“良性的脑瘤做手术了,会不会再长出来?”这是每一位脑瘤患者和家属心头最沉重的问号。
治脑膜瘤就像下棋,高手第一步看的不仅是“吃子”,而是“布局余生”。若只贪图“快准狠”,可能满盘皆输。初次治疗需着眼于未来数十年的长期效果,因为首次治疗至关重要。
时间回到1995年,一场开颅“冒险”或许能给我们一些答案……
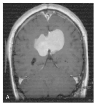
一名48岁的男性患者面临着一个严峻挑战:他的脑膜瘤不仅位置险要——紧贴直窦这一大脑核心静脉结构(A),这不仅让手术难以彻底切除,更意味着未来复发的风险极高。

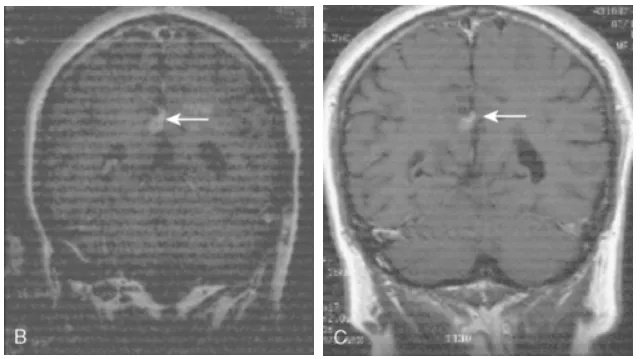
30年前,在当时神经外科技术尚不发达的年代,这场手术无疑是一次“冒险”。然而,在医生精湛的操作下,在保护重要神经功能的前提下尽可能切除肿瘤(B)。针对少量残留病灶,又进行了辅助放疗。令人惊喜的是,在接下来超过13年的随访中,影像检查一次次带来好消息:肿瘤没有复发(C)。

而另一个故事里的主人公,却没有那么幸运。
“您都八十多了,还做什么手术?”这句话,她不是第一次听到。
2005年,当时75岁的法国女士卡米尔毅然接受了一次开颅手术,切除了右侧海绵窦脑膜瘤。11年后,命运再次考验她的勇气——左眼视力开始持续下降,检查发现:又一个脑膜瘤正压迫视神经管其下侧,威胁着她最后的光明。

86岁高龄的她选择手术,身边不乏劝阻之声:“何必再冒险?安心静养就好。”可她不愿被肿瘤夺走自己高质量的生活——更何况,福教授经过严谨评估,手术安全可行。

世界神经外科联合会(WFNS)颅底手术委员会前主席Sebastien Froelich教授(塞巴斯蒂安·福洛里希教授,福教授)在手术中采用了内镜辅助下右额下入路肿瘤全切术,为她实施了精准的手术治疗。该手术实现了肿瘤的完全切除,达到了辛普森II级标准。术后,患者的视觉功能得到了显着改善,同时嗅觉功能也保持了完好,没有出现脑嵴液渗漏的情况。

术前及术后磁共振成像。术前preop(A)和术后Postop(C)显示肿瘤完全切除。
答疑一:良性脑膜瘤如何判断“切除程度”?
良性脑膜瘤常识认为复发概率与切除程度密切相关,但生物学特性(如生长速率)同样决定复发出现的早晚。
临床上,脑膜瘤手术的“切除程度”通常依赖两种评估:一为术中主刀医师的主观判断,二为术后影像学检查。Simpson分级是目前常用的脑膜瘤分类方法,应用于脑膜瘤的预后有较好的评价。
但是关于复发也存在着这样的误区,究竟是之前残留的进展,还真的是复发?
间接证据提示,多数“复发”实为残留肿瘤的渐进性增大,而“新生复发”相对罕见。
通常,只要术中评估达到Simpson 1–2级(即包含肿瘤附着点切除或电凝的根治切除),且术后影像未见残留,即称后续出现的肿瘤为“复发”。Simpson分级中,仅1–2级被视为“根治”,3级仅指大体全切而未处理肿瘤附着的硬膜。

脑膜瘤级别会影响复发吗?
2021年WHO CNS肿瘤分类法根据形态和分子学标准对脑膜瘤进行了分类,共分为3个级别:
1级脑膜瘤,属良性亚型;
2级脑膜瘤,具有中等进袭性行为,通常表现为组织学的不典型性;
3级,表现出进袭性的恶性行为。
WHO的分类系统与结局相关,故为制定治疗计划的重要参考。与WHO 1级脑膜瘤患者相比,WHO 2级或3级脑膜瘤患者明显更有可能出现侵袭性病变、初始治疗后局部复发,最终导致总生存期更短。
答疑二:脑膜瘤位置会影响复发吗?
不同部位的脑膜瘤复发率存在显着差异。部位通过两条途径影响复发风险:
其一,易于暴露的肿瘤较易实现根治性切除,而侵犯静脉窦或颅底深部的肿瘤则切除困难;
其二,特定部位更多反映实现根治切除的“可能性”,而非独立于手术策略、技巧与经验的危险因素。通常,颅底深部以及与重要血管密切粘连的部位,更易在根治程度和肿瘤边界界定方面带来特殊难题。
肿瘤部位对复发率的影响,还取决于以下两个因素:
①术中判定为“全切”还是有意保留的“次全切”;
②术者的经验与技术。
就颅底肿瘤而言,为彻底切除肿瘤起源并探查被侵蚀的孔道及死角,需扩大骨窗;若肿瘤累及大血管,则可能需要旁路移植或血管重建,这些都直接影响根治程度。现代颅底入路可提供与凸面肿瘤相当的广阔视野,使颅底肿瘤得以更彻底地切除。
因此,尽管复发率随部位变化,但手术根治程度仍是主导因素。
答疑三:同样是“小”肿瘤,复发的为何更危险?
即便复发灶体积较小,通常亦需干预,因其较偶然发现的小型脑膜瘤更具生长倾向。与初发肿瘤相比,复发灶更易呈侵袭性生长:蛛网膜界面可能已被破坏,肿瘤呈斑片状扩展的风险增加。因此,即便影像学仅示轻微增大,亦可能迅速失控。
无论初发或复发,显微神经外科切除始终是脑膜瘤治疗的基石。手术目标依旧是实现根治性切除,复发灶的手术仍常可获得长期肿瘤控制。
手术目的可分为“治愈性”与“症状缓解性”。为达治愈,需积极磨除颅骨或颅底受累的骨性肿瘤;脑膜瘤组织常隐匿于死角及颅神经管内。充分暴露尤为重要,尤其在处理复发灶时。
结论
对于绝大多数患者,初次手术的切除程度是预测复发的最重要因素;预防复发的必要性不容忽视,只要已决定实施肿瘤治疗,就应尽一切努力避免遗留未经处理的肿瘤组织。最后,手术与并发症风险之间的微妙平衡需要把控。
INC国际脑膜瘤手术大咖


参考资料:Tiit Mathiesen.Recurrence of Meningiomas and Its Management
- 文章标题:“医生,这个良性脑瘤切完还会再长吗?”脑膜瘤术后13年不复发,真不难!
- 更新时间:2025-08-23 11:48:10
400-029-0925



