不要小看脑膜瘤
它会让你恨之入骨、难生活
这些苦都是有“来由”
……
大家好!我是脑膜瘤
颅内有硬脑膜的地方
(脑膜包裹整个大脑和颅神经
钻缝走壁地覆盖整个颅骨)
都可能是我的栖身之所

我是个生长缓慢的乖宝宝(良性肿瘤)
本性不是很坏哦(恶性概率不大)
我的同类绝大多数也都是良性
生长缓慢,经全切可以根治

但是我们的“作恶多端”在于破坏力
会侵袭实质大脑和颅神经,侵袭动脉静脉
侵袭骨质造成骨质破坏
引起神经功能问题
如肢体瘫痪、面瘫、疼痛麻木、失语等等
严重影响你的生存质量

另外,虽然我的同类中
难治的坏家伙(恶性肿瘤)并不多
但是,人类也不要掉以轻心哟!


如果你是不幸中的幸运儿
脑袋里长了品质不算太坏的我
(良性脑膜瘤)
就觉得可以与我长相厮守了吗
那你是异想天开啦

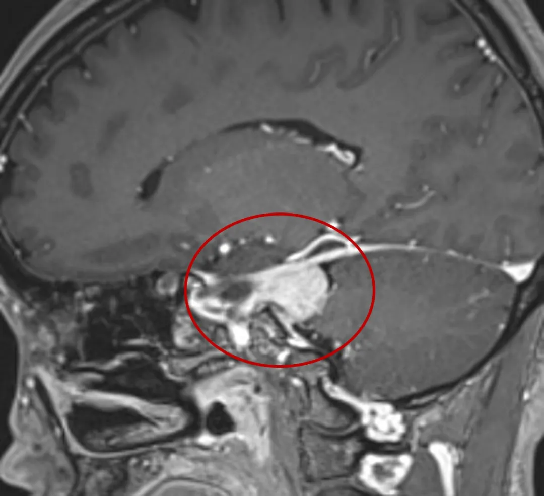
例如:我在CPA区生活
出生在大脑与小脑之间的硬脑膜隔上
属于颅底和脑深部肿瘤
与三叉神经、面听神经、外展神经、小脑、海绵窦等
诸多重要脑组织及功能神经都是亲密无间的好朋友

当我刚刚出生的时候
你会对我的到来没有很强烈的爱恨情仇
觉得我很乖,害怕把我剔除后
伤害与我关系密切的“伙伴们”
我便被留了下来
……

随着时间流逝,我会慢慢长大
向下生长压迫小脑
你会走路不稳、共济失调
向上发展压迫枕叶和中脑
你会偏盲、幻视和肢体瘫痪
我也可同时向上、向下生长
骑跨幕上和幕下,你则兼有上述两方面症状

