嘿,我是“扳手头”大C,顾名思义,我长得像一个扳手头。别看我长得像个工具,我可不会修大脑——专搞破坏才是我的老本行!我的英文名叫Chordoma,中文名叫脊索瘤。我从何处而来呢?由你们胚胎时期的脊索组织“叛变”而来,没想到吧!

这一次我要在颅颈交界区(CVJ)搞事情——这里可是连接大脑和颈椎的“战略要地”!枕骨大孔、寰椎(C1)、枢椎(C2)组成的狭窄通道里,挤满了脑干、脊髓和椎动脉这些“大人物”。我偏偏就卡在寰椎缝隙里悄悄扩张地盘!
慢慢膨胀成“扳手头”只是第一步,要不是被人类医生逮到,我还能继续搞破坏!虽说我们脊索瘤家族有的长得快有的长得慢(像我这种慢性子三个月都胖不了多少),但凡在这片“神经禁区”扎根的,没一个是善茬——压迫脑干能让人呼吸暂停,伤到颈髓直接四肢瘫痪,要是堵了椎动脉…嘿嘿,脑梗死套餐随时奉上!
想切掉我?没门!我死缠烂打,必须留下来,我揪住神经血管当人质,大不了同归于尽!可惜这个人类医生技高一筹,把我大卸八块全端了…更气人的是,宿主居然神经功能毫发无伤!作恶多端,最终受到惩罚。早知今日,还不如当个安分的脊索组织…现在后悔也晚啦!

可恶!手术切了我还不够,人类居然搬出了质子治疗“杀器”!整整14个月了,我都没有重回人类大脑…难道这次真要凉凉?

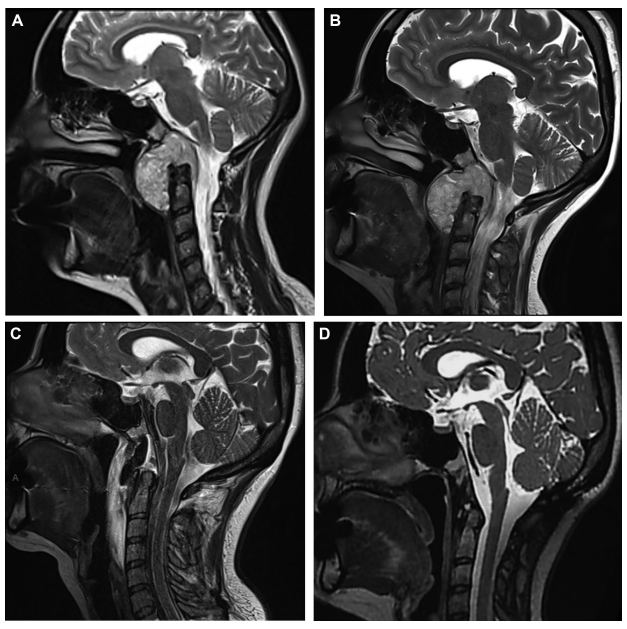
图示:MRI 显示一例颅颈交界区(CVJ)脊索瘤,其术前肿瘤生长速率(TGR)较低(3.53%/月)。
A:手术前 3 个月;
B:术前 1 天;
C:术后 48 小时,提示肿瘤全切除(GTR);
D:术后 14 个月(术后已行质子放疗 PBT),未见肿瘤复发。
好了,我的故事暂时告一段落。人类医生正不断研究,就为了阻止我卷土重来!我来看看他们究竟研究了哪些?等着瞧吧……
脊索瘤复发可以预测吗?脊索瘤生长快慢也会影响
迄今,手术切除程度仍是评估脊索瘤复发、预后唯一可靠指标,脊索瘤是一种罕见的、具有局部侵袭性的原发性骨肿瘤,有研究显示即使肿瘤全切除并辅以放疗,其复发率仍居高不下。
值得注意的是,部分患者术后可维持较长时间的无进展生存期后才出现复发;因此,学界已探讨多种预后因素,包括切除程度、质子束放疗以及组织学和分子特征。然而,这些指标均需术后评估,难以指导术前决策。因此,建立有效的术前预测体系对实现个体化治疗至关重要,特别是在手术风险较高的颅底区域。

