(福教授)求诊。
该患者的磁共振成像(MRI)检查结果显示,原先的脑膜瘤已经复发,并且肿瘤体积增大,其生长范围已经扩展至多个关键区域。具体而言,肿瘤复发部分侵入了海绵窦(cavernous sinus,CS),这个结构周围有许多关键的神经和血管;同时,肿瘤还延伸至后颅窝(the posterior fossa,PF),这是一个包含脑干和小脑的重要区域;此外,肿瘤还扩展到了蝶窦(sphenoid sinus,SS)、翼腭窝(pterygopalatine fossae,PPF)以及颞下窝(infratemporal fossa,ITF)。这些区域的受累不仅加剧了患者的临床症状,也为手术治疗带来了额外的挑战。

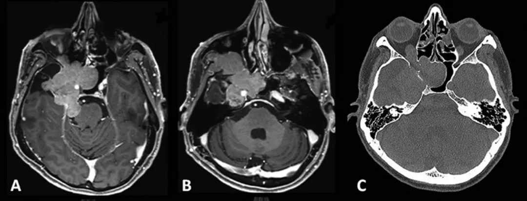
患者术前影像。(A)术前轴位T1加权钆增强磁共振成像(MRI),显示脑膜瘤延伸至后颅窝(PF)、海绵窦(CS)、眼眶和蝶窦(SS)。(B)肿瘤延伸至中颅窝、翼腭窝(PPF)和颞下窝(ITF)。(C)术前轴位计算机断层扫描(CT)显示蝶骨大翼侵蚀和蝶窦(SS)受累。

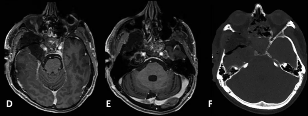
患者术后影像。(D,E)术后增强MR显示肿瘤全切。(F)术后轴位CT扫描显示用于闭合的自体脂肪移植。
在颅内肿瘤的大家族中,脑膜瘤以其高发生率稳居前列。这种肿瘤的特点是,它们几乎可以在硬脑膜的任何角落生根发芽,其中尤以静脉窦附近的大脑凸面、颅底和后颅窝为常见的生长地,尽管相对罕见,但脑膜瘤偶尔也会在脑室内部“落户”。
大多数脑膜瘤是良性的,但它们可以表现有从I级到III级(间变性/恶性)的不同程度的去分化(dedifferentiation),并与不同的结果相关。对于低级别无症状脑膜瘤,放射影像监测是一种合适的策略,而在其他情况下,则通常采取外科手术以实现完全切除。然而,肿瘤的位置影响手术根治性,在脑组织受侵袭或血管受累的情况下,根治性可能受到限制,完全切除的难度和术后的高复发率也正是脑膜瘤手术治疗的难点所在。

在肿瘤切除后,用补片(patch)代替硬脑膜。在可能代表复发部位的骨受累的情况下,这些部位必须被切除。切除范围采用Simpson分级,分为5个等级:
1完全切除,伴硬脑膜和骨切除
2大体全切除伴硬脑膜凝固
3肉眼切除,不伴硬脑膜切除或凝固
4次全切除
5活检

在大体全切除后,I级脑膜瘤的五年复发率为7-23%,II级为50-55%,III级为72-78%。当脑膜瘤的位置限制了根治性的手术方法时,通常会存在残余病变,进而使得患者面临较高的脑膜瘤复发可能性。特别是岩斜脑膜瘤、镰旁脑膜瘤和枕骨大孔区脑膜瘤,因其位置关键,暴露难度大,且紧邻脑干,可能会影响到几乎全部的颅神经,还与脑底池中重要的血管及穿支的关系密切,对主刀的神经外科医生的专业要求非常高。
面对这样一项充满挑战的手术,福教授将如何应对?
这位在复杂颅底手术领域享有盛誉的国际大咖,运用他所精通的神经外科显微镜与内镜“双镜联合”技术,成功地为这位患者解除了病痛。
INC国际神经外科医生集团旗下世界神经外科顾问团(WANG)成员、世界神经外科联合会(WFNS)颅底手术委员会前主席Sebastien Froelich教授(福教授)在他的论文中,详细地记载了对于这起复杂病例的手术流程,包括患者既往病史、手术入路的选择、术中详细步骤以及术后患者的恢复情况等。在论文中附带的手术纪实视频中,福教授阐述了对相关解剖知识的熟练掌握的必要性,以及如何通过微外科技术和内镜辅助技术的结合来获得更好的手术效果,从而处理这种位于颅底的难治性脑膜瘤。

发表于SCIE期刊《Journal of Neurological Surgery Part B-Skull Base》(神经外科杂志B辑:颅底)的论文:《Endoscopic-Assisted Microsurgical Resection of Right Recurrent Meckel's Cave Meningioma Extended to Cavernous Sinus》(内镜辅助显微手术切除累及海绵窦的右侧复发性Meckel腔脑膜瘤)

