关于脑膜瘤,你了解多少?
绝大多数脑膜瘤为1级良性肿瘤,通常生长缓慢。这是多数患者对于脑膜瘤的初印象,当然这是事实。但是,脑膜瘤狡猾之处就在于它们通常在很长一段时间内静默性生长,一旦发现时已非常大,但可能不会引起任何症状或仅引起轻微症状。

因此,能在早期发现脑膜瘤实属不幸中的万幸。临床上,许多脑膜瘤都是在体检时偶然被检出,有些患者在确诊时肿瘤已悄然长至4cm以上,而具体何时开始生长却难以追溯。
案例一:体检发现的4cm脑膜瘤

36岁的小宛,在一次体检中偶然查出脑膜瘤,一个生长于极为复杂的岩尖区、4.5cm左右的脑膜瘤,脑干和左颞叶受压……面对如此情况,小宛没有过多犹豫就决定手术。最终,在北京天坛医院,福教授精湛的手术操作下,肿瘤顺利切除。点击阅读:天坛医院手术纪实 | 4.5cm脑膜瘤紧压脑干成功手术,勇敢辣妈的彪悍人生!
当然还有很多脑膜瘤发现时,症状显著,但苦于手术难度大,只能无奈选择保守观察,直到威胁生命安全……
案例二:保守观察不断长大的脑膜瘤

左侧脸部如刀割般疼痛,甚至还出现吞咽困难,无法进食、难以入眠、无法工作……54岁男性Bruno,不幸查出岩斜区脑膜瘤。“脑膜瘤是良性的,不如先等等,手术风险太大了。”但肿瘤不断长大,严重压迫脑干这一“生命禁区”,同样他也是幸运的,福教授为他成功手术。点击阅读:“终于能过上正常人的生活了!”福教授创新入路为脑膜瘤患者带来「生路」
脑膜瘤生长速度取决于很多因素,包括脑膜瘤的类型、生长速度等等。岩斜区,这一常常发生脑膜瘤之地,不仅手术难,而且易生长。它可以侵袭颅底的复杂骨骼,涉及关键的颅底结构,如大血管和颅神经,并压迫脑干等重要结构。相关研究表明;一旦这颗潜伏在颅底的“恶魔种子”开始躁动,它不是匀速,可能会快得让你措手不及——88.2%的肿瘤都在持续膨胀,年均增长2.38cm³(最高可达25.9cm³)!

岩斜区脑膜瘤一旦压迫脑干,将直接威胁生命中枢,其危险性不容小觑。这个被称为“生命禁区”的脑干区域掌控着呼吸、心跳、血压等基本生命体征,当肿瘤压迫时:初期可能仅表现为头痛、眩晕等轻微症状;随着压迫加重,会出现吞咽困难、言语障碍、肢体无力等功能缺损;最危险的是当脑干严重受压时,可能突发呼吸心跳骤停,危及生命。由于岩斜区位置深在,周围密布重要神经血管,手术难度极大,若不能及时解除压迫,患者可能面临进行性神经功能恶化,甚至长期昏迷。
岩斜区脑膜瘤只能保守?手术六大难点解读
岩斜区位于颞骨岩部背面与枕骨斜坡部的岩斜裂汇合处,从岩骨尖至颈静脉孔。内侧至斜坡中线,外侧至第Ⅴ、Ⅶ和Ⅷ脑神经,上缘为鞍背,下缘为颈静脉孔水平;下方为枕骨大孔区。岩斜区脑膜瘤由于位置深,毗邻重要解剖结构,很难实现肿瘤全切除,且有较高的术后致残率,一直是神经外科手术的治疗难点。
1. 脑干前上方主要涉及有第三脑室、下丘脑、垂体、脑底动脉环等重要组织结构,这部分肿瘤一般都是瘤体较大时从前方向后推挤中脑,脑干症状多不明显,肿瘤较易与脑干分离。
2. 脑干后上方主要涉及有松果体区、小脑幕、大脑大静脉等组织结构,肿瘤一般易于压迫中脑导水管引起脑积水、上视困难等症状,根据肿瘤性质等不同采用的治疗方式也不同。
3. 脑干前方主要涉及有岩骨斜坡、基底动脉、颅神经等组织结构,术前症状多较轻、病程较长,但肿瘤位置深在,手术较难。
4. 脑干侧方主要涉及有桥脑小脑角区、颈静脉孔区等组织结构,手术显露难度大。
5. 脑干后方主要涉及有第四脑室、小脑蚓部、小脑脚等组织结构,肿瘤一般易于引起脑积水、颅高压症状等,肿瘤可侵及脑干。
6. 脑干下方主要涉及枕大孔、椎动脉等组织结构,肿瘤易于引起呼吸困难、脑积水、颅高压症状等,因影响延髓,手术要求精细。
关于岩斜区脑膜瘤的治疗,目前仍有许多争议,特别是手术入路的选择,不仅关乎切除率,更与患者的预后紧密联系。
INC旗下世界神经外科顾问团(WANG)的专家成员,世界神经外科联合会(WFNS)颅底手术委员会前主席Sebastien Froelich(福洛里希)教授、世界神经外科学会联合会(WFNS)内镜委员会前主席Henry W.S. Schroeder(施罗德)教授、世界神经外科联合会(WFNS)审计委员会前任主席Volker Seifert 教授等共同参与了治疗共识解读,他们正式讨论了关于岩斜区脑膜瘤的一系列问题,并提出对岩斜区脑膜瘤的管理建议,其中就包括手术入路的选择。

