是怎样的手术案例,获得了美国大学神外前辈教授的高度点赞?是怎样的国际疑难手术,让具有30多年工作经验的美国大学颅底手术中心主任的关注?
This is an excellent video of a relatively uncommon
approach to the craniovertebral junction.This had been initially described by Bernard George and the authors demonstrate a mastery of it.it is an effective approach in selected cases that the skull base surgeon should be familiar with.
Chandra Sen,MD
New York University School of Medicine
New York,NY
The authors present an excellent video of an upper cervical anterior lateral and transmastoid suboccipital approach for resection of an intra-and extradural chordoma of the inferior clivus and upper cervical region ventral to the cervical medullary junction.The surgical technique is excellent and very well displayed in the edited and narrated video along with appropriate annotations of the important anatomy.This video demonstrates masterful technique.
Michael Chicoine,MD
Washington University
St.Louis,MO
(Dr.Michael R.Chicoine现任纽约大学朗格尼分校前颅底手术中心主任,拥有30多年神外手术经验。)
技术在进步,神经内镜手术设备也在革新。“在做神经内镜手术时,我们也使用的技术,即是3D内窥镜。经过4K技术的运用,我们更加提高了神经内镜影像的质量。为了提高手术效果和切除率,我们会在同一台手术内使用显微镜、内窥镜和外窥镜。”在INC国际神经外科医生集团法国福洛里希教授专访中,他这样介绍其所在医院神经内镜技术的进展,这样的手术设备在国际范围内处于前沿前沿地位。
而在实际案例中,福教授也坚持“对于每一个特定的肿瘤都有一个优选的手术入路能达到它。如果掌握全部的手术入路,就可以选择比较适合的路径。只了解一个入路,这远远不够。”本文交流的就是一则复杂颅颈交界区脊索瘤,福教授使用显微镜+内镜双镜联合,然后成功手术的案例。
颅颈交界区脊索瘤“双镜联合”手术案例
术者:INC法国福洛里希教授

病情介绍
颅颈交界区脊索瘤是“国际疑难”手术之一,特别是当肿瘤侵犯到硬膜内和脑组织、神经血管黏连时。21岁女孩,因颈部疼痛做MRI检查发现脊索瘤,在颅颈交界区、枕骨大孔内呈侵袭性生长,累及双侧椎动脉,硬膜内侵犯,手术风险较大,曾一度治疗无望。


术前MRI

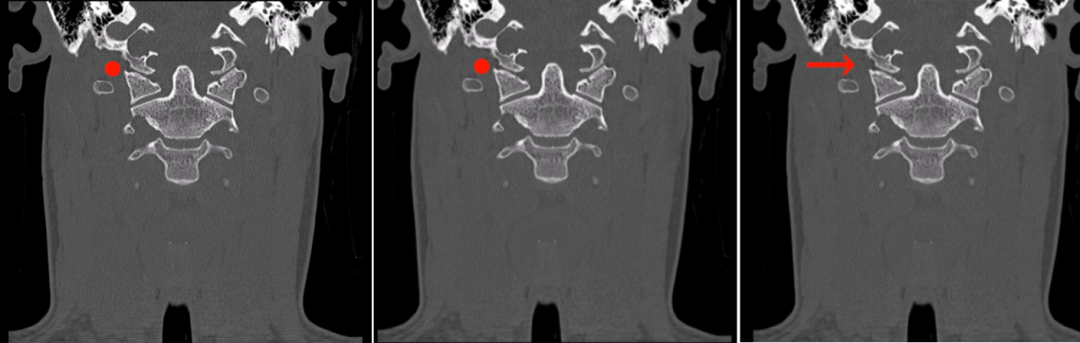
CT显示下斜坡和右侧枕骨髁部分损害
福洛里希教授运用高超的手术技术,使用前外侧入路并以进入颅颈交界区,顺利地切除肿瘤。内镜通过相对狭窄的硬脑膜开口提供宽视角,可以帮助硬脑膜内肿瘤切除(图2)。实现了肉眼全切除,术后过程很顺利,无新发神经功能缺损。术后MRI也证实了在没有并发症的情况下实现了全切。总之,内镜辅助下的前外侧入路可为颅颈交界区脊索瘤的手术治疗提供顺利合适的通道。