近年来,肿瘤生长速率(TGR)作为一种基于影像学的量化指标,能够反映肿瘤体积随时间的变化情况,此前已在其他肿瘤中被证实与无进展生存期相关。福教授等研究系统评估了肿瘤生长速率在脊索瘤中的预测价值。通过对32例患者的分析发现,肿瘤生长速率≥10.12%/月的患者具有更短的无进展生存期(P<0.0001)和更高的复发风险(OR=26)。而在Ki-67标记指数 ≥ 6%且肿瘤生长速率 ≥ 10.12%/月的患者中,复发风险进一步增加(P = 0.0008)。
该研究为脊索瘤的术前风险评估提供了重要依据。肿瘤生长速率作为无创性影像学指标,有助于识别更具侵袭性和高复发风险的脊索瘤,从而为临床治疗策略调整和术后随访方案的优化提供依据。
Kaplan-Meier 法绘制的无进展生存(PFS)曲线

A:按照术前肿瘤生长速率(TGR)分层的 PFS 曲线;

B:按照 Ki-67 标记指数(Ki-67 LI)分层的 PFS 曲线。
现有文献主要关注术前 MRI 信号强度或联合临床-影像因素的预后价值。该研究首次将肿瘤生长速率作为脊索瘤治疗后侵袭性预测的术前指标加以验证。

除了切除率、Ki-67指数,肿瘤生长速率影响能有多大?
作为国际知名的脊索瘤手术大咖,INC国际神经外科医生集团旗下世界神经外科顾问团(WANG)成员、世界神经外科联合会(WFNS)颅底手术委员会前主席Sebastien Froelich教授(塞巴斯蒂安·福洛里希,“福教授”)积累了丰富的临床治疗经验。
福教授及其神经外科团队致力于脊索瘤的研究已超过20年。他们拥有国际范围内较大的脊索瘤患者群体,至今已成功治疗了近300例脊索瘤病例,其中超过80%属于高难度的颅底和颅颈交界脊索瘤。
大多数患者在寻求福教授团队治疗之前,已在其他医院接受过手术,这使得治疗更为复杂。福教授团队持续在脊索瘤领域进行深入探索,积极寻找为患者带来更多新型治疗手段的可能性。
1、脊索瘤如何减缓复发?
鉴于脊索瘤复发率较高,手术的目标是追求肿瘤的完全切除。当患者出现症状时,大多数脊索瘤的体积已相当大(超过3-5厘米),并且常常环绕着多个周围结构,如脑血管、颅神经和脑干。替代的治疗策略是,在确保安全的前提下尽可能多地切除肿瘤,且辅以术后计划的放射治疗,尤其是质子治疗,也能够提高患者的总生存率。

尽可能彻底地切除肿瘤以及术后的辅助放射治疗,是延缓脊索瘤复发并实现良好预后的重要措施。
2、脊索瘤患者如何治疗?
挑选一个协作高效专注于脊索瘤的MDT(多学科治疗)中心至关重要。这样的中心拥有专业的治疗团队,他们经验丰富,能够根据患者的具体病情制定合理的治疗方案,从治疗伊始就为患者提供有序的系统治疗。合理的MDT多学科治疗对改善脊索瘤患者的预后具有显著影响,术前KPS(Karnofsky性能状态)评分同样至关重要。
在法国,绝大多数脊索瘤患者都在我们(脊索瘤)研究所或科室接受治疗。我们也接纳来自欧洲其他国家的患者。因此,我们积累了大量的病例经验,面对每一位患者,我们都能迅速理解他们的具体情况。
在中国这样一个大国,我认为未来发展的方向是建立若干专业的治疗中心,这些中心能够集中所有脊索瘤患者以及拥有丰富脊索瘤治疗经验的神经外科医生团队。放疗方面也同样如此,由于脊索瘤对放疗的反应特殊,它是一种对辐射相对抵抗的肿瘤,需要接受非常高剂量的放疗,这使得其治疗比其他病变(如脑膜瘤)更为复杂。
- 文章标题:脑瘤长得慢≠危害小!这个“颅底恶霸”脊索瘤正悄然扼住生命咽喉
- 更新时间:2025-08-20 16:31:27
400-029-0925