由于我的快乐生长
中脑导水管和四脑室受压移位
你较早期可能出现头痛、恶心等
颅内压增高症状

如果你对我的存在
始终保持一种恋恋不舍的情节
那我要长大、长大、再长大
住更大的房子
(增强占位效应)
……

冲破CPA区,结识岩斜区的朋友们
从此我不再是小小的CPA区脑膜瘤
而是大岩斜区脑膜瘤
很多重要功能神经、脑组织、血管
见了我都要退避三舍呢
……

脑膜瘤沿着脑膜及自然间隙增大,继续侵犯M腔,从颅后窝跨越颅中窝并侵犯海绵窦,可进一步压迫损伤视神经、动眼神经、三叉神经等
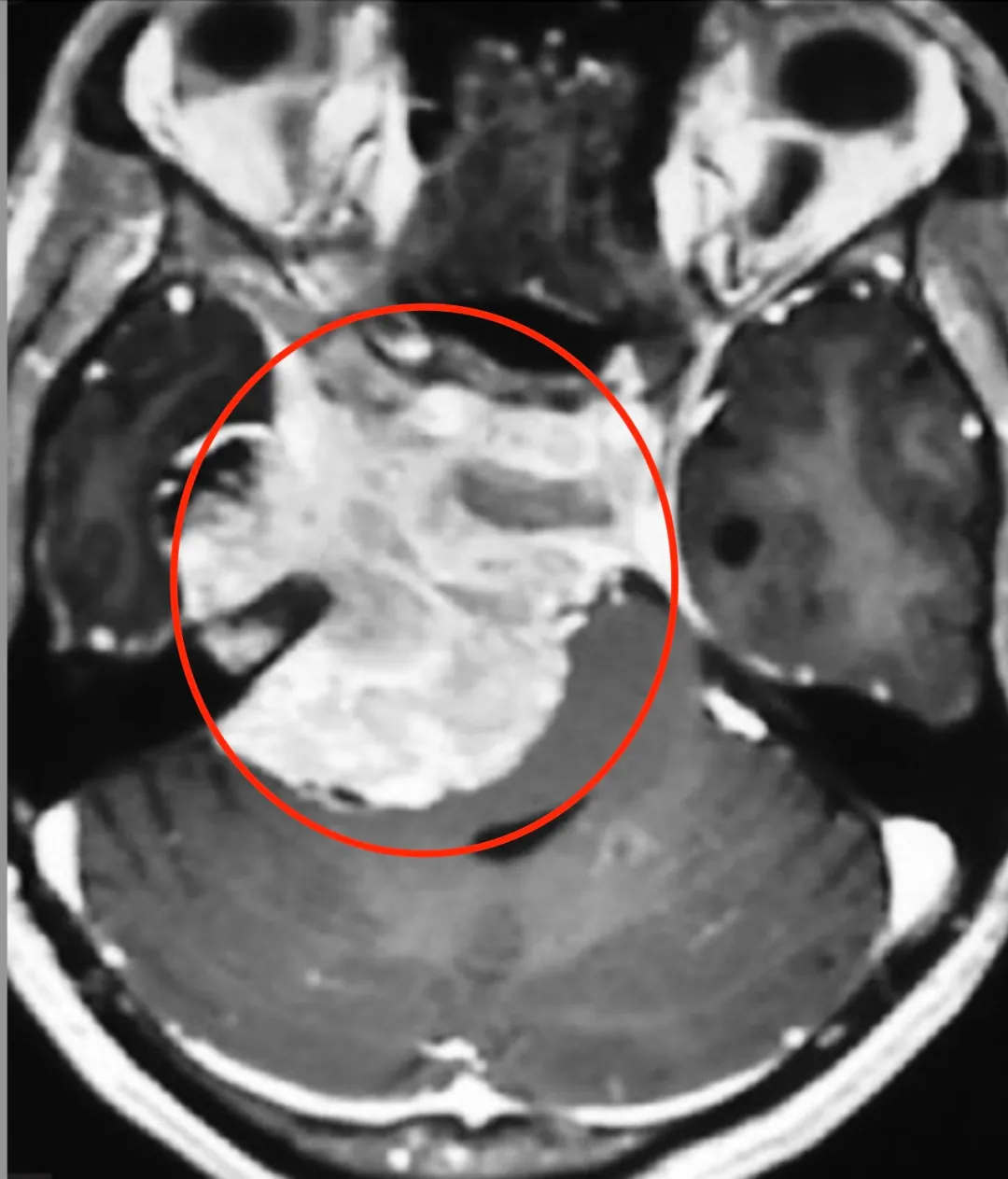
岩斜区脑膜瘤有什么了不起呢?
岩斜区脑膜瘤是起源于以岩-斜裂为中心的中上斜坡及三叉神经内侧岩骨的脑膜瘤。因岩斜区位置隐匿,解剖结构复杂,肿瘤压迫脑干与颅底神经及血管,被认为是神经外科棘手的疾病之一。手术入路较多,术后肿瘤残留率高、患者预后差等现象目前仍然存在,术中一味地追求肿瘤全切也是导致术后高病死率、高致残率的主要因素。
如果我长在额部
你会遭遇更可怕的事情
当大脑空间已经无法容纳我的身躯
我要啃食你的头骨
拼命想钻出你的脑袋
看看外面的世界有多大

总之,你会因我出生在不同的地方
太多脑组织、功能神经、血管
给我让出生存空间
而感到头痛、恶心、走路不稳、共济失调
偏盲、幻视、肢体瘫痪……

只要我在你的脑袋里恣意成长
你就无法正常生活
甚至为我献出生命
……
脑膜瘤的一般治疗策略
手术治疗、放疗、化疗、观察随访
是治疗脑膜瘤的常见策略
其中手术是优选的解决办法
切除程度往往也主要影响着治愈率的高低
关于手术作为单一治疗的有效性的证据
来自于医疗机构的病例系列
确定了切除范围(EOR)是一个重要的预后因素
这方面常仍然使用Simpson分类

图:现国际通行的Simpson分级
预测脑膜瘤复发的关系
脑膜瘤手术的基本原则是
进行低并发症发生率和
保护神经功能最大限度的安全切除
虽然切除范围(EOR)是
我们可改变的复发风险因素
但努力实现全切除不应该是
以神经系统或认知功能为代价
治疗总结
脑膜瘤应以手术全切为治疗目标,根据术中情况可接受次全切以保护神经功能,然后定期复查观察残余肿瘤,如果肿瘤小可以选择立体定向放射外科治疗(SRS),若肿瘤增大并出现神经功能缺损症状,应再次显微手术切除肿瘤。
1.有点如个小米粒大小的残留,为了保神经功能,也是值得的。
2.从长期来看,小米粒大小的一点儿残留,可能五年、十年都不怎么长,也不影响神经功能,不会对生活质量造成影像。
3.如果不手术,脑膜瘤已经挨着长到神经洞里了,就是Meckel腔,后续瘤子越来越大没有空间再长,神经必受影响,等瘤大了那时就更难收拾。脑膜本身就是沿着骨面、沿着各种缝分布的,就是顺着这些地方天然的生长。
4.随着肿瘤生长,脑膜瘤后续可能吃到骨头(侵犯骨质),那时候就更难全切,或者要全切就更容易伤到神经,需要医生技术更高。
5.通俗地说,这个位置瘤子越大、越容易钻缝、侵犯实质大脑、侵袭颅神经、侵袭血管、破坏骨头,造成的神经损伤可能越久越难恢复,对手术要求越高,越难全切、越难保神经。
脑膜瘤治疗的预后情况、并发症的发生率、恢复时间与肿瘤位置、生长特点、术者的技术经验等息息相关,对于解剖位置比较复杂的脑膜瘤,例如枕骨大孔区、斜坡位置深,风险高,手术可操作空间狭窄,容易切除不干净,损伤神经及脑干,引起瘫痪等后遗症。因此,建议患者寻找有成功手术经验的医生做肿瘤切除手术,争取更好的预后效果。
- 文章标题:脑膜瘤知多少(漫普篇)
- 更新时间:2024-12-04 15:06:08
400-029-0925




