
儿童脑膜瘤的高侵袭性
颅内脑膜瘤是儿童罕见的肿瘤,占0-18岁年龄组所有原发性脑肿瘤的0.4-4.6%,婴儿脑膜瘤(<12个月大)更为罕见,报告病例少于30例。小儿患者通常表现为颅内压增高和癫痫发作,相对于成人,儿童脑膜瘤在脑室内和颅底位置更常见。
尽管在成人患者中女性更容易患脑膜瘤,但这种性别差异在儿童脑膜瘤患者中并不存在。脑膜瘤发展的危险因素包括2型神经纤维瘤病(NF2)及放射治疗史,即所谓的放射诱发脑膜瘤。一些学者还认为儿童脑膜瘤比成人脑膜瘤更具侵袭性,且非典型或侵略性亚型的发生率较高。
什么脑膜瘤生长得这么快?
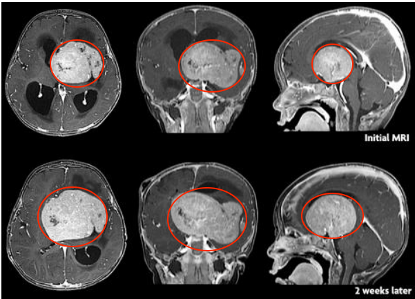
在开头的男孩中,短短两周内,他的脑膜瘤就几乎充斥了整个大脑,于是很多人不禁要问,为何他的脑膜瘤生长得如此之快?
事实上,不同级别的脑膜瘤生长速度有所区别,I级肿瘤生长缓慢,也常见于成年人,而II级肿瘤则生长较快,组织和细胞异常增多,常被称为非典型性脑膜瘤,占脑膜瘤病例的18%。这些肿瘤生长速度比良性脑膜瘤快,常以侵犯正常脑组织为特征。
此外,III级肿瘤的生长和扩散则更快,常被称为间变性或恶性脑膜瘤,其细胞异常增多,生长速度、对大脑的侵犯程度以及复发几率都是高于良性和非典型脑膜瘤的。
儿童脑膜瘤有哪些特点?
1、脑部CT
显示轴内或轴外肿块伴骨质破坏,肿瘤通常是高密度肿瘤周围水肿,但很少或没有钙化。
2、脑MR
在T1加权成像中显示出模糊的肿瘤边缘,浸润性肿瘤与正常的脑实质关系密切。T2WI和FLAIR图像显示肿瘤周围水肿,强化后可肿瘤增强,甚至侵犯颅骨和头皮,MRV可能显示硬脑膜窦侵犯。

3、血管造影
显示出强烈的血管斑块,这种斑块很早出现,并且持续很晚。静脉期可显示硬脑膜窦侵犯。
4、组织学特点
4–19有丝分裂数/10 HPF,或脑侵袭,或以下三个组织学特征:蜂窝性增强,具有高核质比的小细胞,大核仁,小叶结构的丧失,坏死。
5、鉴别诊断
- 典型的脑膜瘤:通常为非侵入性,但明确的诊断需要组织学检查。
- 硬脑膜转移:通常有明确的颅外肿瘤(例如,神经母细胞瘤)
- 淋巴瘤:溶骨性病变,常侵犯硬膜外和颅外成分
- 尤文氏肉瘤:经常为骨性叠层骨膜反应
6、治疗原则
通常进行总的或次要的大体切除,然后进行辅助放射治疗。立体定向放射外科手术也可以起到辅助作用。
7、预后
与良性脑膜瘤相比,非典型脑膜瘤并不常见,预后较差。非典型脑膜瘤的复发率为28%。5年生存率大约为86%,而5年无复发生存率约为48%。
如何度过脑膜瘤恶变危机?
对于有症状的病变、出现肿瘤进展或如患者的偏好等减轻因素,经常需要一个积极主动的管理策略。最大范围的手术切除被认为是一线治疗,通常可以治愈大部分的脑膜瘤。
手术原则:控出血、保功能、争全切
除了脑膜瘤本身的级别(I级、II级、III级)以外,脑膜瘤切除的程度是影响脑膜瘤复发的首要因素。国际上脑膜瘤切除的分级多采用Simpson分级,从国际通行的Simpson分级表可以看出,切除程度越高,10年复发风险越低。

