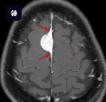
偶然发现的脑膜瘤有可能误诊吗?
体检偶然查出脑膜瘤,很多人第一反应是"会不会误诊了?"确实,在早年的X线检查时代,检查结果仅起到提示作用,但现代影像技术已经让诊断准确率大幅提升。一个经验丰富的放射科医生通过MRI检查,看到典型的硬脑膜附着、均匀强化等特征,基本就能确诊,还能明确病灶与周围结构的位置关系。不过话说回来,医学没有百分百的事,临床上确实会遇到一些"伪装者"——比如某些转移瘤或者炎性病变,乍一看跟脑膜瘤很像。特别是一些长在特殊位置的,或者影像表现不典型的病例,确实容易看走眼。所以,如果检查报告上出现了“不典型”、“疑似”这样的字眼,可主动沟通医生完善检查。

多项研究分析显示,偶然发现/无症状脑膜瘤若具备以下特征则可能是生命中的“拦路虎”:
- ①年龄<60岁;
- ②T2高信号合并CT无钙化(生长风险倍增);
- ③瘤周水肿或体积>10cm³
脑膜瘤约占全部原发性脑肿瘤的三分之一,好发于老年人群,确诊中位年龄66岁,其发病率随年龄递增。女性明显高发,男女比例约为1∶2.已知危险因素包括电离辐射暴露及大剂量环丙孕酮(CPA)使用。遗传学上,最常见与脑膜瘤相关的疾病为NF2-神经鞘瘤病(NF2-Schwannomatosis)。
脑膜尾征=脑膜瘤?NO!
脑膜尾征(dural tail sign)一般指颅内病变邻近的硬脑膜在MR T1WI增强序列上的明显增厚,而很多病例中T2WI FLAIR序列也可观察到脑膜尾征的改变,CT增强出现的概率则小于10%。该词最早于1989年由国外学者在一组7个大脑凸面脑膜瘤的病例组中提出,次年另一学者提出诊断脑膜尾征的三条标准:
- 至少两个成像断面、至少两个肿瘤所在的连续层面出现脑膜增厚;
- 离肿瘤越近脑膜越厚,逐渐向远处变薄;
- 脑膜尾强化程度高于肿瘤本身。

虽然脑膜瘤是迄今以硬脑膜为基底的成像增强性散在肿块的最常见病因,但很多其他病变也可累及硬脑膜或硬膜下腔,导致MRI或CT检查结果可能提示脑膜瘤,包括单发纤维瘤、硬脑膜转移瘤或淋巴瘤、胶质肉瘤、浆细胞瘤,以及一些炎症性病变,如结节病和肉芽肿性多血管炎。
一般而言,MRI、CT和18F-FDG-PET检查不能可靠地区分这些疾病与脑膜瘤。存在非典型影像学特征(如,伴大量或不成比例的水肿、T2加权像呈显著低信号/高信号、缺乏“脑膜尾征”、邻近骨破坏或者脑组织/柔脑膜浸润)可能提示其他病因或较高级别脑膜瘤。
脑膜瘤一定会长大吗?
年轻=脑膜瘤长得快?小于60岁或显著影响
多项研究探讨了与偶然发现脑膜瘤生长相关的危险因素。年龄较小与肿瘤生长相关;尽管这一现象可能与年轻患者随访时间更长有关,但一项纳入27项研究的荟萃分析证实<60岁与肿瘤快速生长显著相关。由于脑膜瘤常表达雌激素受体,且体外实验提示其与增殖活性升高相关,因此推测雌激素替代治疗(e-HRT)可能与肿瘤生长有关。大剂量环丙孕酮(CPA,一种孕激素激动剂)的使用与脑膜瘤的发生及生长相关,但常规激素替代治疗或口服避孕药与肿瘤生长的关系尚未明确。