扩展翼点入路和中颅窝钻孔内镜辅助技术:
手术方法选择的关键点——
之前的右额颞开颅术
SOF的开放和眼眶侧壁的切除
剥除海绵窦外侧壁
钻取前内侧(V1-V2)和前外侧(V2-V3)三角
翼腭窝和下窝暴露
蝶窦的开放
显微镜和内窥镜辅助肿瘤切除术
福教授手术入路解剖研究
在该手术中,福教授采用了之前的右额颞入路。他对眼眶侧壁、中颅窝底和前颞底进行钻孔以暴露眼眶、翼腭窝(PPF)和颞下窝(ITF)。接着,他打开了卵圆孔(FO)、圆孔(FR)和眶上裂(SOF),切开了脑膜眶带并抬高了海绵窦侧壁。开放了眶下裂,并将肿瘤从颞下窝、翼腭窝和眼眶中移除。从上方进入梅克尔腔后,从后颅窝中取出肿瘤。通过显微手术切除肿瘤后,他使用45度内镜移除了残留肿瘤和蝶窦内的黏膜,用自体脂肪和纤维蛋白胶加强了颅骨膜的防水硬脑膜闭合。

(A)剥离海绵窦侧壁,显示颅神经(CN)III、IV和V1进入眶上裂(SOF)以及V2、V3。位于V3后方的中脑膜动脉(MMA)从棘孔(foramen spinosum)穿出。

(B)暴露V1和V2之间的前内侧三角区,以及钻开颞骨岩部尖,显露颞骨内颈内动脉(ICA)。移除了梅克尔腔的顶壁。

(C)钻开V1–V2之间的前内侧三角区后,显露蝶窦(SS/蝶窦)。

(D)在钻开前外侧三角区(V2–V3)并打开圆孔(FR)、卵圆孔(FO)后,最终暴露完成。翼腭窝(PPF)和上颌神经全程得以暴露,直至其到达眶下沟。

术后MRI显示肿瘤完全切除。患者右侧角膜炎在10天内消退,V3感觉减退在2个月后改善。
福教授谈及显微镜和内镜联合使用
在颅底手术中,我认为多数病例都适合这种方法。
颅底手术的目标是到达颅底深的区域。为此,有两种选择,一种是可以创建一个大的手术通道,但是这些大的手术通道对患者来说并无益处,因为暴露了更多的结构,使之面临风险。
另外的方法则是尝试缩小入路通道的范围,但为了在内部仍然拥有良好的视野,内镜便是增强手术视野一大利器。所以在我所做的多数手术病例中,手术一开始就准备好了内镜,可以用来观察拐角处,那些开颅手术中不能直接暴露的结构。
因此对颅底手术来说,“双镜联合”是组合。当在很深的区域操作时,内镜是颅底手术中必备的工具,它的用途是让深部的结构可视化并且进行操作,从而让我们在操作过程中减少对从手术入口到病灶之间的解剖结构的损害。


手术中使用到了显微镜和神经内镜两种工具的福教授

福洛里希教授
世界神经外科联合会(WFNS)颅底手术委员会前主席
法国巴黎Lariboisiere大学医院神经外科教授兼主席(2013年至今)
巴黎狄德罗大学医学院神经外科教授(2011年至今)
斯特拉斯堡大学医学院神经外科教授(2008年-2011年)
欧洲颅底学会执行委员会成员
法国斯特拉斯堡IRCAD Neuro-ENT-Skull基础课程主任
台湾IRCAD神经-ENT-Skull基础课程主任
福洛里希教授是国际知名的神经外科内镜手术专家。早在2011年,福洛里希教授团队就曾使用神经内镜经单鼻孔入路成功夹闭颅内前交通动脉瘤,这在世界神经外科领域内具有创新性。而后,福洛里希教授结合多年的手术经验又提出了具有重要意义的神经内镜“筷子”手法,使得手术操作由两人变为一人,很好地解决了手术过程中存在的配合问题,由此提高了手术效果和准确度。
福洛里希教授对于脊索瘤、脑膜瘤、垂体瘤、颅咽管瘤等都有大量的临床治疗经验,多采取神经内镜下颅内高难度位置的微创手术。他尤其擅长神经内镜鼻内入路的颅底肿瘤切除。他提出了克服脊索瘤的颅底基础方法、鼻内镜和下鼻甲联合皮瓣修复扩大鼻内入路后大面积颅底缺损的手术方法,这对于颅底脊索瘤的治疗、对于患者的预后具有重要意义。
参考资料:
Malhotra A,Tu L,Kalra VB,Wu X,Mian A,Mangla R,Michaelides E,Sanelli P,Gandhi D.Neuroimaging of Meckel's cave in normal and disease conditions.Insights Imaging.2018 Aug;9(4):499-510.doi:10.1007/s13244-018-0604-7.Epub 2018 Apr 18.PMID:29671218;PMCID:PMC6108963.
Maggio I,Franceschi E,Tosoni A,Nunno VD,Gatto L,Lodi R,Brandes AA.Meningioma:not always a benign tumor.A review of advances in the treatment of meningiomas.CNS Oncol.2021 Jun 1;10(2):CNS72.doi:10.2217/cns-2021-0003.Epub 2021 May 21.PMID:34015955;PMCID:PMC8162186.
INC国际教授专访——对话国际神外内镜+显微镜“双镜联合”手术教授福洛里希教授http://www.incsg.com/xueshuhuodong/3513.html
注:以上案例供学术交流,不作为个别患者的医学诊疗意见。
- 文章标题:“双镜联合、手术非凡”INC国际教授福洛里希全切前-中-后颅窝脑膜瘤实例
- 更新时间:2024-12-05 16:51:34
400-029-0925