在INC世界神经外科顾问团成员、国际脑膜瘤协会前主席William T. Couldwell教授的一项脑膜瘤手术患者报告分析中显示,肿瘤全切患者5年复发率仅为8%。在另一组67例脑膜瘤患者中,总切除率达到82.3%,三年的复发率为7.1%。Couldwell教授等验证了现代显微外科全切肿瘤手术治疗是脑膜瘤更佳的治疗方式,也是避免进一步神经功能损伤、避免复发、保证生活质量更加直接有效的方法。

此外,另一篇发表于《Journal of Pediatric Neurosciences》的研究也指出,应在可行的情况下对脑膜瘤患儿进行全切除手术,即使需要分期切除。显微神经外科和麻醉管理的进步大大降低了手术发病率和死亡率。完全切除脑膜瘤且组织学为典型良性的儿童脑膜瘤患者与成人患者一样,预后良好。

手术方式
现代显微开颅手术是切除脑膜瘤的经典方式,直接将脑膜瘤暴露在医生的视线中、切除占位,部分部位表浅、未在关键脑组织中,手术难度较小,部分复杂位置则具有较高手术风险,例如脑干与脊髓附近的枕骨大孔区、桥小脑角区以及海绵窦等位置。而婴儿、儿童等身体耐受力较低、抵抗力弱,对术者和麻醉团队都有更高的要求。
多位国际大咖丨在华开展示范手术

巴特朗菲教授(上)& 鲁特卡教授(下)

其中,INC德国神外大咖Helmut Bertalanffy(巴特朗菲)教授是国际复杂位置脑膜瘤开颅手术领域的专家,他对成人和儿童的许多复杂病例积累了大量成功的手术经验。
在他发表的关于枕骨大孔区脑膜瘤案例分析中,所有枕骨大孔脑膜瘤患者均获得手术全切,且有着满意的术后效果,随访5年,没有病例死亡,也没有任何神经并发症。

后记
绝大多数脑膜瘤患者都建议进行手术治疗,尤其当孩子出现颅内压增高、神经功能缺损时,应尽早手术治疗。手术全切肿瘤,可最大程度地缓解症状、避免复发,无进展生存期(PFS)就越长,总体预后(Prognosis)和总生存期(OS)也越好,生活质量也会得到保障,这为治愈提供了很好的机会。
部分内容来源:
1.Mehta N, Bhagwati S, Parulekar G. Meningiomas in children: A study of 18 cases. J Pediatr Neurosci. 2009 Jul;4(2):61-5.
2.Bertalanffy H, Gilsbach JM, Mayfrank L, Klein HM, Kawase T, Seeger W. Microsurgical management of ventral and ventrolateral foramen magnum meningiomas. Acta Neurochir Suppl. 1996;65:82-5.
INC 国际小儿神外专家团
国际脑干手术大咖 Helmut Bertalanffy教授

教授擅长颅底、脑干病变、功能区、大脑小脑、脊髓等复杂位置的肿瘤性、血管性疾病的手术治疗,尤其擅长颅底、脑干等复杂区域病变的肿瘤切除术、神经吻合术等,脑干病变成功手术病例近千台,以精湛高超的手术技术不损伤神经功能且全切病变。巴教授历经千万个小时用超精确的物理剥除诠释了医术为何为艺术。
国际儿童神外专家 Concezio Di Rocco教授

自2014年5月起,Di Rocco教授就担任了德国汉诺威国际神经科学研究所(INI)的儿科神经外科主任。从事儿童神外事业50余年,Di Rocco教授尤为擅长小儿神经纤维瘤、癫痫、脑积水、蛛网膜囊肿、颅缝早闭、脑和脊髓肿瘤、脑和脊柱畸形(半椎体畸形,皮质发育不良,脊髓脊膜膨出,脊髓内脂肪瘤,Arnold-Chiari畸形等)难治病症方面的治疗,曾进行过12000多次神经外科手术。
国际儿童神外大咖 James T. Rutka教授

教授发表超过500多篇高影响力论文,在临床上的研究方向以颅内肿瘤为主,对胶质瘤、纤维瘤、颅咽管瘤、室管膜瘤具有多年的临床经验,擅长清醒开颅术、显微手术和被广泛用于治疗恶性脑瘤和癫痫的国际前沿技术激光间质热疗(LITT)技术经验,对于儿童胶质瘤,尤其是高级别胶质瘤开展多项临床试验,其所在的医院加拿大SickKids是国际知名的儿童医院之一。
- 文章标题:2周内肿瘤疯长,体积足足大一圈!如何度过脑膜瘤恶变危机?
- 更新时间:2025-08-19 15:20:26
400-029-0925




