“你是不是没做手术?”
工作、旅游、健身、带娃——视频中的小宛(化名),用正能量填满了生活的每个角落。看着她精致的面容和那头乌黑飘逸的长发,任谁都难以想象,她才经历了一场高风险岩斜区脑膜瘤开颅手术。

“开颅手术,我在ICU里面呆了4个多小时就出来了,第2天下床,第8天出院。因为没有剃全头,现在连伤口都长出了头发,完全看不到伤口了……”当面对来自病友的疑惑时,她微笑分享着自己的手术情况。原来开颅手术她只是剔除了极少量的头发,连她自己仔细对着镜子看都看不出来。点击阅读,了解小宛的详细故事:天坛医院手术纪实|4.5cm脑膜瘤紧压脑干成功手术,勇敢辣妈的彪悍人生!
▼小宛和主刀福教授合影

其实,经历过INC国际教授手术的患者都知道,他们不需要被剃光头,一般根据手术切口情况仅需要剔除周边一小缕头发。
为什么不需剃光全头发?
原因主要是,他们手术中不会因为头发造成术中术野影响、增加感染机会。而且,一旦剃全头,可能需要大半年甚至一两年时间才能恢复理想的发量、发型,这无疑会影响很多人的生活工作,而对于高要求的教授们来说,不!他们不愿这样的情况发生。
当然,剃头只是脑瘤手术的一个细节。很多病友更加关心的是,脑膜瘤手术是微创还是开颅?
口子小就是微创?一段对话引出的答案
医生,您说我妈妈脑子里这个脑膜瘤,手术可以微创吗?现在不是还可以从鼻子里面做手术?
我们先澄清一个概念——“微创”这个词,它的核心思想是尽可能小地干扰正常的脑组织,精准地切除肿瘤,而不仅仅是看口子有多大。
意思是……还是要开颅,是吗?我听说开颅特别吓人。
打个比方。脑膜瘤就像一个长在房间角落里的“蘑菇”。这个房间就是您的颅骨,非常坚硬,保护着里面像豆腐一样娇嫩的大脑。所谓“微创手术”,我们的目标是不碰坏房间里任何珍贵的“家具”(也就是正常脑组织),只把那个“蘑菇”精准地拿掉。为了实现这个目标,我们首先得找到一扇能通到那个角落的“门”。
所以这扇“门”就是……
这扇“门”可以是我们在头皮和颅骨上开的一个窗口,也可以是鼻子。至于选哪个,主要取决于“蘑菇”的位置、大小和它跟周围重要的神经和血管的关系。
所以“微创”更像是一种理念和技术,不一定是切口小。只要对大脑的损伤最小,哪怕颅骨开口是为了这个目的服务的,那它也是微创手术。
手术追求的最终目标,是“脑”的微创,而不只是“头骨”的微创。
脑膜瘤开颅还是经鼻,相同位置不同选择的他们
从开头小宛的故事中我们了解到,她的岩斜区脑膜瘤是开颅手术取出的,手术入路是Kawase入路改良版。岩斜区是颅底解剖结构最复杂的区域之一,由颞骨岩骨尖端、蝶骨表面的后下部以及枕骨的斜坡部分共同构成。该区域的肿瘤往往涉及许多重要的血管神经,压迫颅神经、后循环重要血管和推挤脑干和小脑等,这些因素增加手术的难度和风险。手术入路选择多样同时又都具有局限性,不同病变的形态、生长特点不同,手术入路设计对于肿瘤的切除程度及减少并发症至关重要。
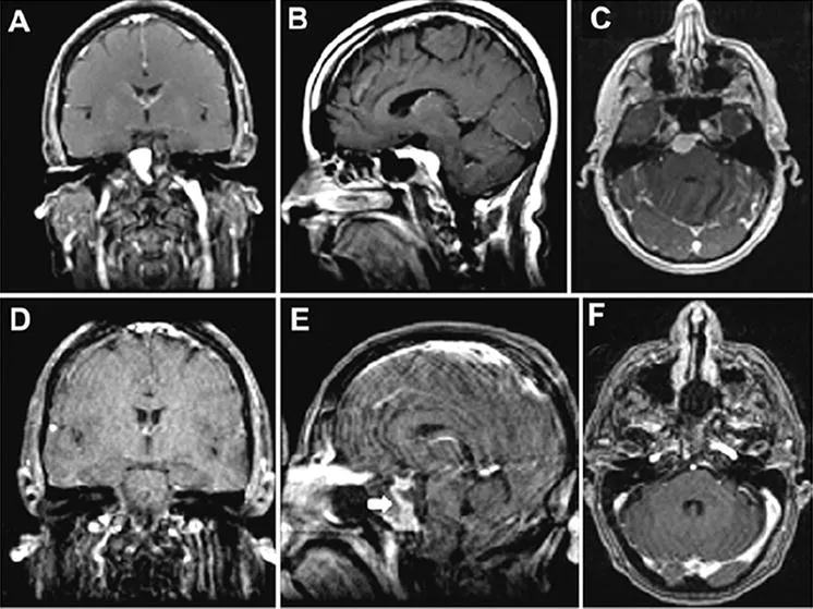
案例1、开颅手术切除岩斜脑膜瘤
53岁女性,表现为悸动性头痛,并观察到左眼视力急剧下降。MRI显示一个均匀增强的肿块,集中在岩斜上交界处,广泛附着在上斜坡和天幕上(图A和B)。进行了Kawase入路。在滑车神经入幕附近行小脑幕切口后,可见三叉神经向双侧下移位,部分被肿瘤包裹,与上斜坡相连,部分钙化。外展神经在切除肿瘤后被观察到向下移位。MRI(图C和图D)显示肿瘤完全切除,无任何脑损伤。患者术后出现部分侧视麻痹,1个月后完全消失,恢复正常。