脑膜瘤生长预测,影像上又揭露了哪些秘密?
CT上缺乏钙化是最早被报道的肿瘤生长预测因素。MRI常用于脑膜瘤诊断。T2加权像(T2-WI)上呈高信号且CT未见钙化两者高度相关,且多种MRI序列可可靠显示脑膜瘤钙化。目前公认,T2-WI高信号是预测偶然发现脑膜瘤“任何生长”及“快速生长”最具价值的单一影像特征。瘤周信号改变提示的水肿亦为生长预测因素,但在偶然发现的脑膜瘤中较为罕见。上述两项特征应在初诊时重点评估。此外,钙化进展可能提示生长减速,因此动态观察这些影像特征与体积的变化,可为临床决策提供依据。肿瘤体积较大者更易快速生长。
一项研究显示,颅底脑膜瘤生长速度慢于非颅底脑膜瘤;从生物学角度看,该结果合理,因颅底肿瘤更常见良性组织学类型且基因组更稳定。然而,其他研究未发现部位与生长速度的相关性,这可能与大多数偶然发现的脑膜瘤位于非颅底区域,以及现有方法测量颅底肿瘤体积精度较低有关。同时,颅底脑膜瘤可在无明显体积增大情况下出现症状进展,例如鞍上脑膜瘤导致视力丧失、视神经鞘脑膜瘤或桥小脑角脑膜瘤引发三叉神经痛。
荟萃分析显示,初诊时存在瘤周水肿及肿瘤体积>10 cm³是症状进展的预测因素;然而,这两项特征在偶然发现的脑膜瘤中并不常见。
这位置脑膜瘤居然88.2%的高生长风险!
早期针对偶然发现脑膜瘤的研究,主要侧重于描述其影像学特征及生长模式。近年来,研究重点逐渐转向量化其生长风险。
根据WHO 2021年分级,绝大多数脑膜瘤(80.1%)为CNS WHO 1级良性肿瘤,18.3%属于2级交界性,仅1.5%为3级恶性肿瘤。大多数脑膜瘤是良性的,通常生长缓慢,但由于岩斜区脑膜瘤,可以侵袭颅底的复杂骨骼,涉及关键的颅底结构,如大血管和颅神经,并压迫脑干等重要结构。此外,由于它们通常在很长一段时间内静默性生长,这些肿瘤通常在诊断时已非常大,但可能不会引起任何症状或仅引起轻微症状。
岩斜区脑膜瘤随体积增大而显著增加的手术风险——肿瘤压迫脑干并引发水肿时,手术难度将急剧攀升。
关于岩斜区脑膜瘤,INC国际神经外科医生集团旗下世界神经外科顾问团成员福洛里希教授邀曾参加多个国家和地区的神经外科颅底会议,在会议和相关课程上他多次分享关于岩斜区脑膜瘤的治疗策略。INC巴特朗菲教授中国行中,盛赞这位国际神外大咖——“多年前我就与Froelich教授相识,新一代高难度颅底肿瘤神外手术医生。他独创神经内镜“筷子手法”,为神经内镜发展和颅底显微手术技术进步贡献卓著,在这种技术的应用上实际上很少有医生能达到他的高水准。”
福教授作为世界神经外科联合会(WFNS)颅底手术委员会前主席,对于颅底这个复杂而神秘的区域做出过大量的研究和实践,以显微手术及神经内镜手术极为见长。为了优化并减少手术创伤,福教授团队对联合经岩骨入路进行了改良创新,即微型经岩骨联合入路(mini-CTPA),并做出如下分享。
▼福教授团队改良联合经岩骨入路

当这颗潜伏在颅底的“恶魔种子”开始躁动,它不是匀速,可能会快得让你措手不及——88.2%的肿瘤都在持续膨胀,年均增长2.38cm³(最高可达25.9cm³)!就像按下加速键,越到后期越疯狂!一旦野蛮生长,手术机会将被一点点吞噬。

下图可以看到岩斜区脑膜瘤的凶险程度并非线性增长,而是随着肿瘤直径每增加1cm呈现跳跃式升级。从图中可以清晰看到几个关键转折点:

当肿瘤突破2cm时,从“Small”进入“Medium”分级,开始出现后颅窝压迫症状;
超过3cm时,普通类型升级为“Large”并伴随脑干-小脑角压迫风险,而“Giant”类型则直接进入高危状态;
一旦达到4cm,无论何种类型可能都会引发显著脑干水肿和脑干受压标志。这种阶梯式恶化意味着,在岩斜区这个狭小的解剖空间内,肿瘤直径的微小增加就可能造成脑干受压程度和手术难度的质变,这正是国际颅底专家强调“不可久等”的核心原因——每一厘米的增长都在增加手术的风险。

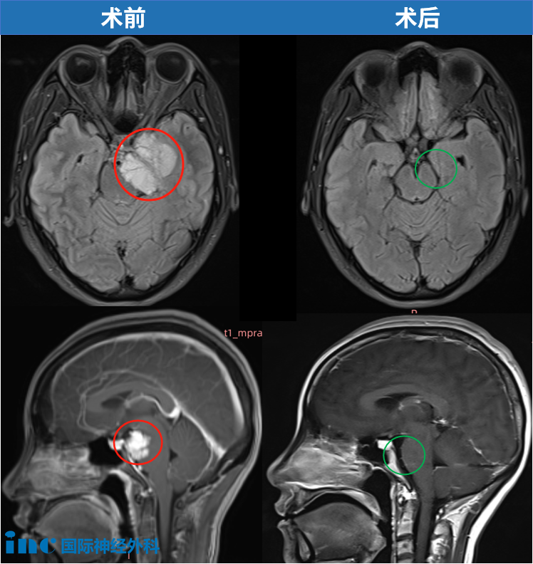
36岁的小宛、岩尖区4.5cm脑膜瘤,视力下降
在北京天坛医院,福教授精湛的手术操作下,肿瘤顺利切除。点击阅读:天坛医院手术纪实 | 4.5cm脑膜瘤紧压脑干成功手术,勇敢辣妈的彪悍人生!

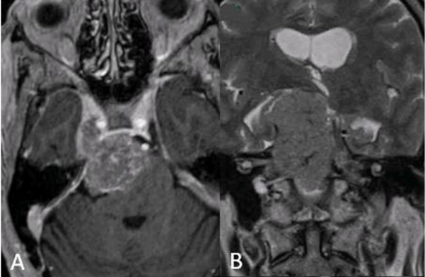
54岁男性、岩斜区脑膜瘤、吞咽困难,肿瘤显著增大、压迫脑干
福教授采用了联合岩骨入路的方法,成功地对肿瘤进行了手术切除。点击阅读:良性脑瘤能长多快?这脑膜瘤每年长2.38cm³,还能“挤扁”脑干!

70岁女性、岩斜区脑膜瘤,脸部剧痛,伴幕上侵犯,可见脑干受压现象,肿瘤延伸至梅克尔腔(Meckel’s cave)及右侧海绵窦。
福教授采用了微型联合岩骨入路(mini-CTPA),成功实现了肿瘤的近全切除。点击阅读:【福医妙手】INC国际教授福洛里希脑膜瘤案例九|70岁,岩斜区脑膜瘤,近全切
以上案例均来自于福教授相关研究。针对大型/巨大岩斜区脑膜瘤的手术干预,无疑是一项具有难度的医疗任务,其结果可能对患者的生存质量产生深远乃至永久性的影响,波及到身体机能、情感状态、社会关系以及职业活动等多个生活领域。在此背景下,患者需审慎选择主刀医师,并就治疗方案进行细致咨询,特别是关于潜在并发症的发生风险、预定的应对措施,以及手术对生活质量可能产生的影响等关键问题。患者主动参与治疗决策过程,是优化岩斜区脑膜瘤治疗方案的核心要素。
参考资料:Neurooncol Adv. 2023 Jun 3;5(Suppl 1):i26–i34. doi: 10.1093/noajnl/vdac109
- 文章标题:偶然发现的脑膜瘤是“拦路虎”还是“纸老虎”?关键看这些信号!
- 更新时间:2025-08-15 17:56:16
400-029-0925




