48岁的苏先生,
一名较大脊索瘤复发患者,
经历过3次脊索瘤手术,
妻子对他始终不离不弃,
始终陪着先生治疗及康复。
查资料、问诊、找医院、找医生……
幸运的是,他们找到国际颅底手术教授
INC法国福洛里希教授
悉心照顾的1000多个日夜,
迎来了胜利的曙光。
2023年7月中旬,INC团队为了让更多患者了解到他们的治疗经历,鼓励更多的脊索瘤患者,在康复医院采访到了这对夫妻。此时,离苏先生四次开颅手术已经两个月。日复一日对丈夫的照料并没有消磨掉她的乐观与,康复医院病房内,INC中德医疗协作官Krabbe先生将一束象征着生命和希望的花束送到了苏先生的妻子手中。这位不善言辞的女性,坚强、勇敢,让我们为之动容。

患病5年,4次手术,夫妻俩从未放弃
“我们19年就做手术了,但是还好这次遇到了法国教授。但是法国教授手术前,我老公的状态已经很不好了,吞咽困难、走路不稳、插胃管进食……后来想想不行,总归要想办法。他也是一直想能手术,尽快手术。”2019年10月,苏先生经医生诊断为脊索瘤,是比较少见且难治的肿瘤。但从那一刻起,苏先生的妻子便决定陪伴丈夫走上艰辛的抗击肿瘤之路,而苏先生也从未放弃。后续于国内接受多次手术治疗,2023年1月,肿瘤4次复发。

我们都知道“少见”“高复发率”“难以治疗”都是脊索瘤的代名词。由于肿瘤常见于斜坡、蝶鞍,可累及海绵窦、垂体窝,甚至鼻窦等毗邻重要结构,压迫不同的颅神经产生相应的临床表现,部分甚至突破硬脑膜、挤压脑干。手术难以全切,挑战较大。对于任何部位的脊索瘤,手术质量都是影响患者预后的关键因素。然而,脊索瘤患者很多都是经历了多次手术,因为手术残余脊索瘤很快就会复发再次影响神经功能。一次手术的质量直接影响后续的一系列治疗,甚至是患者的一生。
为什么脊索瘤这么容易复发?
福洛里希教授指出:无论是PFS(无进展生存期)还是OS(总生存期)都与以往研究类似,切除的范围对于患者来说是重要的。事实上,这是颅底脊索瘤较重要的预后因素。
切除范围的大小很大水平上影响了脊索瘤的复发时间,如果手术切除范围太小,可能复发生长的比较快,甚至约3个月就长到手术前的大小。然而如果手术尽可能得顺利切除肿瘤,患者的肿瘤复发生长比较慢。
苏先生和许多数脊索瘤患者一样,都经历了复发,但苏先生病情之复杂,不止是肿瘤复杂,更是在于他的整个治疗过程。经历过3次脊索瘤手术,情况却一次比一次严重。苏先生的身体每况愈下,视力下降、视野缺损、言语不清、吞咽困难、呛咳、眼球活动障碍、走路不稳、上肢无力、嘴角抽搐……
01
2019年:一开始经鼻内镜手术
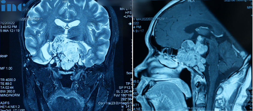
2019年10月患者无明显诱因下突发视野缺损,伴视力下降,遂就诊当地医院。行头颅增强MRI检查,提示鞍区占位性病变,脊索瘤可能性大。
同年12月,行全麻下经鼻神经内镜下肿瘤切除术,手术顺利。术后病理提示“脊索瘤”。术后恢复尚可,视力、视野恢复良好。后因新冠疫情原因,未做术后复查。