图1,术前和术后磁共振成像(MRI)。(A)术前矢状面t2加权MRI显示以颅颈交界区为中心的高信号病变(脊索瘤),伴有硬膜内延伸和神经血管结构受压。(B)术后矢状T2加权MRI显示肿瘤实现了全切。

图2,外科手术的步骤。(A)沿胸锁乳突肌前缘切口,穿过乳突上方。(B)切除钻取枕髁和乳突后的肿瘤包膜视图。(C)从对侧颈静脉孔的神经进行硬膜内肿瘤剥离。(D)使用游离脂肪移植物闭合硬膜缺损。(E)内镜硬膜内探查显示对侧颈静脉孔有肿瘤残留,需要继续进行肿瘤切除。
手术预案
手术面临重重难题——一,肿瘤向上下及两侧侵袭范围广泛,需要显微镜、内镜等多视角操作;二,肿瘤颅内外沟通,切除后需要可靠的颅底修补重建手段,否则功亏一篑;然后,术后需要头颈部固定来保障头部的稳定性,以确保患者的生命顺利。这些问题环环相扣,一个都不能疏忽。
▼由胸锁乳突肌和颈静脉之间的走廊组成的前外侧入路来接近肿瘤。

▼这一入路的关键要素之一就是椎动脉转位,从而直接进入上颈椎C0、C1关节。

▼手术体位:仰卧位

▼手术切口:

显微外科+神经内镜“双镜联合”手术图解纪实
手术过程:
▼小骨窗开颅显微(简称SCM)分离,将胸锁乳突肌从乳突上分离,从而允许向后收缩。

▼颈内静脉暴露解剖

▼二腹肌分离

▼识别并解剖十一颅神经

▼暴露C1寰椎横突

▼打开C1横突孔以暴露椎动脉

▼颅外椎动脉V3段骨膜下剥离术解剖动脉,保留静脉丛

▼乳突尖钻孔

▼髁突切除,以进入侧颅颈交界区

▼开始切除肿瘤,硬膜外肿瘤切除完成

▼术中核磁检查后,进一步切除硬膜内肿瘤

▼使用乙状窦后入路进入硬膜内

▼打开硬脑膜

▼硬膜内肿瘤切除,注意将肿瘤从脑干轻轻分离

▼内镜检查,向下查看颅颈交界区。内镜探查看到少量肿瘤残留,稍后将用显微镜进行处理。仔细检查完成后,借助内镜取出视觉盲点处的肿瘤残余。

▼开始缝合、填充硬脑膜,完成硬脑膜缺损闭合,关颅

术后情况

术后MRI证实了在没有并发症的情况下实现了全切
由于部分骨质被切除,术后几天接受了枕颈融合术。固定头颈部来保障头部的稳定性,以确保患者的生命顺利。
国际神外内镜+显微镜“双镜联合”手术教授
拥有国际上较大的脊索瘤患者群
脊索瘤是起源于胚胎脊索结构残余组织的先天性良性肿瘤,虽然脊索瘤组织学上归类为低度恶性的肿瘤,但是在生物学行为上,却具有局部的侵袭性和骨质损害性。手术难度很大,不仅难以全切,复发率还很高。在复发病例中,先前使用的手术入路造成了组织结构的损害改变,形成疤痕结缔组织,不易于手术,对后续的挽救性治疗策略有影响,因此一开始手术至关重要。
现代神经外科的进步史同时也是一部工具的进化史,神外显微镜的使用和发展,使得手术精确性大为提高,邻近组织的损害机会明显减少。而神经内镜的发展又进一步扩展了进入人脑的通道,将我们的视线扩大到显微镜下触难以触及的角落。神外显微镜+内镜“双镜联合”的手术方法更是将两种工具的优势放大,在确定手术顺利的前提下尽可能切除肿瘤。福洛里希教授更是国际神外领域内“双镜联合”使用的佼佼者。
- 文章标题:国际颅底手术中心主任点赞,INC福教授“双镜联合”手术攻克国际难度脊索瘤!
- 更新时间:2024-03-06 09:39:19
400-029-0925