图示:术前图像(A和B)提示岩斜区一均匀强化的肿瘤,起源于岩尖,附着在小脑幕上。肿瘤推挤脑干,侵犯海绵窦。术后(C和D)显示肿瘤全切。
案例2、经鼻切除岩斜脑膜瘤
一位52岁女性病患呈现复视及间歇性头痛。体检时,患者右眼外展受损。MRI显示右岩斜交界处肿块均匀强化,伴有广泛的斜坡附着,提示脑膜瘤(图A-C)。我们进行了部分岩尖切除术。术后核磁共振证实全切除(图D-E),并无脑损伤。注:增强鼻中隔皮瓣用于重建。病人在术后第7天出现脑嵴液漏。手术检查显示,这是由鼻中隔皮瓣的右上角移位引起的,但此移位已成功且永久地矫正。病人手术后恢复良好,复视消失,外展正常。

图示:术前图像显示起源于上斜坡的岩斜脑膜瘤。肿瘤均匀强化,脑干受压,无海绵窦侵犯。术后图像显示肿瘤完全切除。E:图中的白色箭头示增强的重建的鼻中隔,提示其血供保留。
岩斜区脑膜瘤两种手术方式的应用
INC旗下世界神经外科顾问团成员之一、世界神经外科联合会终身荣誉主席、神经外科领域知名高难度手术入路Kawase入路的创始发明者Takeshi Kawase(河瀬斌)教授曾发表研究《Comparative analysis of the anterior transpetrosal approach with theendoscopic endonasal approach to the petroclival region》比较了岩骨前入路(ATPA)和经鼻内镜入路(EEA)的解剖特点,结合岩斜区脑膜瘤手术病例分析不同入路适应症及优缺点。
Kawase入路是一种通过中窝底进入岩斜区的成熟技术。此外,对于选定的合适患者,经验丰富的颅底外科医生在岩斜区进行经鼻内镜手术是可行的、安全的、有效的。每种入路的关键标志是中线、颈内动脉岩段的水平面、颈内动脉的斜坡旁段和外展神经。
岩骨部颈内动脉的水平段、岩旁段以及外展神经都是该区域重要的解剖标志;当肿瘤临近岩斜区中部和外展神经尾侧时,EEA入路优于Kawase入路;当病变位于颈内动脉岩旁段后方或侧方,以及病变累及中颅窝或者颞下区时,Kawase入路优于EEA入路。该两种入路亦为优势互补,对于复杂的病变可联合两种甚至更多的入路来达到切除肿瘤的目的。
- 文章标题:开颅后,朋友问我怎么头发还在!脑膜瘤手术究竟是微创还是开颅?
- 更新时间:2025-10-01 04:31:22
400-029-0925