02
2021年:二次开颅手术
2021年,患者再次出现视力下降伴视野缺损。于当地医院行头颅MRI检查,提示“鞍区脊索瘤复发”。


2021年7月7日,全麻下行开颅鞍区肿瘤切除术,术后病理为“脊索瘤(复发)”。经过较长时间的术后恢复,患者视力、视野恢复正常。

03
2022年:三次经鼻内镜手术
2022年7月,患者三次出现视力下降/视野缺损症状,磁共振检查再次提示“鞍区肿瘤复发”。


因患者不想再接受开颅手术,10月8日全麻下行经鼻神经内镜下肿瘤切除术。术后病理为“脊索瘤(复发)”。术后出现嗜睡、精神萎靡等内分泌功能紊乱症状,同时伴脑积水。遂于11月19日行脑脊液V-P分流术,后症状缓解消失。

2023年1月底,患者四次出现上述症状,4月份开始自感四肢肢力下降,虽可自行站立和行走,但自感不稳。
术前症状:视力下降,视野缺损,言语不清,吞咽困难,呛咳,眼球活动障碍,走路不稳,上肢无力,嘴角抽搐,体重下降。
“Froelich教授来华,这是我们听到较好的消息!”
在我们的镜头里总会看见她拼命在赶,在康复医院里,无论丈夫做什么项目,她都以充满希望的步伐准时把苏先生送到医生面前,一直守候在身旁,不断鼓励他。“他喜欢骑摩托车,一个人骑车去黄山、千岛湖……所以要好好的配合,好好的恢复,然后还可以骑摩托车,朝这个目标努力,加油!”

康复医院里,为了能够让丈夫及时进行康复训练,她坚持一直用轮椅推着他

到达康复地点,正在进行训练的苏先生,而妻子也在努力学习如何帮助丈夫更好的康复。
而回顾起两个月前那场拯救丈夫于生死危急中的紧急手术,苏先生妻子依旧感叹万千:
“黄主任(苏州大学附属独墅湖医院神经外科黄煜伦主任)说,你们真的太巧了,法国教授来。听到这个消息真的太开心了,我儿子说,这是这段时间以来较开心的,听到较好的消息,终于有人救我爸了。我想那时候我真的,求助无门的时候。遇见了法国教授,我真的很幸运。听闻法国教授来华消息,我跟我儿子真的泪如泉涌,终于找到救星了。我一开始见到法国教授,很平易近人的。我想怎么一开始没有遇到。”
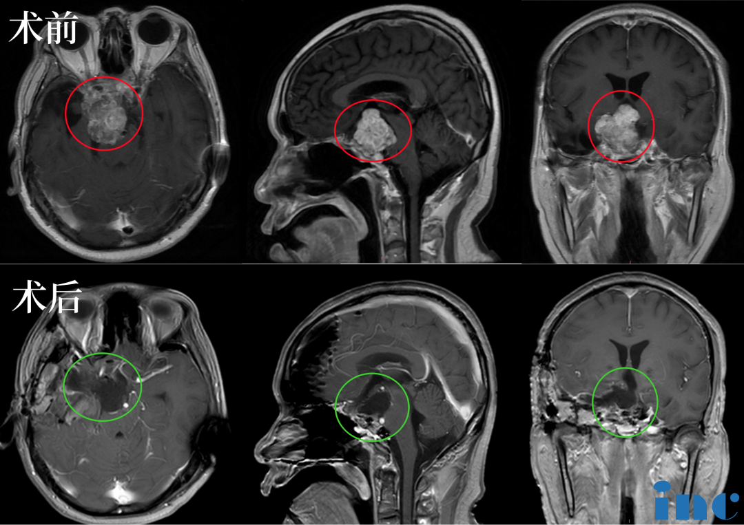
“5月8号咨询法国教授,然后到5月15号就手术了,真的很快、很及时。”苏先生一家选择手术时并没有太多犹豫,他们知道这一次机会来之不易。2023年5月15日,INC法国Froelich教授为苏先生做了四次开颅手术,在术中,Froelich教授联合应用显微镜和内镜,运用的“筷子手法”,术后当晚核磁显示肿瘤已基本全切。这对夫妻是幸运的,在这场风险较大、具挑战的手术中重获新生。