大咖手绘图解
对于岩斜区肿瘤的手术理念和主张多样,入路选择多样,有额颞入路,枕下小脑幕入路,颞下小脑幕入路,颞下入路,耳蜗入路等。但是对于巨大肿瘤或者同时向幕上幕下生长的肿瘤,INC国际教授等分享了幕上幕下联合入路如何成功全切,该手术入路的优点是暴露的视野大,可在直视下处理,减小对神经血管的损伤,对小脑、颞叶牵拉轻微,可在手术早期离断肿瘤血供,幕上幕下联合入路也可用于松果体区肿瘤切除,牵开枕叶与小脑,可获得良好的暴露。

图A: 采用幕上-幕下联合入路,颞枕联合皮瓣,在颞部行低位颞部骨瓣开颅。

图B:病人采取侧卧位,应根据人体的四个生理弯曲及身体轴线,避免过度拉伸及屈曲,同时尽可能缓解压力集中的压迫点压力。

图C:切除在颞枕区域至枕下区域延伸的L形骨瓣后,沿着乳突周围外层开始逐步完成乳突切除术。骨瓣大小取决于听力状况和基础暴露的需要。

图D:硬脑膜切口设计

图E: 打开硬膜,避免损伤横-乙状窦及Labbé静脉,该区域后颞叶的静脉引流存在变化(有时是多种多样的),结扎上岩窦后,并确保颞叶的引流通畅,沿着岩骨尖分离天幕,定位并注意保护滑车神经等。

图F:在分离、暴露、切除肿瘤过程中,注意保留所有颅神经及重要血管。

图G:肿瘤成功全切,神经组织保存完好。

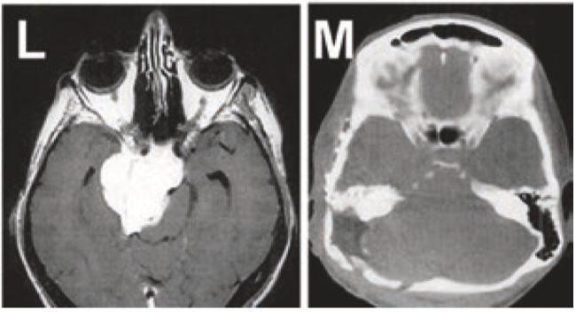
图L+M:岩斜区脑膜瘤患者,术前术后的影像对比
INC国际脑膜瘤手术大咖


- 文章标题:脑瘤4cm才被发现!当脑膜瘤“失控生长”压迫脑干,有多危险?
- 更新时间:2025-07-07 13:40:45
400-029-0925