术后:手术顺利,术中将鞍上鞍内、海绵窦区、三脑室肿瘤切除
一台成功的手术带给患者的不仅是生存质量的提高、更是复发周期的延长。与脊索瘤斗争是一场持久战,苏先生在家人的支持与陪伴下,从不放弃,勇敢向前。手术结束后,苏先生的妻子手写感谢信,感谢教授的同时,也记录下这一路的不易。“我真的很幸运您能给我丈夫做手术,手术几乎而且成功。感谢!很庆幸我们一直没有放弃我的丈夫,即使全部人都告诉我你们放弃吧,没有必要再治疗了。我们母子两从未想过放弃,一直坚持、长途跋涉为他看病。我们咬紧牙关、克服困难。“拨开云雾见天日,守得云开见月明”,胜利的光芒照耀着我们。也许这是命中注定的,我丈夫的生命不应该结束。他很幸运地遇到了您,您给予了他二次生命。再次感谢您的救命之恩。祝工作顺利,幸福安康!”

病房外苏先生妻子亲手为Froelich教授送上感谢信
“人在,有希望,就有奔头”
回顾起之前的治疗经历,虽然手术结果一直不尽人意,但是苏先生的妻子也一直没有太多埋怨,只是遗憾。
“如果一开始就碰到法国教授,那就是那是较好的,但是我们当时不知道。虽然脊索瘤也是比较难治。但是我老公也一直想的治疗,他也是想手术。之前几次可能切掉的少一点,所以很快就复发了。”
“法国教授以及你们团队给了我老公二次生命,我真的太感谢你们了,我们真的太幸运了。”
采访结束时,苏先生的妻子再次表达了感谢之情。这一对夫妻给我们看到他们身上的坚韧、坚守和爱,这是生命的奇迹,也是爱的奇迹。而我们INC团队也会一直关注苏先生的病情,“不用担心,这条治疗之路我们会跟你们一起走下去。还有希望,所以你要加油!”
苏先生夫妻结婚二十几年,从青春步入中年,丈夫一个眼神一个动作,一看就能知道。她说,自己会一直陪伴丈夫,希望他早一点好,一起能回家。

在妻子鼓励和陪伴下,如今,康复医院里苏先生的状态一天天恢复变好。苏先生妻子在接受采访时,对丈夫现在的状态也乐观。
“手术前的状态还是没有现在好,现在是好多了,手术之前不怎么好。这两天感觉更有信心了。”
她知道都是值得的,她也坚信:“人在,有希望,就有奔头”。一个女性的坚韧与不服输,可以超越你的想象!
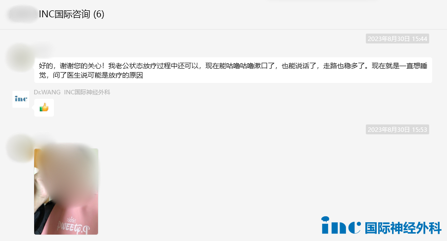
2023年8月,术后3个月,苏先生妻子交流苏先生康复日常,她开心得表示“爱人状态放疗过程中还可以,现在能咕噜咕噜漱口了,也能说话了,走路也稳多了。”相比术前不能走路、吞咽困难、言语不清等诸多症状,术后有了很大得进步。

2024年1月,术后8个月,苏先生已经可以正常进食,榴莲千层、香蕉、可乐……作为“吃货”的苏先生终于又能吃下这些自己曾经较爱的食物。“那天吃完碗里的嫌少,又加了一块,本来他也是个吃货”,苏先生妻子也很高兴丈夫一点点的恢复和进步。


后记
只要坚持下去,希望就在前方!Froelich教授成功的手术为苏先生后续的治疗打下了一个好的基础,他即将开始下一步的质子治疗。我们也希望苏先生能够带着这份爱和希望,越来越好,早日恢复健康,重新踏上骑行旅途。希望他的故事能够鼓励更多脊索瘤患者不要放弃希望。
400-029-0925




